Skip to main content

Cytokeratin 6 Antibody (KRT6/8198R) - Azide and BSA Free

Novus Biologicals, part of Bio-Techne | Catalog # NBP3-20716

Recombinant Monoclonal Antibody
Novus Biologicals, part of Bio-Techne

Key Product Details

Species Reactivity

Human

Applications

Immunohistochemistry-Paraffin

Label

Unconjugated

Antibody Source

Recombinant Monoclonal Rabbit IgG Kappa Clone # KRT6/8198R

Format

Azide and BSA Free

Concentration

1 mg/ml

Product Specifications

Immunogen

Recombinant fragment (around aa1-200) of human Cytokeratin 6 (exact sequence is proprietary)

Localization

Cytoplasm

Clonality

Monoclonal

Host

Rabbit

Isotype

IgG Kappa

Description

Positive Controls: Human tonsil or basal cell carcinoma (BCC).

Antibody with azide - store at 2 to 8C. Antibody without azide - store at -20 to -80C. Non-hazardous. No MSDS required.

Scientific Data Images for Cytokeratin 6 Antibody (KRT6/8198R) - Azide and BSA Free

Cytokeratin 6 Antibody (KRT6/8198R) - Azide and BSA Free

Cytokeratin 6 Antibody (KRT6/8198R)

Formalin-fixed, paraffin-embedded human lung stained with Cytokeratin 6 antibody (KRT6/8198R). HIER: Tris/EDTA, pH9.0, 45min. Secondary: HRP-polymer, 30min. DAB, 5min.
Cytokeratin 6 Antibody (KRT6/8198R) - Azide and BSA Free

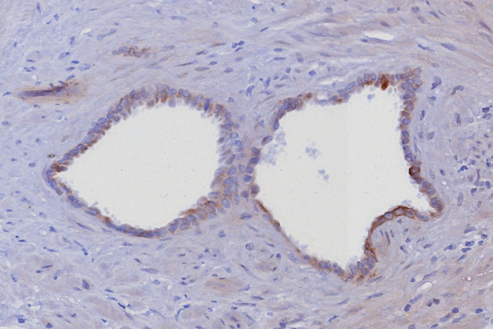
Cytokeratin 6 Antibody (KRT6/8198R)

Formalin-fixed, paraffin-embedded human prostate stained with Cytokeratin 6 antibody (KRT6/8198R). HIER: Tris/EDTA, pH9.0, 45min. Secondary: HRP-polymer, 30min. DAB, 5min.

Applications for Cytokeratin 6 Antibody (KRT6/8198R) - Azide and BSA Free

Application
Recommended Usage

Immunohistochemistry-Paraffin

1-2 ug/ml
Application Notes
Immunohistochemistry (Formalin-fixed): 1-2ug/ml for 30 minutes. at RT. Staining of formalin-fixed tissues requires heating tissue sections in 10mM Tris with 1mM EDTA, pH 9.0, for 45 min at 95C followed by cooling at RT for 20 minutes.

Optimal dilution for a specific application should be determined.

Formulation, Preparation, and Storage

Purification

Protein A or G purified

Formulation

10mM PBS

Format

Azide and BSA Free

Preservative

No Preservative

Concentration

1 mg/ml

Shipping

The product is shipped with polar packs. Upon receipt, store it immediately at the temperature recommended below.

Stability & Storage

Store at -20 to -70C. Avoid freeze-thaw cycles.

Background: Cytokeratin 6

Keratins 6 and 16 are expressed in keratinocytes, which are undergoing rapid turnover in the suprabasal region (also known as hyperproliferation related keratins). Keratin 6 is found in hair follicles, neck squamous cell carcinomas, suprabasal cells of a variety of internal stratified epithelia, in epidermis, in both normal and hyperproliferative situations. Epidermal injury results in activation of keratinocytes which express CK6 and CK16. CK6 is strongly expressed in about 75% of head and neck squamous cell carcinomas. Expression of CK6 is particularly associated with differentiation. There are at least six isoforms of human type II keratin 6 (K6), K6A being the most abundant representing about 77% of all forms found in epithelia.

Alternate Names

Allergen Hom s 5, CK6A, CK-6A, CK6C, CK6D, CK-6D, cytokeratin 6A, cytokeratin 6C, cytokeratin 6D, Cytokeratin-6A, Cytokeratin-6D, K6A, K6C, K6D, keratin 6A, keratin 6C, keratin 6D, keratin, epidermal type II, K6A, keratin, type II cytoskeletal 6A, Keratin-6A, KRT6C, KRT6D, Type-II keratin Kb6

Gene Symbol

KRT6A

Additional Cytokeratin 6 Products

Product Documents for Cytokeratin 6 Antibody (KRT6/8198R) - Azide and BSA Free

Certificate of Analysis

To download a Certificate of Analysis, please enter a lot number in the search box below.

Product Specific Notices for Cytokeratin 6 Antibody (KRT6/8198R) - Azide and BSA Free

This product is for research use only and is not approved for use in humans or in clinical diagnosis. Primary Antibodies are guaranteed for 1 year from date of receipt.

Loading...
Loading...
Loading...
Loading...