Skip to main content

Cytokeratin 15 Antibody - BSA Free

Novus Biologicals, part of Bio-Techne | Catalog # NBP1-85603

Novus Biologicals, part of Bio-Techne
Catalog #
Availability
Size / Price
Qty
Loading...
NBP1-85603
NBP1-85603-25ul

Key Product Details

Species Reactivity

Human

Applications

Immunocytochemistry/ Immunofluorescence, Immunohistochemistry, Immunohistochemistry-Paraffin, Western Blot

Label

Unconjugated

Antibody Source

Polyclonal Rabbit IgG

Format

BSA Free

Concentration

Concentrations vary lot to lot. See vial label for concentration. If unlisted please contact technical services.

Product Specifications

Immunogen

This antibody was developed against Recombinant Protein corresponding to amino acids: RLEQEIATYRSLLEGQDAKMAGIGIREASSGGGGSSSNFHINVEESVDGQVVSSHKREI

Reactivity Notes

Immunogen displays the following percentage of sequence identity for non-tested species: Mouse (80%)

Clonality

Polyclonal

Host

Rabbit

Isotype

IgG

Description

Novus Biologicals Rabbit Cytokeratin 15 Antibody - BSA Free (NBP1-85603) is a polyclonal antibody validated for use in IHC, WB and ICC/IF. All Novus Biologicals antibodies are covered by our 100% guarantee.

Scientific Data Images for Cytokeratin 15 Antibody - BSA Free

Immunocytochemistry/ Immunofluorescence: Cytokeratin 15 Antibody [NBP1-85603]

Immunocytochemistry/ Immunofluorescence: Cytokeratin 15 Antibody [NBP1-85603]

Immunocytochemistry/Immunofluorescence: Cytokeratin 15 Antibody [NBP1-85603] - Staining of human cell line HaCaT shows localization to intermediate filaments. Antibody staining is shown in green.
Cytokeratin 15 Antibody

Immunocytochemistry/Immunofluorescence: Cytokeratin 15 Antibody [NBP1-85603] -

Immunocytochemistry/Immunofluorescence: Cytokeratin 15 Antibody [NBP1-85603] - Overnight incubation at 4ºC with Keratin 15 antibody diluted 1:400 in PBS/BSA 1%. Green: Cytokeratin 15, Blue: DAPI. Image from verified customer review.
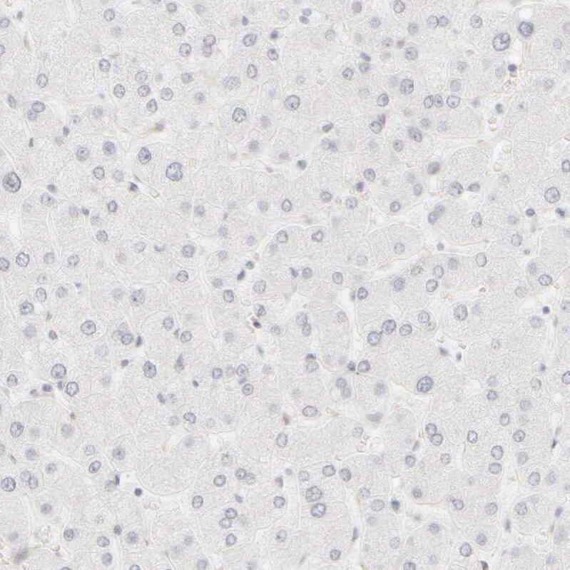
Cytokeratin 15 Antibody - BSA Free Immunohistochemistry-Paraffin: Cytokeratin 15 Antibody - BSA Free [NBP1-85603]

Immunohistochemistry-Paraffin: Cytokeratin 15 Antibody - BSA Free [NBP1-85603]

Staining of human liver shows no positivity in hepatocytes as expected.

Applications for Cytokeratin 15 Antibody - BSA Free

Application
Recommended Usage

Immunocytochemistry/ Immunofluorescence

0.25-2 ug/ml

Immunohistochemistry

1:1000 - 1:2500

Immunohistochemistry-Paraffin

1:1000 - 1:2500

Western Blot

0.04-0.4 ug/ml
Application Notes
For IHC-Paraffin, HIER pH 6 retrieval is recommended. ICC/IF Fixation/Permeabilization: PFA/Triton X-100.

Reviewed Applications

Read 1 review rated 4 using NBP1-85603 in the following applications:

Formulation, Preparation, and Storage

Purification

Immunogen affinity purified

Formulation

PBS (pH 7.2) and 40% Glycerol

Format

BSA Free

Preservative

0.02% Sodium Azide

Concentration

Concentrations vary lot to lot. See vial label for concentration. If unlisted please contact technical services.

Shipping

The product is shipped with polar packs. Upon receipt, store it immediately at the temperature recommended below.

Stability & Storage

Store at 4C short term. Aliquot and store at -20C long term. Avoid freeze-thaw cycles.

Background: Cytokeratin 15

Alternate Names

CK15, CK-15, cytokeratin 15, cytokeratin-15, K15keratin-15, basic, K1CO, keratin 15, keratin, type I cytoskeletal 15, Keratin-15, keratin-15, beta, KRTB, type I cytoskeletal 15

Gene Symbol

KRT15

Additional Cytokeratin 15 Products

Product Documents for Cytokeratin 15 Antibody - BSA Free

Certificate of Analysis

To download a Certificate of Analysis, please enter a lot number in the search box below.

Product Specific Notices for Cytokeratin 15 Antibody - BSA Free

This product is for research use only and is not approved for use in humans or in clinical diagnosis. Primary Antibodies are guaranteed for 1 year from date of receipt.

Loading...
Loading...
Loading...
Loading...