CYP27A1 Antibody (HL1819) - Azide and BSA Free
Novus Biologicals, part of Bio-Techne | Catalog # NBP3-25428
Recombinant Monoclonal Antibody
Key Product Details
Validated by
Orthogonal Validation
Species Reactivity
Human, Mouse, Rat
Applications
Immunohistochemistry, Immunohistochemistry-Paraffin, Western Blot
Label
Unconjugated
Antibody Source
Recombinant Monoclonal Rabbit IgG Clone # HL1819 expressed in HEK293
Format
Azide and BSA Free
Concentration
Concentrations vary lot to lot. See vial label for concentration. If unlisted please contact technical services.
Product Specifications
Immunogen
Recombinant fragment of human CYP27A1
Clonality
Monoclonal
Host
Rabbit
Isotype
IgG
Description
Novus Biologicals Rabbit CYP27A1 Antibody (HL1819) - Azide and BSA Free (NBP3-25428) is a recombinant monoclonal antibody validated for use in IHC and WB. All Novus Biologicals antibodies are covered by our 100% guarantee.
Scientific Data Images for CYP27A1 Antibody (HL1819) - Azide and BSA Free
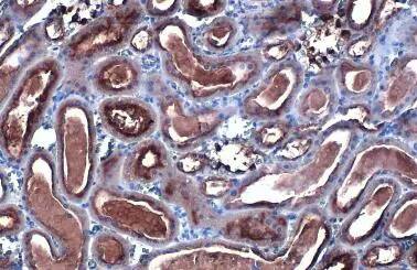
Immunohistochemistry-Paraffin: CYP27A1 Antibody (HL1819) - Azide and BSA Free [NBP3-25428] -
Immunohistochemistry-Paraffin: CYP27A1 Antibody (HL1819) - Azide and BSA Free [NBP3-25428] - CYP27A1 antibody [HL1819] detects CYP27A1 protein at cytoplasm by immunohistochemical analysis. Sample: Paraffin-embedded mouse kidney. CYP27A1 stained by CYP27A1 antibody [HL1819] (NBP3-25428) diluted at 1:100. Antigen Retrieval: Citrate buffer, pH 6.0, 15 minImmunohistochemistry-Paraffin: CYP27A1 Antibody (HL1819) - Azide and BSA Free [NBP3-25428] -
Immunohistochemistry-Paraffin: CYP27A1 Antibody (HL1819) - Azide and BSA Free [NBP3-25428] - CYP27A1 antibody [HL1819] detects CYP27A1 protein at cytoplasm by immunohistochemical analysis. Sample: Paraffin-embedded rat kidney. CYP27A1 stained by CYP27A1 antibody [HL1819] (NBP3-25428) diluted at 1:100. Antigen Retrieval: Citrate buffer, pH 6.0, 15 minWestern Blot: CYP27A1 Antibody (HL1819) - Azide and BSA Free [NBP3-25428] -
Western Blot: CYP27A1 Antibody (HL1819) - Azide and BSA Free [NBP3-25428] - Various whole cell extracts (30 ug) were separated by 7.5% SDS-PAGE, and the membrane was blotted with CYP27A1 antibody [HL1819] (NBP3-25428) diluted at 1:1000. The HRP-conjugated anti-rabbit IgG antibody was used to detect the primary antibody. Corresponding RNA expression data for the same cell lines are based on Human Protein Atlas program.Applications for CYP27A1 Antibody (HL1819) - Azide and BSA Free
Application
Recommended Usage
Western Blot
1:500-1:3000
Formulation, Preparation, and Storage
Purification
Protein A purified
Formulation
PBS
Format
Azide and BSA Free
Preservative
No Preservative
Concentration
Concentrations vary lot to lot. See vial label for concentration. If unlisted please contact technical services.
Shipping
The product is shipped with polar packs. Upon receipt, store it immediately at the temperature recommended below.
Stability & Storage
Store at 4C short term. Aliquot and store at -20C long term. Avoid freeze-thaw cycles.
Background: CYP27A1
Long Name
Sterol 26-hydroxylase, mitochondrial
Alternate Names
CYP27, Cytochrome P450 27, EC 1.14.15.15
Gene Symbol
CYP27A1
Additional CYP27A1 Products
Product Documents for CYP27A1 Antibody (HL1819) - Azide and BSA Free
Product Specific Notices for CYP27A1 Antibody (HL1819) - Azide and BSA Free
This product is for research use only and is not approved for use in humans or in clinical diagnosis. Primary Antibodies are guaranteed for 1 year from date of receipt.
Loading...
Loading...
Loading...
Loading...