Skip to main content

Cytokeratin 5 Antibody (2C8E4) - BSA Free

Novus Biologicals, part of Bio-Techne | Catalog # NBP2-52443

Novus Biologicals, part of Bio-Techne
Catalog #
Availability
Size / Price
Qty
Loading...
NBP2-52443-0.025mg
NBP2-52443

Key Product Details

Species Reactivity

Human

Applications

Immunohistochemistry, Immunohistochemistry-Paraffin, Western Blot, ELISA, Flow Cytometry, Immunocytochemistry/ Immunofluorescence, CyTOF-ready

Label

Unconjugated

Antibody Source

Monoclonal Mouse IgG1 Clone # 2C8E4

Format

BSA Free

Concentration

1 mg/ml

Product Specifications

Immunogen

Purified recombinant fragment of human Cytokeratin 5 (AA: 258-357) expressed in E. Coli.

Clonality

Monoclonal

Host

Mouse

Isotype

IgG1

Theoretical MW

62.4 kDa.
Disclaimer note: The observed molecular weight of the protein may vary from the listed predicted molecular weight due to post translational modifications, post translation cleavages, relative charges, and other experimental factors.

Description

Novus Biologicals Mouse Cytokeratin 5 Antibody (2C8E4) - BSA Free (NBP2-52443) is a monoclonal antibody validated for use in IHC, WB, ELISA, Flow and ICC/IF. All Novus Biologicals antibodies are covered by our 100% guarantee.

Scientific Data Images for Cytokeratin 5 Antibody (2C8E4) - BSA Free

Western Blot: Cytokeratin 5 Antibody (2C8E4)BSA Free [NBP2-52443]

Western Blot: Cytokeratin 5 Antibody (2C8E4)BSA Free [NBP2-52443]

Western Blot: Cytokeratin 5 Antibody (2C8E4) [NBP2-52443] - Analysis using CK5 mouse mAb against A431 (1), MCF-7 (2), SK-Br-3 (3), Hela (4), Lncap (5), and HepG2 (6) cell lysate.
Immunocytochemistry/ Immunofluorescence: Cytokeratin 5 Antibody (2C8E4) - BSA Free [NBP2-52443]

Immunocytochemistry/ Immunofluorescence: Cytokeratin 5 Antibody (2C8E4) - BSA Free [NBP2-52443]

Immunocytochemistry/Immunofluorescence: Cytokeratin 5 Antibody (2C8E4) [NBP2-52443] - Analysis of MCF-7 cells using CK5 mouse mAb (green). Blue: DRAQ5 fluorescent DNA dye. Red: Actin filaments have been labeled with Alexa Fluor- 555 phalloidin.
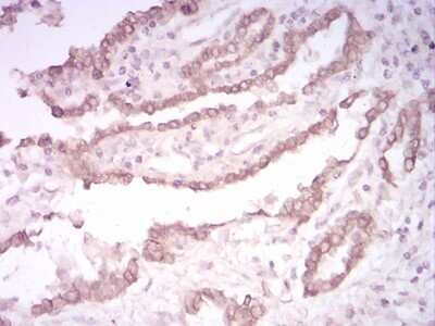
Immunohistochemistry: Cytokeratin 5 Antibody (2C8E4) - BSA Free [NBP2-52443]

Immunohistochemistry: Cytokeratin 5 Antibody (2C8E4) - BSA Free [NBP2-52443]

Immunohistochemistry: Cytokeratin 5 Antibody (2C8E4) [NBP2-52443] - Analysis of paraffin-embedded lung cancer tissues using CK5 mouse mAb with DAB staining.

Applications for Cytokeratin 5 Antibody (2C8E4) - BSA Free

Application
Recommended Usage

ELISA

1:10000

Flow Cytometry

1:200-1:400

Immunocytochemistry/ Immunofluorescence

1:200-1:1000

Immunohistochemistry

1:200-1:1000

Immunohistochemistry-Paraffin

1:200-1:1000

Western Blot

1:500-1:2000
Application Notes
This antibody is Cytof ready.

Formulation, Preparation, and Storage

Purification

Protein G purified

Formulation

PBS

Format

BSA Free

Preservative

0.05% Sodium Azide

Concentration

1 mg/ml

Shipping

The product is shipped with polar packs. Upon receipt, store it immediately at the temperature recommended below.

Stability & Storage

Store at 4C short term. Aliquot and store at -20C long term. Avoid freeze-thaw cycles.

Background: Cytokeratin 5

Keratins are a family of structurally related proteins that form the intermediate filament cytoskeleton in epithelial cells. The 58-kD keratin CK-5 is highly similar to other type II keratins and less similar to type I keratins and other intermediate filament proteins. The 58-kD keratin is regulated by retinoids in several tissues and is one of four keratins abundantly expressed in epidermal keratinocytes, where it may be important in maintaining structural integrity of the integument (1). Keratin 5 (CK-5) mRNA and protein are shown to be expressed in normal mammary epithelial cells in culture and are absent from tumor-derived cell lines. This makes CK-5 an important marker in the tumorigenic process, distinguishing normal from tumor cells, and decreased CK-5 expression correlates with tumorigenic progression (2). Dowling-Degos disease (DDD) is an autosomal dominant genodermatosis characterized by progressive and disfiguring reticulate hyperpigmentation of the flexures. Loss of function of CK-5 suggests a crucial role for keratins in the organization of cell adhesion, melanosome uptake, organelle transport, and nuclear anchorage (3).

Alternate Names

CK-5, DDD, EBS2, Keratin 5, KRT5

Gene Symbol

KRT5

Additional Cytokeratin 5 Products

Product Documents for Cytokeratin 5 Antibody (2C8E4) - BSA Free

Certificate of Analysis

To download a Certificate of Analysis, please enter a lot number in the search box below.

Product Specific Notices for Cytokeratin 5 Antibody (2C8E4) - BSA Free

This product is for research use only and is not approved for use in humans or in clinical diagnosis. Primary Antibodies are guaranteed for 1 year from date of receipt.

Loading...
Loading...
Loading...
Loading...
Loading...