Skip to main content

Cytokeratin 20 Antibody (Ks20.8)

Novus Biologicals, part of Bio-Techne | Catalog # NB120-854

Novus Biologicals, part of Bio-Techne
Catalog #
Availability
Size / Price
Qty
Loading...
NB120-854
NB120-854-0.1ml

Key Product Details

Species Reactivity

Human

Applications

Immunohistochemistry, Immunohistochemistry-Paraffin

Label

Unconjugated

Antibody Source

Monoclonal Mouse IgG2a Kappa Clone # Ks20.8

Concentration

This product is unpurified. The exact concentration of antibody is not quantifiable.

Product Specifications

Immunogen

Cytokeratins isolated from human micro-dissected villi of human duodenal mucosa.

Reactivity Notes

Cross-reacts with Human.Not yet tested in other species.

Localization

Cytoplasmic

Specificity

This antibody reacts with cytokeratin polypeptide of 46 kDa in immunoblot analyses. Studies have shown that a marked difference exists in the expression of Cytokeratin 20 among various carcinomas.

Clonality

Monoclonal

Host

Mouse

Isotype

IgG2a Kappa

Theoretical MW

48.5 kDa.
Disclaimer note: The observed molecular weight of the protein may vary from the listed predicted molecular weight due to post translational modifications, post translation cleavages, relative charges, and other experimental factors.

Description

Novus Biologicals Mouse Cytokeratin 20 Antibody (Ks20.8) (NB120-854) is a monoclonal antibody validated for use in IHC. All Novus Biologicals antibodies are covered by our 100% guarantee.

Scientific Data Images for Cytokeratin 20 Antibody (Ks20.8)

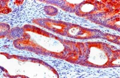
Immunohistochemistry-Paraffin: Cytokeratin 20 Antibody (Ks20.8) [NB120-854]

Immunohistochemistry-Paraffin: Cytokeratin 20 Antibody (Ks20.8) [NB120-854]

Immunohistochemistry-Paraffin: Cytokeratin 20 Antibody (Ks20.8) [NB120-854] - Formalin fixed paraffin embedded human colon carcinoma stained with Cytokeratin 20 antibody (NB120-854).
Immunohistochemistry-Paraffin: Cytokeratin 20 Antibody (Ks20.8) [NB120-854]

Immunohistochemistry-Paraffin: Cytokeratin 20 Antibody (Ks20.8) [NB120-854]

Immunohistochemistry-Paraffin: Cytokeratin 20 Antibody (Ks20.8) [NB120-854] - Formalin fixed paraffin embedded human colon carcinoma stained with Cytokeratin 20 antibody.

Applications for Cytokeratin 20 Antibody (Ks20.8)

Application
Recommended Usage

Immunohistochemistry

1:50-1:100

Immunohistochemistry-Paraffin

1:50-1:100
Application Notes
IHC-P: recommended incubation time of 30 min at RT.

Formulation, Preparation, and Storage

Purification

Tissue culture supernatant

Formulation

Tissue culture supernatant

Preservative

0.05% Sodium Azide

Concentration

This product is unpurified. The exact concentration of antibody is not quantifiable.

Shipping

The product is shipped with polar packs. Upon receipt, store it immediately at the temperature recommended below.

Stability & Storage

Store at 4C.

Background: Cytokeratin 20

Cytokeratin 20 is 46 kDa intermediate filament protein that has been identified with expression primarily restricted to gastric and intestinal epithelium, urothelium, and Merkel cells. It is a unique type I keratin that is expressed in adenocarcinomas

Alternate Names

CD20, CK20, CK-20, cytokeratin-20, K20cytokeratin 20, keratin 20, keratin, type I cytoskeletal 20, keratin-20, KRT21, MGC35423, Protein IT

Entrez Gene IDs

54474 (Human)

Gene Symbol

KRT20

UniProt

Additional Cytokeratin 20 Products

Product Documents for Cytokeratin 20 Antibody (Ks20.8)

Certificate of Analysis

To download a Certificate of Analysis, please enter a lot number in the search box below.

Product Specific Notices for Cytokeratin 20 Antibody (Ks20.8)

This product is for research use only and is not approved for use in humans or in clinical diagnosis. Primary Antibodies are guaranteed for 1 year from date of receipt.

Loading...
Loading...
Loading...
Loading...