Skip to main content

Cytokeratin 10 Antibody (18B6) - BSA Free

Novus Biologicals, part of Bio-Techne | Catalog # NBP3-26178

Recombinant monoclonal antibody expressed in HEK293F cells
Novus Biologicals, part of Bio-Techne
Catalog #
Availability
Size / Price
Qty
Loading...
NBP3-26178-100ul
NBP3-26178-50ul

Key Product Details

Species Reactivity

Human

Applications

ELISA, Immunohistochemistry

Label

Unconjugated

Antibody Source

Recombinant Monoclonal Rabbit IgG Clone # 18B6 expressed in HEK293

Format

BSA Free

Concentration

Please see the vial label for concentration. If unlisted please contact technical services.

Product Specifications

Immunogen

A synthesized peptide derived from Human Cytokeratin 10 [UniProt P13645]

Clonality

Monoclonal

Host

Rabbit

Isotype

IgG

Description

Novus Biologicals Rabbit Cytokeratin 10 Antibody (18B6) - BSA Free (NBP3-26178) is a recombinant monoclonal antibody validated for use in IHC and ELISA. All Novus Biologicals antibodies are covered by our 100% guarantee.

Scientific Data Images for Cytokeratin 10 Antibody (18B6) - BSA Free

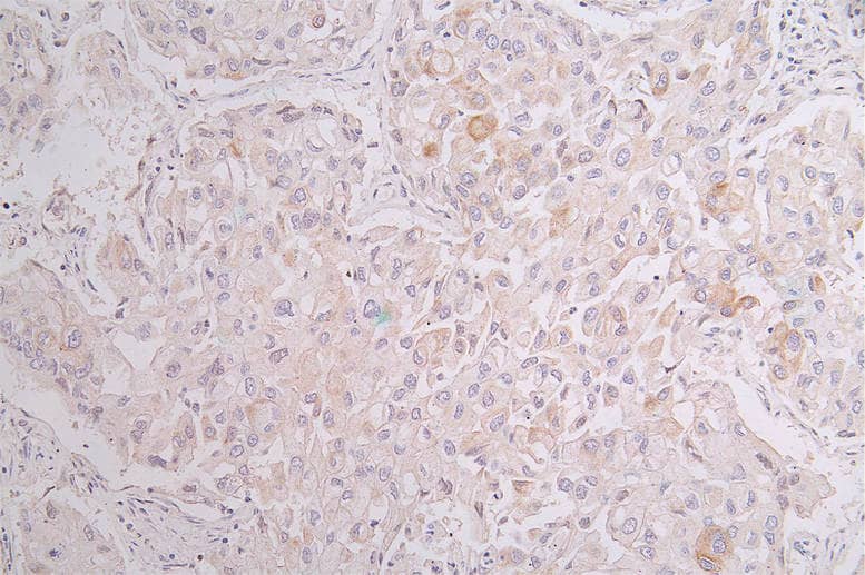
Cytokeratin 10 Antibody (18B6)

Immunohistochemistry: Cytokeratin 10 Antibody (18B6) [NBP3-26178] -

Immunohistochemistry: Cytokeratin 10 Antibody (18B6) [NBP3-26178] - Image of Cytokeratin 10 Antibody (18B6) diluted at 1:50 and staining in paraffin-embedded human pancreati tissue performed. After dewaxing and hydration, antigen retrieval was mediated by high pressure in a citrate buffer (pH 6.0). Section was blocked with 10% normal goat serum 30min at RT. Then primary antibody (1% BSA) was incubated at 4°C overnight. The primary is detected by a Goat anti-rabbit polymer IgG labeled by HRP and visualized using 0.34% DAB.
Cytokeratin 10 Antibody (18B6)

Immunohistochemistry: Cytokeratin 10 Antibody (18B6) [NBP3-26178] -

Immunohistochemistry: Cytokeratin 10 Antibody (18B6) [NBP3-26178] - Image of Cytokeratin 10 Antibody (18B6) diluted at 1:50 and staining in paraffin-embedded human pancreati tissue performed. After dewaxing and hydration, antigen retrieval was mediated by high pressure in a citrate buffer (pH 6.0). Section was blocked with 10% normal goat serum 30min at RT. Then primary antibody (1% BSA) was incubated at 4°C overnight. The primary is detected by a Goat anti-rabbit polymer IgG labeled by HRP and visualized using 0.34% DAB.

Applications for Cytokeratin 10 Antibody (18B6) - BSA Free

Application
Recommended Usage

Immunohistochemistry

1:50-1:200

Formulation, Preparation, and Storage

Purification

Affinity purified

Formulation

PBS, pH 7.4, 150mM NaCl, and 50% glycerol

Format

BSA Free

Preservative

0.02% Sodium Azide

Concentration

Please see the vial label for concentration. If unlisted please contact technical services.

Shipping

The product is shipped with polar packs. Upon receipt, store it immediately at the temperature recommended below.

Stability & Storage

Store at -20 to -70C. Avoid freeze-thaw cycles.

Background: Cytokeratin 10

This gene encodes a member of the type I (acidic) cytokeratin family, which belongs to the superfamily of intermediate filament (IF) proteins. Keratins are heteropolymeric structural proteins which form the intermediate filament. These filaments, along with actin microfilaments and microtubules, compose the cytoskeleton of epithelial cells. Mutations in this gene are associated with epidermolytic hyperkeratosis. This gene is located within a cluster of keratin family members on chromosome 17q21. [provided by RefSeq, Jul 2008]

Alternate Names

BCIE, BIE, CK10, CK-10, cytokeratin 10, Cytokeratin-10, EHK, K10keratosis palmaris et plantaris, keratin 10, Keratin 10 (epidermolytic hyperkeratosis; keratosis palmaris et plantaris), keratin, type I cytoskeletal 10, keratin-10, KPP

Gene Symbol

KRT10

Additional Cytokeratin 10 Products

Product Documents for Cytokeratin 10 Antibody (18B6) - BSA Free

Certificate of Analysis

To download a Certificate of Analysis, please enter a lot number in the search box below.

Product Specific Notices for Cytokeratin 10 Antibody (18B6) - BSA Free

This product is for research use only and is not approved for use in humans or in clinical diagnosis. Primary Antibodies are guaranteed for 1 year from date of receipt.

Loading...
Loading...
Loading...
Loading...