Skip to main content

Cytokeratin 1 Antibody (KRT1/8342R)

Novus Biologicals, part of Bio-Techne | Catalog # NBP3-26809

Recombinant Monoclonal Antibody
Novus Biologicals, part of Bio-Techne
Catalog #
Availability
Size / Price
Qty
Loading...
NBP3-26809-100ug
NBP3-26809-20ug

Key Product Details

Species Reactivity

Human

Applications

Immunohistochemistry-Paraffin

Label

Unconjugated

Antibody Source

Recombinant Monoclonal Rabbit IgG Kappa Clone # KRT1/8342R

Concentration

0.2 mg/ml

Product Specifications

Immunogen

Recombinant full-length human Cytokeratin 1 protein

Localization

Cytoplasm

Clonality

Monoclonal

Host

Rabbit

Isotype

IgG Kappa

Description

Antibody with azide - store at 2 to 8C. Antibody without azide - store at -20 to -80C. Non-hazardous. No MSDS required.

Scientific Data Images for Cytokeratin 1 Antibody (KRT1/8342R)

Cytokeratin 1 Antibody (KRT1/8342R)

Immunohistochemistry-Paraffin: Cytokeratin 1 Antibody (KRT1/8342R) [NBP3-26809 ] -

Formalin-fixed, paraffin-embedded human skin stained with Cytokeratin 1 Antibody (KRT1/8342R). HIER: Tris/EDTA, pH9.0, 45min. 2°C: HRP-polymer, 30min. DAB, 5min.
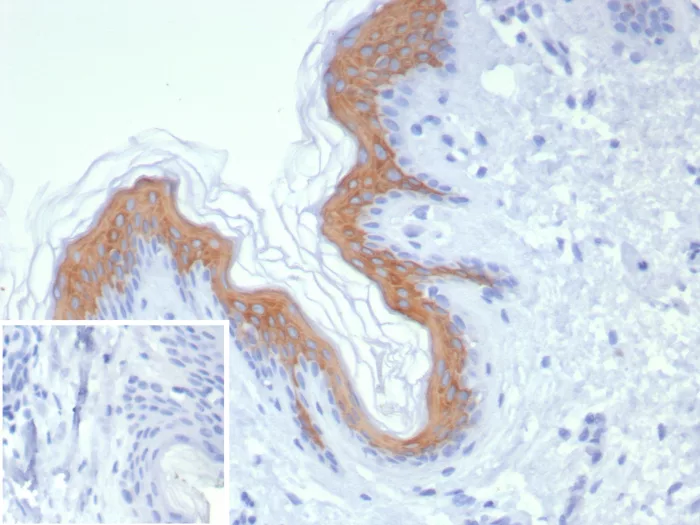
Cytokeratin 1 Antibody (KRT1/8342R)

Immunohistochemistry-Paraffin: Cytokeratin 1 Antibody (KRT1/8342R) [NBP3-26809 ] -

Formalin-fixed, paraffin-embedded human skin stained with Cytokeratin 1 Antibody (KRT1/8342R). Inset: PBS instead of primary antibody; secondary only negative control.

Applications for Cytokeratin 1 Antibody (KRT1/8342R)

Application
Recommended Usage

Immunohistochemistry-Paraffin

1-2ug/ml for 30 minutes at RT
Application Notes
Immunohistochemistry-Paraffin 1-2ug/ml for 30 minutes at RT. Optimal dilution for a specific application should be determined.. Staining of formalin-fixed tissues requires heating tissue sections in 10mM Tris with 1mM EDTA, pH 9.0, for 45 min at 95C followed by cooling at RT for 20 minutes

Formulation, Preparation, and Storage

Purification

Protein A or G purified

Formulation

10mM PBS with 0.05% BSA

Preservative

0.05% Sodium Azide

Concentration

0.2 mg/ml

Shipping

The product is shipped with polar packs. Upon receipt, store it immediately at the temperature recommended below.

Stability & Storage

Store at 4C.

Background: Cytokeratin 1

Belonging to the keratin family, Cytokeratin 1 plays an important role in cell binding. More specifically, this gene is expressed in the spinous and granular layers of the epidermis with keratin 10. Mutations in this gene have been associated with the variants of bullous congenital ichthyosiform erythroderma in which the palms and soles of the feet are affected. This gene also regulates the activity of kinases such as PKC and SRC by binding to ITGB1 and the receptor of GNB2L1. Other biological processes include complement activation, lectin pathway, epidermis development, fibrinolysis, regulation of angiogenesis and response to oxidative stress.

Alternate Names

CK1, CK-1, cytokeratin 1, Cytokeratin-1, cytokeratin-1,67 kDa cytokeratin, EHK, EHK1, epidermolytic hyperkeratosis 1, EPPK, Hair alpha protein, K1, keratin 1, keratin, type II cytoskeletal 1, Keratin-1, KRT1A, KRTA, NEPPK, Type-II keratin Kb1

Gene Symbol

KRT1

Additional Cytokeratin 1 Products

Product Documents for Cytokeratin 1 Antibody (KRT1/8342R)

Certificate of Analysis

To download a Certificate of Analysis, please enter a lot number in the search box below.

Product Specific Notices for Cytokeratin 1 Antibody (KRT1/8342R)

This product is for research use only and is not approved for use in humans or in clinical diagnosis. Primary Antibodies are guaranteed for 1 year from date of receipt.

Loading...
Loading...
Loading...
Loading...