Skip to main content

Cytokeratin 19 Antibody (KRT19/799) - IHC-Prediluted

Novus Biologicals, part of Bio-Techne | Catalog # NBP2-48086

Novus Biologicals, part of Bio-Techne
Catalog #
Availability
Size / Price
Qty
Loading...
NBP2-48086

Key Product Details

Species Reactivity

Human

Applications

Immunohistochemistry, Immunohistochemistry-Paraffin

Label

Unconjugated

Antibody Source

Monoclonal Mouse IgG2a Lambda Clone # KRT19/799

Format

IHC-Prediluted

Concentration

Please see the vial label for concentration. If unlisted please contact technical services.

Product Specifications

Immunogen

Recombinant human Cytokeratin 19 protein (Uniprot: P08727)

Localization

Cytoplasmic

Specificity

Recognizes a protein of 40kDa, identified as cytokeratin-19 (CK19), which is expressed in sweat gland, mammary gland ductal and secretory cells, bile ducts, gastrointestinal tract, bladder urothelium, oral epithelia, esophagus, and ectocervical epithelium. Anti-CK19 reacts with a wide variety of epithelial malignancies including adenocarcinomas of the colon, stomach, pancreas, biliary tract, liver, and breast. Perhaps the most useful application is the identification of thyroid carcinoma of the papillary type, although 50%-60% of follicular carcinomas are also labeled. Anti-CK19 is a useful marker for detection of tumor cells in lymph nodes, peripheral blood, bone marrow and breast cancer.

Marker

Pancreatic Stem Cell Marker

Clonality

Monoclonal

Host

Mouse

Isotype

IgG2a Lambda

Theoretical MW

40 kDa.
Disclaimer note: The observed molecular weight of the protein may vary from the listed predicted molecular weight due to post translational modifications, post translation cleavages, relative charges, and other experimental factors.

Description

The prediluted antibody does not require any mixing, dilution, reconstitution, or titration; the antibody is ready-to-use and optimized for staining.

Scientific Data Images for Cytokeratin 19 Antibody (KRT19/799) - IHC-Prediluted

Immunohistochemistry-Paraffin: Cytokeratin 19 Antibody (KRT19/799) - IHC-Prediluted [NBP2-48086]

Immunohistochemistry-Paraffin: Cytokeratin 19 Antibody (KRT19/799) - IHC-Prediluted [NBP2-48086]

Immunohistochemistry-Paraffin: Cytokeratin 19 Antibody (KRT19/799) - IHC-Prediluted [NBP2-48086] - Human Endometrial Carcinoma stained with Cytokeratin 19 Monoclonal Antibody (KRT19/799)
Immunohistochemistry-Paraffin: Cytokeratin 19 Antibody (KRT19/799) - IHC-Prediluted [NBP2-48086]

Immunohistochemistry-Paraffin: Cytokeratin 19 Antibody (KRT19/799) - IHC-Prediluted [NBP2-48086]

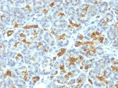
Immunohistochemistry-Paraffin: Cytokeratin 19 Antibody (KRT19/799) - IHC-Prediluted [NBP2-48086] - Human Pancreas stained with Cytokeratin 19 Monoclonal Antibody (KRT19/799)
Immunohistochemistry-Paraffin: Cytokeratin 19 Antibody (KRT19/799) - IHC-Prediluted [NBP2-48086]

Immunohistochemistry-Paraffin: Cytokeratin 19 Antibody (KRT19/799) - IHC-Prediluted [NBP2-48086]

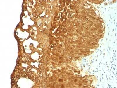
Immunohistochemistry-Paraffin: Cytokeratin 19 Antibody (KRT19/799) - IHC-Prediluted [NBP2-48086] - Human Cervical Carcinoma stained with Cytokeratin 19 Monoclonal Antibody (KRT19/799)

Applications for Cytokeratin 19 Antibody (KRT19/799) - IHC-Prediluted

Application
Recommended Usage

Immunohistochemistry

Optimal dilutions of this antibody should be experimentally determined.

Immunohistochemistry-Paraffin

Optimal dilutions of this antibody should be experimentally determined.
Application Notes
Immunohistochemistry (Formalin-fixed): 1-2ug/ml for 30 min at RT. Staining of formalin-fixed tissues requires heating tissue sections in 10mM Tris with 1mM EDTA, pH 9.0, for 45 min at 95C followed by cooling at RT for 20 minutes.
Optimal dilution for a specific application should be determined.

Formulation, Preparation, and Storage

Purification

Protein A or G purified

Formulation

10 mM PBS with 0.05% BSA

Format

IHC-Prediluted

Preservative

0.05% Sodium Azide

Concentration

Please see the vial label for concentration. If unlisted please contact technical services.

Shipping

The product is shipped with polar packs. Upon receipt, store it immediately at the temperature recommended below.

Stability & Storage

Store at 4C.

Background: Cytokeratin 19

Cytokeratin 19 (also known as Keratin, type I cytoskeletal 19) belongs to the keratin family which consists of fibrous proteins that make up the framework of epithelial cells. Cytokeratin 19 plays a role in the organization of myofibers. This protein is known to have interactions with ZNF638, FANCG, FAM107A, KRT15 and EXOC8. Cytokeratin 19 has been studied in relation to several disorders and diseases including chordoma, adenoma, hamartoma, adenoiditis, carcinoma, and liver disease.

Alternate Names

CK19, EndoC, K19, Krt19

Gene Symbol

KRT19

Additional Cytokeratin 19 Products

Product Documents for Cytokeratin 19 Antibody (KRT19/799) - IHC-Prediluted

Certificate of Analysis

To download a Certificate of Analysis, please enter a lot number in the search box below.

Product Specific Notices for Cytokeratin 19 Antibody (KRT19/799) - IHC-Prediluted

This product is for research use only and is not approved for use in humans or in clinical diagnosis. Primary Antibodies are guaranteed for 1 year from date of receipt.

Loading...
Loading...
Loading...
Loading...