Skip to main content

Cytokeratin 19 Antibody (SPM561)

Novus Biologicals, part of Bio-Techne | Catalog # NBP2-34379

Novus Biologicals, part of Bio-Techne
Catalog #
Availability
Size / Price
Qty
Loading...
NBP2-34379-0.1mg
NBP2-34379-0.02mg

Key Product Details

Species Reactivity

Validated:

Human, Mouse

Cited:

Mouse

Applications

Validated:

Immunohistochemistry, Immunohistochemistry-Paraffin, Western Blot, Flow Cytometry, Immunocytochemistry/ Immunofluorescence

Cited:

Immunohistochemistry-Paraffin

Label

Unconjugated

Antibody Source

Monoclonal Mouse IgG1 kappa Clone # SPM561

Concentration

0.2 mg/ml

Product Specifications

Immunogen

Human mammary epithelial organoids. (Uniprot: P08727)

Localization

Cytoplasmic

Specificity

This Ab reacts with the rod domain of human cytokeratin 19 (CK19), a polypeptide of 40kDa. CK19 is expressed in sweat gland, mammary gland ductal and secretory cells, bile ducts, gastrointestinal tract, bladder urothelium, oral epithelia, esophagus, and ectocervical epithelium. Anti-CK19 reacts with a wide variety of epithelial malignancies including adenocarcinomas of the colon, stomach, pancreas, biliary tract, liver, and breast. Perhaps the most useful application is the identification of thyroid carcinoma of the papillary type, although 50%-60% of follicular carcinomas are also labeled. Anti-CK19 is a useful marker for detection of tumor cells in lymph nodes, peripheral blood, bone marrow and breast cancer.

Marker

Pancreatic Stem Cell Marker

Clonality

Monoclonal

Host

Mouse

Isotype

IgG1 kappa

Theoretical MW

40 kDa.
Disclaimer note: The observed molecular weight of the protein may vary from the listed predicted molecular weight due to post translational modifications, post translation cleavages, relative charges, and other experimental factors.

Description

200ug/ml of antibody purified from Bioreactor Concentrate by Protein A or G. Prepared in 10 mM PBS with 0.05% BSA & 0.05% azide. Also available WITHOUT BSA & azide at 1.0 mg/ml. (NBP2-34426)

Antibody with azide - store at 2 to 8C. Antibody without azide - store at -20 to -80C.

Scientific Data Images for Cytokeratin 19 Antibody (SPM561)

Western Blot: Cytokeratin 19 Antibody (SPM561) [NBP2-34379]

Western Blot: Cytokeratin 19 Antibody (SPM561) [NBP2-34379]

Western Blot: Cytokeratin 19 Antibody (SPM561) [NBP2-34379] - Western Blot Analysis of HepG2 cell lysate using Cytokeratin 19 Antibody (SPM561).
Immunocytochemistry/ Immunofluorescence: Cytokeratin 19 Antibody (SPM561) [NBP2-34379]

Immunocytochemistry/ Immunofluorescence: Cytokeratin 19 Antibody (SPM561) [NBP2-34379]

Immunocytochemistry/Immunofluorescence: Cytokeratin 19 Antibody (SPM561) [NBP2-34379] - Immunofluorescence Analysis of MeOH-fixed MCF-7 cells labeling CK19 using Cytokeratin 19 Antibody (SPM561) followed by Goat anti-Mouse IgG-CF488 (Green). The nuclear counterstain is Red Dot (Red)
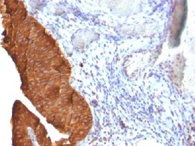
Immunohistochemistry-Paraffin: Cytokeratin 19 Antibody (SPM561) [NBP2-34379]

Immunohistochemistry-Paraffin: Cytokeratin 19 Antibody (SPM561) [NBP2-34379]

Immunohistochemistry-Paraffin: Cytokeratin 19 Antibody (SPM561) [NBP2-34379] - Formalin-fixed, paraffin-embedded human Bladder carcinoma stained with cytokeratin 19 Monoclonal Antibody (SPM561).

Applications for Cytokeratin 19 Antibody (SPM561)

Application
Recommended Usage

Flow Cytometry

1-2 ug/million cells

Immunocytochemistry/ Immunofluorescence

1-2 ug/ml

Immunohistochemistry-Paraffin

1-2 ug/ml

Western Blot

1-2 ug/ml
Application Notes
Immunohistochemistry (Formalin-fixed): 1-2ug/ml for 30 min at RT. Staining of formalin-fixed tissues requires heating tissue sections in 10mM Tris with 1mM EDTA, pH 9.0, for 45 min at 95C followed by cooling at RT for 20 minutes.
Optimal dilution for a specific application should be determined.

Formulation, Preparation, and Storage

Purification

Protein A or G purified

Formulation

10 mM PBS with 0.05% BSA

Preservative

0.05% Sodium Azide

Concentration

0.2 mg/ml

Shipping

The product is shipped with polar packs. Upon receipt, store it immediately at the temperature recommended below.

Stability & Storage

Store at 4C.

Background: Cytokeratin 19

Cytokeratin 19 (also known as Keratin, type I cytoskeletal 19) belongs to the keratin family which consists of fibrous proteins that make up the framework of epithelial cells. Cytokeratin 19 plays a role in the organization of myofibers. This protein is known to have interactions with ZNF638, FANCG, FAM107A, KRT15 and EXOC8. Cytokeratin 19 has been studied in relation to several disorders and diseases including chordoma, adenoma, hamartoma, adenoiditis, carcinoma, and liver disease.

Alternate Names

CK19, EndoC, K19, Krt19

Gene Symbol

KRT19

UniProt

Additional Cytokeratin 19 Products

Product Documents for Cytokeratin 19 Antibody (SPM561)

Certificate of Analysis

To download a Certificate of Analysis, please enter a lot number in the search box below.

Product Specific Notices for Cytokeratin 19 Antibody (SPM561)

This product is for research use only and is not approved for use in humans or in clinical diagnosis. Primary Antibodies are guaranteed for 1 year from date of receipt.

Loading...
Loading...
Loading...
Loading...
Loading...