Skip to main content

Cytokeratin 10 Antibody (1C3D9) - BSA Free

Novus Biologicals, part of Bio-Techne | Catalog # NBP2-61737

Novus Biologicals, part of Bio-Techne
Catalog #
Availability
Size / Price
Qty
Loading...
NBP2-61737
NBP2-61737-0.025ml

Key Product Details

Species Reactivity

Human, Monkey

Applications

ELISA, Immunohistochemistry, Immunohistochemistry-Paraffin, Western Blot

Label

Unconjugated

Antibody Source

Monoclonal Mouse IgG1 Clone # 1C3D9

Format

BSA Free

Concentration

1 mg/ml

Product Specifications

Immunogen

Purified recombinant fragment of human Cytokeratin 10 (AA: 345-454) expressed in E. Coli.

Clonality

Monoclonal

Host

Mouse

Isotype

IgG1

Theoretical MW

58.8 kDa.
Disclaimer note: The observed molecular weight of the protein may vary from the listed predicted molecular weight due to post translational modifications, post translation cleavages, relative charges, and other experimental factors.

Description

Novus Biologicals Mouse Cytokeratin 10 Antibody (1C3D9) - BSA Free (NBP2-61737) is a monoclonal antibody validated for use in IHC, WB and ELISA. All Novus Biologicals antibodies are covered by our 100% guarantee.

Scientific Data Images for Cytokeratin 10 Antibody (1C3D9) - BSA Free

Western Blot: Cytokeratin 10 Antibody (1C3D9)BSA Free [NBP2-61737]

Western Blot: Cytokeratin 10 Antibody (1C3D9)BSA Free [NBP2-61737]

Western Blot: Cytokeratin 10 Antibody (1C3D9) [NBP2-61737] - Analysis using KRT10 mAb against HEK293 (1) and KRT10 (AA: 345-454)-hIgGFc transfected HEK293 (2) cell lysate.
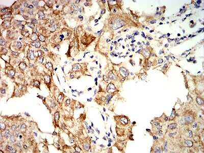
Immunohistochemistry: Cytokeratin 10 Antibody (1C3D9) - BSA Free [NBP2-61737]

Immunohistochemistry: Cytokeratin 10 Antibody (1C3D9) - BSA Free [NBP2-61737]

Immunohistochemistry: Cytokeratin 10 Antibody (1C3D9) [NBP2-61737] - Analysis of paraffin-embedded esophageal cancer tissues using KRT10 mouse mAb with DAB staining.
Western Blot: Cytokeratin 10 Antibody (1C3D9)BSA Free [NBP2-61737]

Western Blot: Cytokeratin 10 Antibody (1C3D9)BSA Free [NBP2-61737]

Western Blot: Cytokeratin 10 Antibody (1C3D9) [NBP2-61737] - Analysis using KRT10 mAb against human KRT10 (AA: 345-454) recombinant protein. (Expected MW is 38.7 kDa)

Applications for Cytokeratin 10 Antibody (1C3D9) - BSA Free

Application
Recommended Usage

ELISA

1:100-1:2000

Immunohistochemistry

1:200-1:1000

Immunohistochemistry-Paraffin

1:200-1:1000

Western Blot

1:200-1:2000

Formulation, Preparation, and Storage

Purification

Protein G purified

Formulation

PBS

Format

BSA Free

Preservative

0.05% Sodium Azide

Concentration

1 mg/ml

Shipping

The product is shipped with polar packs. Upon receipt, store it immediately at the temperature recommended below.

Stability & Storage

Store at 4C short term. Aliquot and store at -20C long term. Avoid freeze-thaw cycles.

Background: Cytokeratin 10

This gene encodes a member of the type I (acidic) cytokeratin family, which belongs to the superfamily of intermediate filament (IF) proteins. Keratins are heteropolymeric structural proteins which form the intermediate filament. These filaments, along with actin microfilaments and microtubules, compose the cytoskeleton of epithelial cells. Mutations in this gene are associated with epidermolytic hyperkeratosis. This gene is located within a cluster of keratin family members on chromosome 17q21.;

Alternate Names

BCIE, BIE, CK10, CK-10, cytokeratin 10, Cytokeratin-10, EHK, K10keratosis palmaris et plantaris, keratin 10, Keratin 10 (epidermolytic hyperkeratosis; keratosis palmaris et plantaris), keratin, type I cytoskeletal 10, keratin-10, KPP

Gene Symbol

KRT10

Additional Cytokeratin 10 Products

Product Documents for Cytokeratin 10 Antibody (1C3D9) - BSA Free

Certificate of Analysis

To download a Certificate of Analysis, please enter a lot number in the search box below.

Product Specific Notices for Cytokeratin 10 Antibody (1C3D9) - BSA Free

This product is for research use only and is not approved for use in humans or in clinical diagnosis. Primary Antibodies are guaranteed for 1 year from date of receipt.

Loading...
Loading...
Loading...
Loading...