Skip to main content

Cytokeratin 17 Antibody (A2B10-R)

Novus Biologicals, part of Bio-Techne | Catalog # NBP3-32244

Recombinant Monoclonal Antibody
Novus Biologicals, part of Bio-Techne
Catalog #
Availability
Size / Price
Qty
Loading...
NBP3-32244

Key Product Details

Species Reactivity

Human

Applications

Immunohistochemistry, Immunohistochemistry-Paraffin, Western Blot, Immunocytochemistry/ Immunofluorescence

Label

Unconjugated

Antibody Source

Recombinant Monoclonal Mouse IgG1 Clone # A2B10-R expressed in HEK293

Concentration

1 mg/ml

Product Specifications

Immunogen

Synthetic peptide within Human Cytokeratin 17 aa 383-432 / 432. (Uniprot: Q04695)

Localization

Cytoplasm.

Clonality

Monoclonal

Host

Mouse

Isotype

IgG1

Theoretical MW

48 kDa.
Disclaimer note: The observed molecular weight of the protein may vary from the listed predicted molecular weight due to post translational modifications, post translation cleavages, relative charges, and other experimental factors.

Description

Novus Biologicals Mouse Cytokeratin 17 Antibody (A2B10-R) (NBP3-32244) is a recombinant monoclonal antibody validated for use in IHC, WB and ICC/IF. All Novus Biologicals antibodies are covered by our 100% guarantee.

Scientific Data Images for Cytokeratin 17 Antibody (A2B10-R)

Cytokeratin 17 Antibody (A2B10-R)

Western Blot: Cytokeratin 17 Antibody (A2B10-R) [NBP3-32244]

Western Blot: Cytokeratin 17 Antibody (A2B10-R) [NBP3-32244] - Western blot analysis of Cytokeratin 17 on different lysates with Mouse anti-Cytokeratin 17 antibody (NBP3-32244) at 1/1,000 dilution.

Lane 1: HeLa cell lysate
Lane 2: A431 cell lysate
Lane 3: MCF7 cell lysate (negative)
Lane 4: HepG2 cell lysate

Lysates/proteins at 20 ug/Lane.

Predicted band size: 48 kDa
Observed band size: 48 kDa

Exposure time: 5 seconds;

4-20% SDS-PAGE gel.

Proteins were transferred to a PVDF membrane and blocked with 5% NFDM/TBST for 1 hour at room temperature. The primary antibody (NBP3-32244) at 1/1,000 dilution was used in 5% NFDM/TBST at 4C overnight. Goat Anti-Mouse IgG - HRP Secondary Antibody at 1/50,000 dilution was used for 1 hour at room temperature.
Cytokeratin 17 Antibody (A2B10-R)

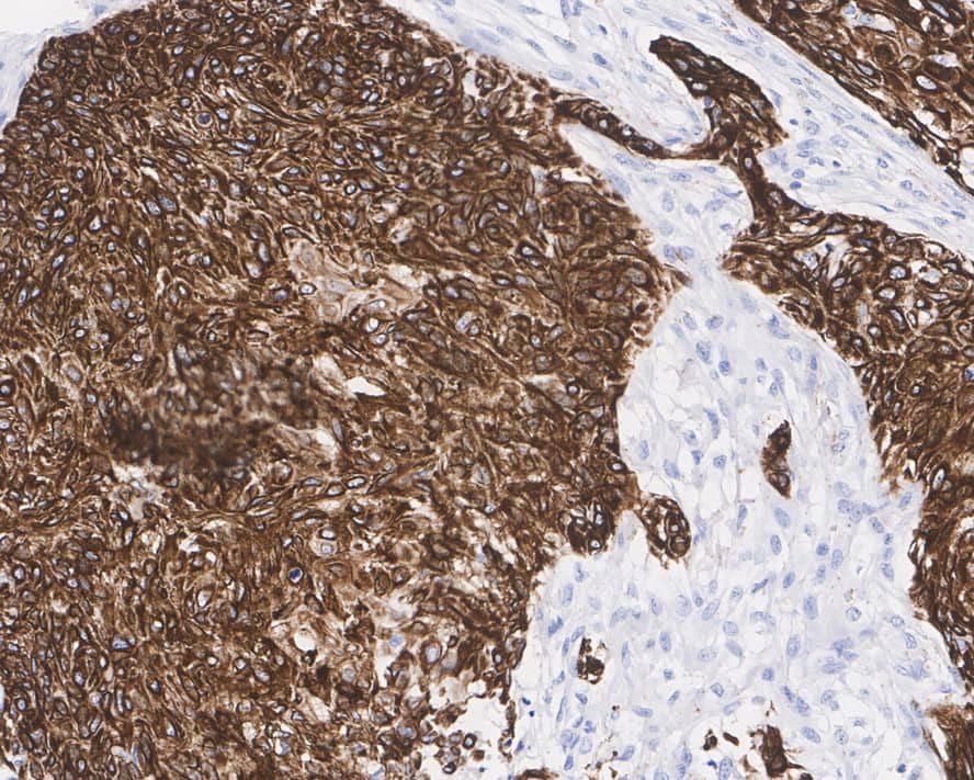
Immunohistochemistry: Cytokeratin 17 Antibody (A2B10-R) [NBP3-32244]

