Skip to main content

Cytohesin 3 Antibody - BSA Free

Novus Biologicals, part of Bio-Techne | Catalog # NBP1-90097

Novus Biologicals, part of Bio-Techne
Catalog #
Availability
Size / Price
Qty
Loading...
NBP1-90097
NBP1-90097-25ul

Key Product Details

Species Reactivity

Validated:

Human, Mouse

Cited:

Mouse

Applications

Validated:

Immunohistochemistry, Immunohistochemistry-Paraffin, Western Blot

Cited:

IF/IHC

Label

Unconjugated

Antibody Source

Polyclonal Rabbit IgG

Format

BSA Free

Concentration

Concentrations vary lot to lot. See vial label for concentration. If unlisted please contact technical services.

Product Specifications

Immunogen

This antibody was developed against Recombinant Protein corresponding to amino acids: DEDGGGEGGGVPEDLSLEEREELLDIRRRKKELIDDIERLKYEIAEVMTEIDNLTSVEESKTTQRNKQIAM

Reactivity Notes

Immunogen displays the following percentage of sequence identity for non-tested species: Rat (86%). Mouse reactivity reported in scientific literature (PMID: 26239146).

Clonality

Polyclonal

Host

Rabbit

Isotype

IgG

Description

Novus Biologicals Rabbit Cytohesin 3 Antibody - BSA Free (NBP1-90097) is a polyclonal antibody validated for use in IHC and WB. Anti-Cytohesin 3 Antibody: Cited in 1 publication. All Novus Biologicals antibodies are covered by our 100% guarantee.

Scientific Data Images for Cytohesin 3 Antibody - BSA Free

Cytohesin 3 Antibody - BSA Free Immunohistochemistry: Cytohesin 3 Antibody - BSA Free [NBP1-90097]

Immunohistochemistry: Cytohesin 3 Antibody - BSA Free [NBP1-90097]

Staining of human cerebellum shows strong cytoplasmic positivity in Purkinje cells.
Cytohesin 3 Antibody - BSA Free Immunohistochemistry: Cytohesin 3 Antibody - BSA Free [NBP1-90097]

Immunohistochemistry: Cytohesin 3 Antibody - BSA Free [NBP1-90097]

Staining of human placenta shows strong cytoplasmic positivity in trophoblastic cells.
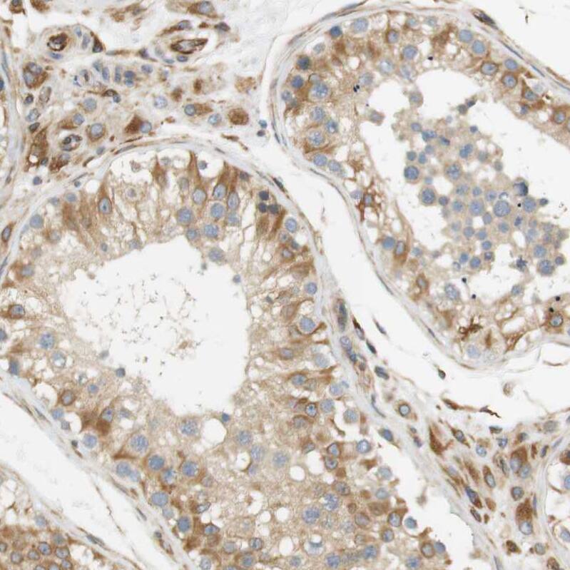
Cytohesin 3 Antibody - BSA Free Immunohistochemistry: Cytohesin 3 Antibody - BSA Free [NBP1-90097]

Immunohistochemistry: Cytohesin 3 Antibody - BSA Free [NBP1-90097]

Staining of human testis shows moderate cytoplasmic positivity in cells in seminiferous ducts and in leydig cells.

Applications for Cytohesin 3 Antibody - BSA Free

Application
Recommended Usage

Immunohistochemistry

1:200 - 1:500

Immunohistochemistry-Paraffin

1:200 - 1:500

Western Blot

0.04-0.4 ug/ml
Application Notes
For IHC-Paraffin, HIER pH 6 retrieval is recommended.

Formulation, Preparation, and Storage

Purification

Immunogen affinity purified

Formulation

PBS (pH 7.2) and 40% Glycerol

Format

BSA Free

Preservative

0.02% Sodium Azide

Concentration

Concentrations vary lot to lot. See vial label for concentration. If unlisted please contact technical services.

Shipping

The product is shipped with polar packs. Upon receipt, store it immediately at the temperature recommended below.

Stability & Storage

Store at 4C short term. Aliquot and store at -20C long term. Avoid freeze-thaw cycles.

Background: Cytohesin 3

Specificity: A synthetic

Alternate Names

ARF nucleotide-binding site opener 3, ARNO3PH, SEC7 and coiled-coil domain-containing protein 3, cytohesin 3, General receptor of phosphoinositides 1, Grp1, GRP1cytohesin-3, pleckstrin homology, Sec7 and coiled-coil domains 3, Protein ARNO3, PSCD3pleckstrin homology, Sec7 and coiled/coil domains 3

Gene Symbol

CYTH3

Additional Cytohesin 3 Products

Product Documents for Cytohesin 3 Antibody - BSA Free

Certificate of Analysis

To download a Certificate of Analysis, please enter a lot number in the search box below.

Product Specific Notices for Cytohesin 3 Antibody - BSA Free

This product is for research use only and is not approved for use in humans or in clinical diagnosis. Primary Antibodies are guaranteed for 1 year from date of receipt.

Loading...
Loading...
Loading...
Loading...