Skip to main content

Cyr61/CCN1 Antibody (3A7.1B8) - BSA Free

Novus Biologicals, part of Bio-Techne | Catalog # NBP2-36490

Novus Biologicals, part of Bio-Techne
Catalog #
Availability
Size / Price
Qty
Loading...
NBP2-36490
NBP2-36490SS

Key Product Details

Species Reactivity

Validated:

Human

Predicted:

Primate (100%). Backed by our 100% Guarantee.

Applications

Immunohistochemistry, Immunohistochemistry-Paraffin, Western Blot

Label

Unconjugated

Antibody Source

Monoclonal Mouse IgG2b Kappa Clone # 3A7.1B8

Format

BSA Free

Concentration

1.0 mg/ml

Product Specifications

Immunogen

Partial recombinant protein from human Cyr61/CCN1 protein (between residues 100-300). [Swiss-Prot O00622]

Reactivity Notes

Immunogen's sequence similarity with other species: Rat (81%), Mouse (79%), Camel (88%), Naked Mole Rat (87%), Porcine (80%), Bovine / Sheep / Horse (82%), Chicken (63%)

Localization

Secreted (Cytoplasmic/Extracellular)

Clonality

Monoclonal

Host

Mouse

Isotype

IgG2b Kappa

Description

Novus Biologicals Mouse Cyr61/CCN1 Antibody (3A7.1B8) - BSA Free (NBP2-36490) is a monoclonal antibody validated for use in IHC and WB. All Novus Biologicals antibodies are covered by our 100% guarantee.

Scientific Data Images for Cyr61/CCN1 Antibody (3A7.1B8) - BSA Free

Western Blot: Cyr61/CCN1 Antibody (3A7.1B8)BSA Free [NBP2-36490]

Western Blot: Cyr61/CCN1 Antibody (3A7.1B8)BSA Free [NBP2-36490]

Western Blot: Cyr61/CCN1 Antibody (3A7.1B8) [NBP2-36490] - WB analysis of (A) 12kDa Partial Recombinant Cyr61/CCN1 protein and (B) Human Liver lysate using Cyr61/CCN1 antibody (clone 3A7.1B8) at 4ug/ml concentration.
Immunohistochemistry-Paraffin: Cyr61/CCN1 Antibody (3A7.1B8) - BSA Free [NBP2-36490]

Immunohistochemistry-Paraffin: Cyr61/CCN1 Antibody (3A7.1B8) - BSA Free [NBP2-36490]

Immunohistochemistry-Paraffin: Cyr61/CCN1 Antibody (3A7.1B8) [NBP2-36490] - IHC analysis of formalin-fixed paraffin-embedded tissue section of human liver using Cyr61/CCN1 antibody (clone 3A7.1B8) at 5 ug/ml concentration. The hepatocytes generated a specific cytoplasmic staining with no signal in the cellular nuclei or the sinusoids.
Immunohistochemistry-Paraffin: Cyr61/CCN1 Antibody (3A7.1B8) - BSA Free [NBP2-36490]

Immunohistochemistry-Paraffin: Cyr61/CCN1 Antibody (3A7.1B8) - BSA Free [NBP2-36490]

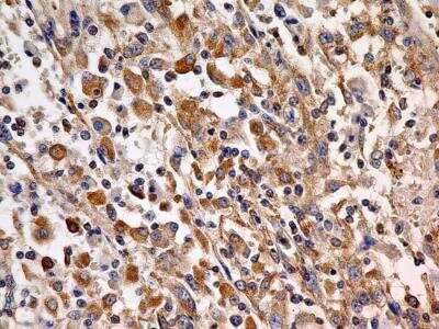
Immunohistochemistry-Paraffin: Cyr61/CCN1 Antibody (3A7.1B8) [NBP2-36490] - IHC analysis of formalin-fixed paraffin-embedded tissue section of human hepatocellular carcinoma using Cyr61/CCN1 antibody (clone 3A7.1B8) at 5 ug/ml concentration. The cancer cells generated a specific cytoplasmic staining with some staining in the inter-cellular spaces but no signal in the cellular nuclei, tumor stroma or the RBCs.

Applications for Cyr61/CCN1 Antibody (3A7.1B8) - BSA Free

Application
Recommended Usage

Immunohistochemistry

5 ug/ml

Immunohistochemistry-Paraffin

5 ug/ml

Western Blot

4 ug/ml
Application Notes
Protein CYR61 is a secreted protein and its expected immunolocalization would be cytoplasmic as well as the extracellular spaces.

Formulation, Preparation, and Storage

Purification

Protein G purified

Formulation

PBS

Format

BSA Free

Preservative

0.02% Sodium Azide

Concentration

1.0 mg/ml

Shipping

The product is shipped with polar packs. Upon receipt, store it immediately at the temperature recommended below.

Stability & Storage

Store at 4C short term. Aliquot and store at -20C long term. Avoid freeze-thaw cycles.

Background: Cyr61/CCN1

Cysteine-rich angiogenic inducer 61, also known as CYR61, is a growth factor-inducible, immediate-early gene that has multifaceted activities in various cancers. CYR61 is a secreted heparin-binding extracellular matrix-associated protein whose activities include the promotion of adhesion and chemotaxis, and the stimulation of fibroblast and endothelial cell growth. CYR61 induces angiogenesis and promotes tumor growth and is expressed in dermal fibroblasts during cutaneous wound healing.

Long Name

Cysteine-Rich, Angiogenic Inducer 61

Alternate Names

CCN1, GIG1, IGFBP-10

Entrez Gene IDs

3491 (Human); 16007 (Mouse); 83476 (Rat)

Gene Symbol

CCN1

UniProt

Additional Cyr61/CCN1 Products

Product Documents for Cyr61/CCN1 Antibody (3A7.1B8) - BSA Free

Certificate of Analysis

To download a Certificate of Analysis, please enter a lot number in the search box below.

Product Specific Notices for Cyr61/CCN1 Antibody (3A7.1B8) - BSA Free

This product is for research use only and is not approved for use in humans or in clinical diagnosis. Primary Antibodies are guaranteed for 1 year from date of receipt.

Loading...
Loading...
Loading...
Loading...