Cytokeratin 19 Antibody (KRT19/799 + KRT19/800)
Novus Biologicals, part of Bio-Techne | Catalog # NBP2-44829
Conjugate
Catalog #
Forumulation
Catalog #
Key Product Details
Species Reactivity
Human, Mouse
Applications
Immunohistochemistry, Immunohistochemistry-Paraffin
Label
Unconjugated
Antibody Source
Monoclonal Mouse IgG2a Lambda/IgG1 Kappa Clone # KRT19/799 + KRT19/800
Concentration
0.2 mg/ml
Product Specifications
Immunogen
Recombinant full-length human Cytokeratin 19 protein (Uniprot: P08727)
Localization
Cytoplasmic
Specificity
Recognizes a protein of 40kDa, identified as cytokeratin-19 (CK19), which is expressed in sweat gland, mammary gland ductal and secretory cells, bile ducts, gastrointestinal tract, bladder urothelium, oral epithelia, esophagus, and ectocervical epithelium. Anti-CK19 reacts with a wide variety of epithelial malignancies including adenocarcinomas of the colon, stomach, pancreas, biliary tract, liver, and breast. Perhaps the most useful application is the identification of thyroid carcinoma of the papillary type, although 50%-60% of follicular carcinomas are also labeled. Anti-CK19 is a useful marker for detection of tumor cells in lymph nodes, peripheral blood, bone marrow and breast cancer.
Marker
Pancreatic Stem Cell Marker
Clonality
Monoclonal
Host
Mouse
Isotype
IgG2a Lambda/IgG1 Kappa
Theoretical MW
40 kDa.
Disclaimer note: The observed molecular weight of the protein may vary from the listed predicted molecular weight due to post translational modifications, post translation cleavages, relative charges, and other experimental factors.
Disclaimer note: The observed molecular weight of the protein may vary from the listed predicted molecular weight due to post translational modifications, post translation cleavages, relative charges, and other experimental factors.
Description
200ug/ml of antibody purified from Bioreactor Concentrate by Protein A or G. Prepared in 10 mM PBS with 0.05% BSA & 0.05% azide. Also available WITHOUT BSA & azide at 1.0 mg/ml. (NBP2-47948)
Antibody with azide - store at 2 to 8C. Antibody without azide - store at -20 to -80C.
Antibody with azide - store at 2 to 8C. Antibody without azide - store at -20 to -80C.
Scientific Data Images for Cytokeratin 19 Antibody (KRT19/799 + KRT19/800)
Immunohistochemistry-Paraffin: Cytokeratin 19 Antibody (KRT19/799 + KRT19/800) [NBP2-44829]
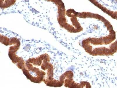
Immunohistochemistry-Paraffin: Cytokeratin 19 Antibody (KRT19/799 + KRT19/800) [NBP2-44829] - Formalin-fixed, paraffin-embedded human Cervical Carcinoma stained with Cytokeratin 19 Antibody (KRT19/799 + KRT19/800)Immunohistochemistry-Paraffin: Cytokeratin 19 Antibody (KRT19/799 + KRT19/800) [NBP2-44829]
Immunohistochemistry-Paraffin: Cytokeratin 19 Antibody (KRT19/799 + KRT19/800) [NBP2-44829] - Human Bladder Carcinoma stained with Cytokeratin 19 Monoclonal Antibody (KRT19/799 + KRT19/800)Immunohistochemistry-Paraffin: Cytokeratin 19 Antibody (KRT19/799 + KRT19/800) [NBP2-44829]
Immunohistochemistry-Paraffin: Cytokeratin 19 Antibody (KRT19/799 + KRT19/800) [NBP2-44829] - Human Cervical Carcinoma stained with Cytokeratin 19 Monoclonal Antibody (KRT19/799 + KRT19/800)Applications for Cytokeratin 19 Antibody (KRT19/799 + KRT19/800)
Application
Recommended Usage
Immunohistochemistry-Paraffin
0.1-0.2 ug/ml
Application Notes
Immunohistochemistry (Formalin-fixed): 0.1-0.2ug/ml for 30 min at RT. Staining of formalin-fixed tissues requires heating tissue sections in 10mM Tris with 1mM EDTA, pH 9.0, for 45 min at 95C followed by cooling at RT for 20 minutes.
Optimal dilution for a specific application should be determined.
Optimal dilution for a specific application should be determined.
Formulation, Preparation, and Storage
Purification
Protein A or G purified
Formulation
10 mM PBS with 0.05% BSA
Preservative
0.05% Sodium Azide
Concentration
0.2 mg/ml
Shipping
The product is shipped with polar packs. Upon receipt, store it immediately at the temperature recommended below.
Stability & Storage
Store at 4C.
Background: Cytokeratin 19
Additional Cytokeratin 19 Products
Product Documents for Cytokeratin 19 Antibody (KRT19/799 + KRT19/800)
Product Specific Notices for Cytokeratin 19 Antibody (KRT19/799 + KRT19/800)
This product is for research use only and is not approved for use in humans or in clinical diagnosis. Primary Antibodies are guaranteed for 1 year from date of receipt.
Loading...
Loading...
Loading...
Loading...