Skip to main content

Cytokeratin 14 Antibody (KRT14/6987R) - Azide and BSA Free

Novus Biologicals, part of Bio-Techne | Catalog # NBP3-20731

Recombinant Monoclonal Antibody
Novus Biologicals, part of Bio-Techne

Key Product Details

Species Reactivity

Human

Applications

Immunohistochemistry-Paraffin

Label

Unconjugated

Antibody Source

Recombinant Monoclonal Rabbit IgG Kappa Clone # KRT14/6987R

Format

Azide and BSA Free

Concentration

1 mg/ml

Product Specifications

Immunogen

Recombinant human Cytokeratin 14 fragment (around aa350-472) (exact sequence is proprietary)

Localization

Cytoplasm.

Clonality

Monoclonal

Host

Rabbit

Isotype

IgG Kappa

Description

Positive Controls: A431 or HeLa cells. Human prostate, skin or squamous cell carcinoma.

Antibody with azide - store at 2 to 8C. Antibody without azide - store at -20 to -80C. Non-hazardous. No MSDS required.

Scientific Data Images for Cytokeratin 14 Antibody (KRT14/6987R) - Azide and BSA Free

Cytokeratin 14 Antibody (KRT14/6987R) - Azide and BSA Free

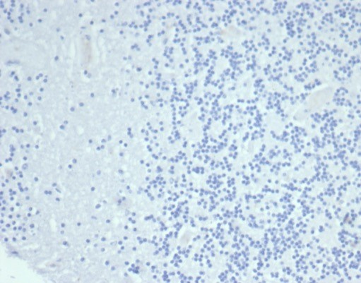
Cytokeratin 14 Antibody (KRT14/6987R)

IHC analysis of formalin-fixed, paraffin-embedded human brain. Negative tissue control using Cytokeratin 14 antibody (KRT14/6987R) at 2ug/ml in PBS for 30min RT. HIER: Tris/EDTA, pH9.0, 45min. Secondary: HRP-polymer, 30min. DAB, 5min.
Cytokeratin 14 Antibody (KRT14/6987R) - Azide and BSA Free

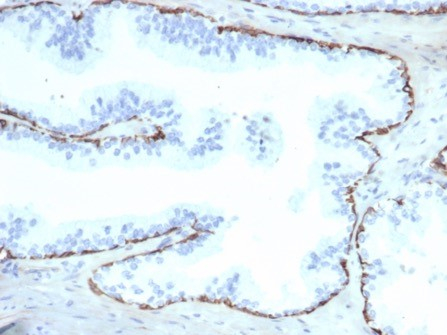
Cytokeratin 14 Antibody (KRT14/6987R)

Formalin-fixed, paraffin-embedded human prostate stained with Cytokeratin 14 antibody (KRT14/6987R). HIER: Tris/EDTA, pH9.0, 45min. Secondary: HRP-polymer, 30min. DAB, 5min.

Applications for Cytokeratin 14 Antibody (KRT14/6987R) - Azide and BSA Free

Application
Recommended Usage

Immunohistochemistry-Paraffin

1-2 ug/ml
Application Notes
Immunohistochemistry (Formalin-fixed): 1-2ug/ml for 30 minutes. at RT. Staining of formalin-fixed tissues requires heating tissue sections in 10mM Tris with 1mM EDTA, pH 9.0, for 45 min at 95C followed by cooling at RT for 20 minutes.

Optimal dilution for a specific application should be determined.

Formulation, Preparation, and Storage

Purification

Protein A or G purified

Formulation

10mM PBS

Format

Azide and BSA Free

Preservative

No Preservative

Concentration

1 mg/ml

Shipping

The product is shipped with polar packs. Upon receipt, store it immediately at the temperature recommended below.

Stability & Storage

Store at -20 to -70C. Avoid freeze-thaw cycles.

Background: Cytokeratin 14

Keratins are cytoplasmic intermediate filament proteins expressed by epithelial cells. Cytokeratin 14 (CK-14) is a 50-kDa keratin expressed in abundance in human epidermal cells (1). During anagen, cell proliferation in the germinative matrix of the hair follicle gives rise to the fiber and inner root sheath. The transition from anagen to telogen is marked by downregulation of hair cortical specific keratins and the appearance of CK-14 in the epithelial sac to which the telogen hair fiber is anchored (2). A family with recessive epidermolysis bullosa simplex lacked expression of the basal cell keratin 14. The patients had severe generalized skin blistering that improved slightly with age. The basal cells of the patients did not express keratin 14 and contained no keratin intermediate filaments. The expression of keratin 5, the obligate copolymer of keratin 14, was slightly reduced (3).

Alternate Names

CK14, KRT14

Gene Symbol

KRT14

Additional Cytokeratin 14 Products

Product Documents for Cytokeratin 14 Antibody (KRT14/6987R) - Azide and BSA Free

Certificate of Analysis

To download a Certificate of Analysis, please enter a lot number in the search box below.

Product Specific Notices for Cytokeratin 14 Antibody (KRT14/6987R) - Azide and BSA Free

This product is for research use only and is not approved for use in humans or in clinical diagnosis. Primary Antibodies are guaranteed for 1 year from date of receipt.

Loading...
Loading...
Loading...
Loading...