Cytochrome p450 2J2 Antibody (OTI5C9) - Azide and BSA Free
Novus Biologicals, part of Bio-Techne | Catalog # NBP2-70533
Conjugate
Catalog #
Key Product Details
Species Reactivity
Human
Applications
Immunohistochemistry, Immunohistochemistry-Paraffin, Western Blot
Label
Unconjugated
Antibody Source
Monoclonal Mouse IgG1 Clone # OTI5C9
Format
Azide and BSA Free
Concentration
LYOPH mg/ml
Product Specifications
Immunogen
Full length human recombinant protein of human CYP2J2(NP_000766) produced in HEK293T cell.
Clonality
Monoclonal
Host
Mouse
Isotype
IgG1
Theoretical MW
57.4 kDa.
Disclaimer note: The observed molecular weight of the protein may vary from the listed predicted molecular weight due to post translational modifications, post translation cleavages, relative charges, and other experimental factors.
Disclaimer note: The observed molecular weight of the protein may vary from the listed predicted molecular weight due to post translational modifications, post translation cleavages, relative charges, and other experimental factors.
Scientific Data Images for Cytochrome p450 2J2 Antibody (OTI5C9) - Azide and BSA Free
Western Blot: Cytochrome p450 2J2 Antibody (OTI5C9)Azide and BSA Free [NBP2-70533]
Western Blot: Cytochrome p450 2J2 Antibody (OTI5C9) - Azide and BSA Free [NBP2-70533] - Analysis of HEK293T cells were transfected with the pCMV6-ENTRY control (Left lane) or pCMV6-ENTRY Cytochrome p450.Immunohistochemistry: Cytochrome p450 2J2 Antibody (OTI5C9) - Azide and BSA Free [NBP2-70533]
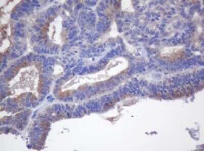
Immunohistochemistry: Cytochrome p450 2J2 Antibody (OTI5C9) - Azide and BSA Free [NBP2-70533] - Analysis of Adenocarcinoma of Human endometrium tissue. (Heat-induced epitope retrieval by 10mM citric buffer, pH6.0, 120C for 3min)Applications for Cytochrome p450 2J2 Antibody (OTI5C9) - Azide and BSA Free
Application
Recommended Usage
Immunohistochemistry
1:500
Western Blot
1:500
Formulation, Preparation, and Storage
Purification
Immunogen affinity purified
Reconstitution
we recommend adding 100uL distilled water to a final antibody concentration of about 1 mg/mL. To use this carrier-free antibody for conjugation experiment, we strongly recommend performing another round of desalting process.
Formulation
Lyophilized from PBS (pH 7.3) with 8% Trehalose
Format
Azide and BSA Free
Preservative
No Preservative
Concentration
LYOPH mg/ml
Shipping
The product is shipped with polar packs. Upon receipt, store it immediately at the temperature recommended below.
Stability & Storage
Store at -20C. Avoid freeze-thaw cycles.
Background: Cytochrome p450 2J2
Alternate Names
Arachidonic acid epoxygenase, CPJ2, CYPIIJ2, cytochrome P450 2J2, cytochrome P450, family 2, subfamily J, polypeptide 2, cytochrome P450, subfamily IIJ (arachidonic acid epoxygenase) polypeptide 2, EC 1.14.14.1, flavoprotein-linked monooxygenase, microsomal monooxygenase
Gene Symbol
CYP2J2
Additional Cytochrome p450 2J2 Products
Product Documents for Cytochrome p450 2J2 Antibody (OTI5C9) - Azide and BSA Free
Product Specific Notices for Cytochrome p450 2J2 Antibody (OTI5C9) - Azide and BSA Free
This product is for research use only and is not approved for use in humans or in clinical diagnosis. Primary Antibodies are guaranteed for 1 year from date of receipt.
Loading...
Loading...
Loading...
Loading...
Loading...