Skip to main content

Cytochrome P450 4A Antibody (10D10W7)

Novus Biologicals, part of Bio-Techne | Catalog # NBP3-15847

Recombinant Monoclonal Antibody
Novus Biologicals, part of Bio-Techne
Catalog #
Availability
Size / Price
Qty
Loading...
NBP3-15847-20ul
NBP3-15847-100ul

Key Product Details

Species Reactivity

Human, Mouse, Rat

Applications

Immunohistochemistry, Immunohistochemistry-Paraffin, Western Blot

Label

Unconjugated

Antibody Source

Recombinant Monoclonal Rabbit IgG Clone # 10D10W7 expressed in HEK293

Concentration

Please see the vial label for concentration. If unlisted please contact technical services.

Product Specifications

Immunogen

A synthetic peptide corresponding to a sequence within amino acids 50-150 of human Cytochrome P450 4A (CYP4A11) (Q02928). QFPCPPSHWLFGHIQELQQDQELQRIQKWVETFPSACPHWLWGGKVRVQLYDPDYMKVILGRSDPKSHGSYRFLAPWIGYGLLLLNGQTWFQHRRMLTPAF

Clonality

Monoclonal

Host

Rabbit

Isotype

IgG

Description

Novus Biologicals Rabbit Cytochrome P450 4A Antibody (10D10W7) (NBP3-15847) is a recombinant monoclonal antibody validated for use in IHC and WB. All Novus Biologicals antibodies are covered by our 100% guarantee.

Scientific Data Images for Cytochrome P450 4A Antibody (10D10W7)

Western Blot: Cytochrome P450 4A Antibody (10D10W7) [NBP3-15847]

Western Blot: Cytochrome P450 4A Antibody (10D10W7) [NBP3-15847]

Western Blot: Cytochrome P450 4A Antibody (10D10W7) [NBP3-15847] - Western blot analysis of extracts of various cell lines, using Cytochrome P450 4A (CYP4A11) Rabbit mAb (NBP3-15847) at 1:1000 dilution. Secondary antibody: HRP Goat Anti-Rabbit IgG (H+L) at 1:10000 dilution. Lysates/proteins: 25ug per lane. Blocking buffer: 3% nonfat dry milk in TBST. Detection: ECL Basic Kit. Exposure time: 10s.
Cytochrome P450 4A Antibody (10D10W7)

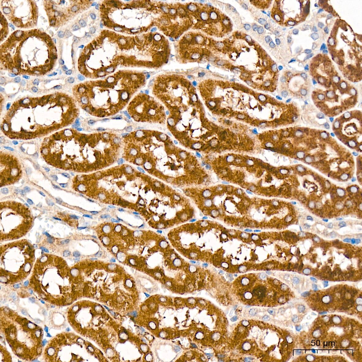
Immunohistochemistry: Cytochrome P450 4A Antibody (10D10W7) [NBP3-15847] -

Immunohistochemistry: Cytochrome P450 4A Antibody (10D10W7) [NBP3-15847] - Immunohistochemistry analysis of Cytochrome P450 4A in paraffin-embedded mouse kidney tissue using Cytochrome P450 4A Rabbit mAb at a dilution of 1:200 (40x lens). High pressure antigen retrieval was performed with 0.01 M citrate buffer (pH 6.0) prior to IHC staining.
Cytochrome P450 4A Antibody (10D10W7)

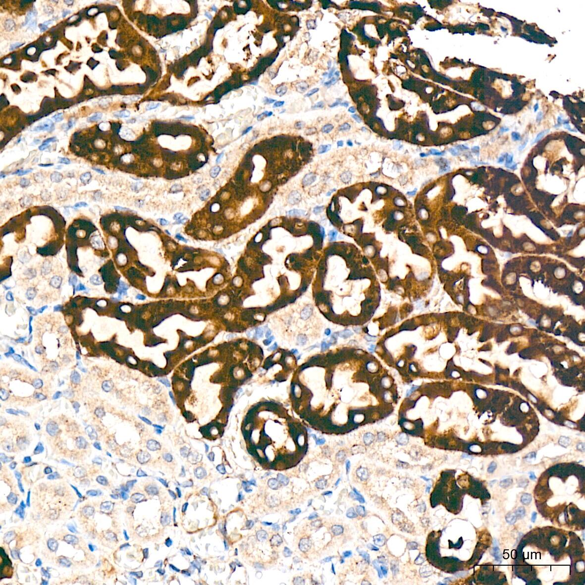
Immunohistochemistry: Cytochrome P450 4A Antibody (10D10W7) [NBP3-15847] -

Immunohistochemistry: Cytochrome P450 4A Antibody (10D10W7) [NBP3-15847] - Immunohistochemistry analysis of Cytochrome P450 4A in paraffin-embedded rat kidney tissue using Cytochrome P450 4A Rabbit mAb at a dilution of 1:200 (40x lens). High pressure antigen retrieval was performed with 0.01 M citrate buffer (pH 6.0) prior to IHC staining.

Applications for Cytochrome P450 4A Antibody (10D10W7)

Application
Recommended Usage

Immunohistochemistry

1:50 - 1:200

Western Blot

1:500 - 1:2000

Formulation, Preparation, and Storage

Purification

Affinity purified

Formulation

PBS (pH 7.3), 50% glycerol, 0.05% BSA

Preservative

0.02% Sodium Azide

Concentration

Please see the vial label for concentration. If unlisted please contact technical services.

Shipping

The product is shipped with polar packs. Upon receipt, store it immediately at the temperature recommended below.

Stability & Storage

Store at -20C. Avoid freeze-thaw cycles.

Background: Cytochrome P450 4A

Alternate Names

20-HETE synthase, CP4Y, CYP4A2, cytochrome P450 4A11, cytochrome P450, family 4, subfamily A, polypeptide 11, cytochrome P450, subfamily IVA, polypeptide 11, cytochrome P-450HK-omega, cytochrome P450HL-omega, fatty acid omega-hydroxylase, lauric acid omega-hydroxylase, P450HL-omega

Gene Symbol

CYP4A11

Additional Cytochrome P450 4A Products

Product Documents for Cytochrome P450 4A Antibody (10D10W7)

Certificate of Analysis

To download a Certificate of Analysis, please enter a lot number in the search box below.

Product Specific Notices for Cytochrome P450 4A Antibody (10D10W7)

This product is for research use only and is not approved for use in humans or in clinical diagnosis. Primary Antibodies are guaranteed for 1 year from date of receipt.

Loading...
Loading...
Loading...
Loading...