Skip to main content

Cytochrome b5 type A Antibody - BSA Free

Novus Biologicals, part of Bio-Techne | Catalog # NBP3-38144

Novus Biologicals, part of Bio-Techne
Catalog #
Availability
Size / Price
Qty
Loading...
NBP3-38144-20ul
NBP3-38144-100ul

Key Product Details

Species Reactivity

Human, Mouse, Rat

Applications

ELISA, Immunocytochemistry/ Immunofluorescence, Immunohistochemistry, Immunohistochemistry-Paraffin, Western Blot

Label

Unconjugated

Antibody Source

Polyclonal Rabbit IgG

Format

BSA Free

Concentration

Please see the vial label for concentration. If unlisted please contact technical services.

Product Specifications

Immunogen

Recombinant fusion protein containing a sequence corresponding to amino acids 1-100 of human Cytochrome b5 type A (NP_683725.1).

Sequence:
MAEQSDEAVKYYTLEEIQKHNHSKSTWLILHHKVYDLTKFLEEHPGGEEVLREQAGGDATENFEDVGHSTDAREMSKTFIIGELHPDDRPKLNKPPETLI

Clonality

Polyclonal

Host

Rabbit

Isotype

IgG

Theoretical MW

15 kDa.
Disclaimer note: The observed molecular weight of the protein may vary from the listed predicted molecular weight due to post translational modifications, post translation cleavages, relative charges, and other experimental factors.

Description

Novus Biologicals Rabbit Cytochrome b5 type A Antibody - BSA Free (NBP3-38144) is a polyclonal antibody validated for use in IHC, WB, ELISA and ICC/IF. All Novus Biologicals antibodies are covered by our 100% guarantee.

Scientific Data Images for Cytochrome b5 type A Antibody - BSA Free

Cytochrome b5 type A Antibody

Western Blot: Cytochrome b5 type A Antibody [NBP3-38144] -

Western Blot: Cytochrome b5 type A Antibody [NBP3-38144] - Western blot analysis of various lysates using Cytochrome b5 type A Rabbit pAb at 1:1000 dilution.
Secondary antibody: HRP-conjugated Goat anti-Rabbit IgG (H+L) at 1:10000 dilution.
Lysates/proteins: 25ug per lane.
Blocking buffer: 3% nonfat dry milk in TBST.
Detection: ECL Basic Kit.
Exposure time: 120s.
Cytochrome b5 type A Antibody

Immunohistochemistry: Cytochrome b5 type A Antibody [NBP3-38144] -

Immunohistochemistry: Cytochrome b5 type A Antibody [NBP3-38144] - Immunohistochemistry analysis of paraffin-embedded Rat kidney using Cytochrome b5 type A Rabbit pAb at dilution of 1:100 (40x lens). Microwave antigen retrieval performed with 0.01M PBS Buffer (pH 7.2) prior to IHC staining.
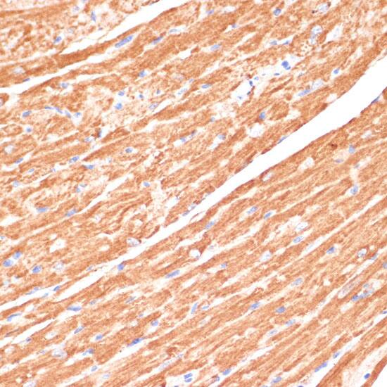
Cytochrome b5 type A Antibody

Immunohistochemistry: Cytochrome b5 type A Antibody [NBP3-38144] -

Immunohistochemistry: Cytochrome b5 type A Antibody [NBP3-38144] - Immunohistochemistry analysis of paraffin-embedded Mouse heart using Cytochrome b5 type A Rabbit pAb at dilution of 1:100 (40x lens). Microwave antigen retrieval performed with 0.01M PBS Buffer (pH 7.2) prior to IHC staining.

Applications for Cytochrome b5 type A Antibody - BSA Free

Application
Recommended Usage

Immunocytochemistry/ Immunofluorescence

1:50 - 1:200

Immunohistochemistry-Paraffin

1:50 - 1:200

Western Blot

1:500 - 1:2000

Formulation, Preparation, and Storage

Purification

Affinity purified

Formulation

PBS (pH 7.3), 50% glycerol

Format

BSA Free

Preservative

0.02% Sodium Azide

Concentration

Please see the vial label for concentration. If unlisted please contact technical services.

Shipping

The product is shipped with polar packs. Upon receipt, store it immediately at the temperature recommended below.

Stability & Storage

Store at -20C. Avoid freeze-thaw cycles.

Background: Cytochrome b5 type A

Alternate Names

CYB5, cytochrome b-5, cytochrome b5 (microsomal), cytochrome b5 type A (microsomal), MCB5cytochrome b5, Microsomal cytochrome b5 type A, type 1 cyt-b5

Gene Symbol

CYB5A

Additional Cytochrome b5 type A Products

Product Documents for Cytochrome b5 type A Antibody - BSA Free

Certificate of Analysis

To download a Certificate of Analysis, please enter a lot number in the search box below.

Product Specific Notices for Cytochrome b5 type A Antibody - BSA Free

This product is for research use only and is not approved for use in humans or in clinical diagnosis. Primary Antibodies are guaranteed for 1 year from date of receipt.

Loading...
Loading...
Loading...
Loading...