Skip to main content

Cystathionase Antibody (OTI1E12)

Novus Biologicals, part of Bio-Techne | Catalog # NBP2-03638

Catalog #
Availability
Size / Price
Qty
Loading...
NBP2-03638
Conjugate
Catalog #

Key Product Details

Species Reactivity

Human, Mouse, Canine, Monkey, Primate

Applications

Immunohistochemistry, Immunohistochemistry-Paraffin, Western Blot

Label

Unconjugated

Antibody Source

Monoclonal Mouse IgG2B Clone # OTI1E12

Concentration

Please see the vial label for concentration. If unlisted please contact technical services.

Product Specifications

Immunogen

Full length human recombinant protein of human CTH (NP_001893) produced in HEK293T cell.

Reactivity Notes

Please note that this antibody is reactive to Mouse and derived from the same host, Mouse. Mouse-On-Mouse blocking reagent may be needed for IHC and ICC experiments to reduce high background signal. You can find these reagents under catalog numbers PK-2200-NB and MP-2400-NB. Please contact Technical Support if you have any questions.

Clonality

Monoclonal

Host

Mouse

Isotype

IgG2B

Theoretical MW

44.3 kDa.
Disclaimer note: The observed molecular weight of the protein may vary from the listed predicted molecular weight due to post translational modifications, post translation cleavages, relative charges, and other experimental factors.

Scientific Data Images for Cystathionase Antibody (OTI1E12)

Western Blot: Cystathionase Antibody (OTI1E12) [NBP2-03638]

Western Blot: Cystathionase Antibody (OTI1E12) [NBP2-03638]

Western Blot: Cystathionase Antibody (OTI1E12) [NBP2-03638] - Analysis of extracts (35ug) from 9 different cell lines by using anti-Cystathionase monoclonal antibody (HepG2: human; HeLa: human; SVT2: mouse; A549: human; COS7: monkey; Jurkat: human; MDCK: canine; PC12: rat; MCF7: human).
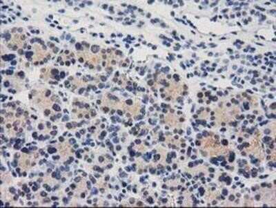
Immunohistochemistry-Paraffin: Cystathionase Antibody (OTI1E12) [NBP2-03638]

Immunohistochemistry-Paraffin: Cystathionase Antibody (OTI1E12) [NBP2-03638]

Immunohistochemistry-Paraffin: Cystathionase Antibody (OTI1E12) [NBP2-03638] - Staining of paraffin-embedded Human pancreas tissue using anti-Cystathionase mouse monoclonal antibody.
Western Blot: Cystathionase Antibody (OTI1E12) [NBP2-03638]

Western Blot: Cystathionase Antibody (OTI1E12) [NBP2-03638]

Western Blot: Cystathionase Antibody (OTI1E12) [NBP2-03638] - HEK293T cells were transfected with the pCMV6-ENTRY control (Left lane) or pCMV6-ENTRY Cystathionase (Right lane) cDNA for 48 hrs and lysed. Equivalent amounts of cell lysates (5 ug per lane) were separated by SDS-PAGE and immunoblotted with anti-Cystathionase.

Applications for Cystathionase Antibody (OTI1E12)

Application
Recommended Usage

Immunohistochemistry

1:150

Immunohistochemistry-Paraffin

1:150

Western Blot

1:500-2000

Formulation, Preparation, and Storage

Purification

Immunogen affinity purified

Formulation

PBS (pH 7.3), 1.0% BSA and 50% Glycerol

Preservative

0.02% Sodium Azide

Concentration

Please see the vial label for concentration. If unlisted please contact technical services.

Shipping

The product is shipped with polar packs. Upon receipt, store it immediately at the temperature recommended below.

Stability & Storage

Store at -20C. Avoid freeze-thaw cycles.

Background: Cystathionase

This gene encodes a cytoplasmic enzyme in the trans-sulfuration pathway that converts cystathione derived from methionine into cysteine. Glutathione synthesis in the liver is dependent upon the availability of cysteine. Mutations in this gene cause cystathioninuria. Alternative splicing of this gene results in three transcript variants encoding different isoforms. [provided by RefSeq].

Alternate Names

cystathionase (cystathionine gamma-lyase), cystathionine gamma-lyase, cysteine desulfhydrase, EC 4.4.1, EC 4.4.1.1, gamma-cystathionase, homoserine deaminase, homoserine dehydratase, MGC9471

Entrez Gene IDs

1491 (Human)

Gene Symbol

CTH

Additional Cystathionase Products

Product Documents for Cystathionase Antibody (OTI1E12)

Certificate of Analysis

To download a Certificate of Analysis, please enter a lot number in the search box below.

Product Specific Notices for Cystathionase Antibody (OTI1E12)

This product is for research use only and is not approved for use in humans or in clinical diagnosis. Primary Antibodies are guaranteed for 1 year from date of receipt.

Loading...
Loading...
Loading...
Loading...