Immunohistochemistry: Cytokeratin 17 Antibody (A2B10-R) [NBP3-32244] - Immunohistochemical analysis of paraffin-embedded human cervical cancer tissue with Mouse anti-Cytokeratin 17 antibody (NBP3-32244) at 1/1,000 dilution.

The section was pre-treated using heat mediated antigen retrieval with Tris-EDTA buffer (pH 9.0) for 20 minutes. The tissues were blocked in 1% BSA for 20 minutes at room temperature, washed with ddH2O and PBS, and then probed with the primary antibody (NBP3-32244) at 1/1,000 dilution for 1 hour at room temperature. The detection was performed using an HRP conjugated compact polymer system. DAB was used as the chromogen. Tissues were counterstained with hematoxylin and mounted with DPX.
Cytokeratin 17 Antibody (A2B10-R)

Immunocytochemistry/ Immunofluorescence: Cytokeratin 17 Antibody (A2B10-R) [NBP3-32244]

Immunocytochemistry/ Immunofluorescence: Cytokeratin 17 Antibody (A2B10-R) [NBP3-32244] - Immunocytochemistry analysis of HeLa cells labeling Cytokeratin 17 with Mouse anti-Cytokeratin 17 antibody (NBP3-32244) at 1/100 dilution.

Cells were fixed in 4% paraformaldehyde for 20 minutes at room temperature, permeabilized with 0.1% Triton X-100 in PBS for 5 minutes at room temperature, then blocked with 1% BSA in 10% negative goat serum for 1 hour at room temperature. Cells were then incubated with Mouse anti-Cytokeratin 17 antibody (NBP3-32244) at 1/100 dilution in 1% BSA in PBST overnight at 4 ℃. Goat Anti-Mouse IgG H&L (iFluor™ 488) was used as the secondary antibody at 1/1,000 dilution. PBS instead of the primary antibody was used as the secondary antibody only control. Nuclear DNA was labelled in blue with DAPI.

beta Tubulin (red) was stained at 1/100 dilution overnight at +4℃. Goat Anti-Rabbit IgG H&L (iFluor™ 594) were used as the secondary antibody at 1/1,000 dilution.

Applications for Cytokeratin 17 Antibody (A2B10-R)

Application
Recommended Usage

Immunocytochemistry/ Immunofluorescence

1:100

Immunohistochemistry-Paraffin

1:1000

Western Blot

1:1000

Formulation, Preparation, and Storage

Purification

Protein A purified

Formulation

PBS (pH7.4), 0.1% BSA and 40% Glycerol

Preservative

0.05% Sodium Azide

Concentration

1 mg/ml

Shipping

The product is shipped with polar packs. Upon receipt, store it immediately at the temperature recommended below.

Stability & Storage

Store at 4C short term. Aliquot and store at -20C long term. Avoid freeze-thaw cycles.

Background: Cytokeratin 17

Among the members of the cytokeratin (CK) subfamily of intermediate filament (IF) proteins, CK 17 is normally expressed in the basal cells of complex epithelia but not in stratified or simple epithelia. It has an unusual expression pattern in normal and diseased states and has potential importance in tumor diagnosis. CK 17 synthesis seems to be a marker of basal cell differentiation in complex epithelia and therefore indicative of a certain type of epithelial "stem cells" (1). It has been shown that CK 17 regulates cell growth through binding to the adaptor protein 14-3-3sigma. These findings reveal a new and unexpected role for the intermediate filament cytoskeleton in influencing cell growth and size by regulating protein synthesis (2). CK 17 is expressed in the nail bed, hair follicle, sebaceous glands, and other epidermal appendages (3).

Long Name

Cytokeratin 17/KRT17

Alternate Names

CK-17, cytokeratin-17, K17, keratin 17, type I, keratin, type I cytoskeletal 17, PCHC1

Gene Symbol

KRT17

Additional Cytokeratin 17 Products

Product Documents for Cytokeratin 17 Antibody (A2B10-R)

Certificate of Analysis

To download a Certificate of Analysis, please enter a lot number in the search box below.

Product Specific Notices for Cytokeratin 17 Antibody (A2B10-R)

This product is for research use only and is not approved for use in humans or in clinical diagnosis. Primary Antibodies are guaranteed for 1 year from date of receipt.

Loading...
Loading...
Loading...
Loading...