Skip to main content

Cytokeratin 20 Antibody (OTI3G1) - Azide and BSA Free

Novus Biologicals, part of Bio-Techne | Catalog # NBP2-71962

Novus Biologicals, part of Bio-Techne

Key Product Details

Species Reactivity

Human

Applications

Immunohistochemistry, Immunohistochemistry-Paraffin, Western Blot

Label

Unconjugated

Antibody Source

Monoclonal Mouse IgG1 Clone # OTI3G1

Format

Azide and BSA Free

Concentration

LYOPH mg/ml

Product Specifications

Immunogen

Full length human recombinant protein of human KRT20 (NP_061883) produced in E.coli.

Clonality

Monoclonal

Host

Mouse

Isotype

IgG1

Theoretical MW

48.3 kDa.
Disclaimer note: The observed molecular weight of the protein may vary from the listed predicted molecular weight due to post translational modifications, post translation cleavages, relative charges, and other experimental factors.

Description

Novus Biologicals Mouse Cytokeratin 20 Antibody (OTI3G1) - Azide and BSA Free (NBP2-45556) is a monoclonal antibody validated for use in IHC and WB. All Novus Biologicals antibodies are covered by our 100% guarantee.

Scientific Data Images for Cytokeratin 20 Antibody (OTI3G1) - Azide and BSA Free

Western Blot: Cytokeratin 20 Antibody (OTI3G1)Azide and BSA Free [NBP2-71962]

Western Blot: Cytokeratin 20 Antibody (OTI3G1)Azide and BSA Free [NBP2-71962]

Western Blot: Cytokeratin 20 Antibody (OTI3G1) - Azide and BSA Free [NBP2-71962] - Analysis of HEK293T cells were transfected with the pCMV6-ENTRY control (Left lane) or pCMV6-ENTRY Cytokeratin 20.
Immunohistochemistry: Cytokeratin 20 Antibody (OTI3G1) - Azide and BSA Free [NBP2-71962]

Immunohistochemistry: Cytokeratin 20 Antibody (OTI3G1) - Azide and BSA Free [NBP2-71962]

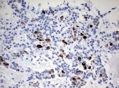
Immunohistochemistry: Cytokeratin 20 Antibody (OTI3G1) - Azide and BSA Free [NBP2-71962] - Analysis of Human colon tissue. (Heat-induced epitope retrieval by 10mM citric buffer, pH6.0, 120C for 3min)
Immunohistochemistry: Cytokeratin 20 Antibody (OTI3G1) - Azide and BSA Free [NBP2-71962]

Immunohistochemistry: Cytokeratin 20 Antibody (OTI3G1) - Azide and BSA Free [NBP2-71962]

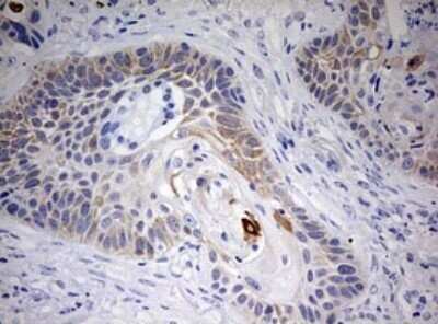
Immunohistochemistry: Cytokeratin 20 Antibody (OTI3G1) - Azide and BSA Free [NBP2-71962] - Analysis of Adenocarcinoma of Human colon tissue. (Heat-induced epitope retrieval by 10mM citric buffer, pH6.0, 120C for 3min)

Applications for Cytokeratin 20 Antibody (OTI3G1) - Azide and BSA Free

Application
Recommended Usage

Immunohistochemistry

1:150

Western Blot

1:2000

Formulation, Preparation, and Storage

Purification

Immunogen affinity purified

Reconstitution

we recommend adding 100uL distilled water to a final antibody concentration of about 1 mg/mL. To use this carrier-free antibody for conjugation experiment, we strongly recommend performing another round of desalting process.

Formulation

Lyophilized from PBS (pH 7.3) with 8% Trehalose

Format

Azide and BSA Free

Preservative

No Preservative

Concentration

LYOPH mg/ml

Shipping

The product is shipped with polar packs. Upon receipt, store it immediately at the temperature recommended below.

Stability & Storage

Store at -20C. Avoid freeze-thaw cycles.

Background: Cytokeratin 20

Intermediate-sized filament (IF) protein designated cytokeratin (CK) 1 is a major cellular protein of mature enterocytes and goblet cells commonly found in mucosal epithelium of the mammalian gastrointestinal tract (1). Results strongly suggest that transcriptional regulation of keratin genes in the intestinal epithelium occurs at the level of both immature and terminally differentiated epithelial cells, and is tightly regulated during both fetal development and crypt-to-villus differentiation of the intestinal epithelium (2). CK20 has recently been reported to be useful to distinguish between primary and metastatic lung adenocarcinoma. CK20 expression was significantly more prevalent in adenocarcinoma that originated in the GI tract than that of pulmonary or breast origin (3).

Alternate Names

CD20, CK20, CK-20, cytokeratin-20, K20cytokeratin 20, keratin 20, keratin, type I cytoskeletal 20, keratin-20, KRT21, MGC35423, Protein IT

Gene Symbol

KRT20

Additional Cytokeratin 20 Products

Product Documents for Cytokeratin 20 Antibody (OTI3G1) - Azide and BSA Free

Certificate of Analysis

To download a Certificate of Analysis, please enter a lot number in the search box below.

Product Specific Notices for Cytokeratin 20 Antibody (OTI3G1) - Azide and BSA Free

This product is for research use only and is not approved for use in humans or in clinical diagnosis. Primary Antibodies are guaranteed for 1 year from date of receipt.

Loading...
Loading...
Loading...
Loading...
Loading...