Skip to main content

Cystatin C Antibody (S02-9F2)

Novus Biologicals, part of Bio-Techne | Catalog # NBP3-20036

Recombinant Monoclonal Antibody
Novus Biologicals, part of Bio-Techne
Catalog #
Availability
Size / Price
Qty
Loading...
NBP3-20036-100ul
NBP3-20036-50ul

Key Product Details

Species Reactivity

Human, Mouse, Rat

Applications

Immunohistochemistry, Immunohistochemistry-Paraffin, Western Blot

Label

Unconjugated

Antibody Source

Recombinant Monoclonal Rabbit IgG Clone # S02-9F2 expressed in HEK293

Concentration

0.3 mg/ml

Product Specifications

Immunogen

Recombinant protein of human Cystatin C (Uniprot # P01034)

Clonality

Monoclonal

Host

Rabbit

Isotype

IgG

Theoretical MW

13 kDa.
Disclaimer note: The observed molecular weight of the protein may vary from the listed predicted molecular weight due to post translational modifications, post translation cleavages, relative charges, and other experimental factors.

Description

Novus Biologicals Rabbit Cystatin C Antibody (S02-9F2) (NBP3-20036) is a recombinant monoclonal antibody validated for use in IHC and WB. All Novus Biologicals antibodies are covered by our 100% guarantee.

Scientific Data Images for Cystatin C Antibody (S02-9F2)

Western Blot: Cystatin C Antibody (S02-9F2) [NBP3-20036]

Western Blot: Cystatin C Antibody (S02-9F2) [NBP3-20036]

Western Blot: Cystatin C Antibody (S02-9F2) [NBP3-20036] - Western blot detection of Cystatin C in K562, 3T3 cell lysates using NBP3-20036 (1:1000 diluted). Predicted band size: 16kDa. Observed band size: 13kDa.
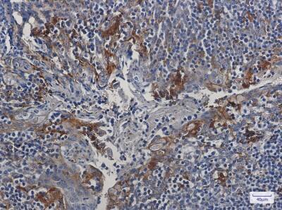
Immunohistochemistry-Paraffin: Cystatin C Antibody (S02-9F2) [NBP3-20036]

Immunohistochemistry-Paraffin: Cystatin C Antibody (S02-9F2) [NBP3-20036]

Immunohistochemistry-Paraffin: Cystatin C Antibody (S02-9F2) [NBP3-20036] - Immunohistochemistry of Cystatin C in paraffin-embedded Human tonsil using NBP3-20036 at dilution 1/50

Applications for Cystatin C Antibody (S02-9F2)

Application
Recommended Usage

Immunohistochemistry

1/50-1/200

Western Blot

1/2000-1/10000

Formulation, Preparation, and Storage

Purification

Affinity purified

Formulation

50mM Tris-Glycine(pH 7.4), 0.15M NaCl, 40% Glycerol, 0.05% BSA

Preservative

0.01% Sodium Azide

Concentration

0.3 mg/ml

Shipping

The product is shipped with polar packs. Upon receipt, store it immediately at the temperature recommended below.

Stability & Storage

Store at 4C short term. Aliquot and store at -20C long term. Avoid freeze-thaw cycles.

Background: Cystatin C

Cystatin C is a secreted cysteine protease inhibitor that inhibits Cathepsins B, H, K, L, and S. Cystatin C serum concentration correlates closely to the glomerular filtration rate (GFR); elevated levels are associated with coronary artery and cardiovascular disease risk. Dysregulation of Cystatin C can modulate tumor growth and metastasis. In humans, the L68Q variant forms dimers and oligomers more easily than wild type protein and is the cause for hereditary Cystatin C amyloid angiopathy.

Alternate Names

ARMD11, CST3, Gamma-trace, Neuroendocrine basic polypeptide, Post-gamma-globulin

Gene Symbol

CST3

Additional Cystatin C Products

Product Documents for Cystatin C Antibody (S02-9F2)

Certificate of Analysis

To download a Certificate of Analysis, please enter a lot number in the search box below.

Product Specific Notices for Cystatin C Antibody (S02-9F2)

This product is for research use only and is not approved for use in humans or in clinical diagnosis. Primary Antibodies are guaranteed for 1 year from date of receipt.

Loading...
Loading...
Loading...
Loading...