Skip to main content

CYLN2 Antibody - BSA Free

Novus Biologicals, part of Bio-Techne | Catalog # NBP1-85569

Novus Biologicals, part of Bio-Techne
Catalog #
Availability
Size / Price
Qty
Loading...
NBP1-85569
NBP1-85569-25ul

Key Product Details

Validated by

Orthogonal Validation

Species Reactivity

Validated:

Human

Cited:

Human

Predicted:

Mouse (99%), Rat (97%). Backed by our 100% Guarantee.

Applications

Validated:

Immunohistochemistry, Immunohistochemistry-Paraffin, Western Blot

Cited:

IF/IHC

Label

Unconjugated

Antibody Source

Polyclonal Rabbit IgG

Format

BSA Free

Concentration

Concentrations vary lot to lot. See vial label for concentration. If unlisted please contact technical services.

Product Specifications

Immunogen

This antibody was developed against Recombinant Protein corresponding to amino acids: SSSISSVSSVASSVGGRPSRSGLLTETSSRYARKISGTTALQEALKEKQQHIEQLLAERDLERAEVAKATSHICEVEKEIALLKAQHEQYVAEAEEKLQRARLLVESVRKEKVDLSNQLEEERRKVEDLQFRVEEESITKGDLELTTVA

Reactivity Notes

Human reactivity reported in scientific literature (PMID: 25284583).

Clonality

Polyclonal

Host

Rabbit

Isotype

IgG

Description

Novus Biologicals Rabbit CYLN2 Antibody - BSA Free (NBP1-85569) is a polyclonal antibody validated for use in IHC and WB. Anti-CYLN2 Antibody: Cited in 1 publication. All Novus Biologicals antibodies are covered by our 100% guarantee.

Scientific Data Images for CYLN2 Antibody - BSA Free

Western Blot: CYLN2 Antibody [NBP1-85569]

Western Blot: CYLN2 Antibody [NBP1-85569]

Western Blot: CYLN2 Antibody [NBP1-85569] - Analysis in human cell lines SK-MEL-30 and HEK293. Corresponding RNA-seq data are presented for the same cell lines. Loading control: Anti-PFN1.
Immunohistochemistry-Paraffin: CYLN2 Antibody [NBP1-85569]

Immunohistochemistry-Paraffin: CYLN2 Antibody [NBP1-85569]

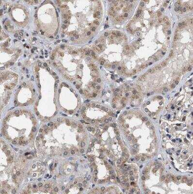
Immunohistochemistry-Paraffin: CYLN2 Antibody [NBP1-85569] - Staining in human cerebral cortex and kidney tissues using anti-CLIP2 antibody. Corresponding CLIP2 RNA-seq data are presented for the same tissues.
Immunohistochemistry-Paraffin: CYLN2 Antibody [NBP1-85569]

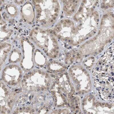
Immunohistochemistry-Paraffin: CYLN2 Antibody [NBP1-85569]

Immunohistochemistry-Paraffin: CYLN2 Antibody [NBP1-85569] - Staining of human kidney shows low expression as expected.

Applications for CYLN2 Antibody - BSA Free

Application
Recommended Usage

Immunohistochemistry

1:50 - 1:200

Immunohistochemistry-Paraffin

1:50 - 1:200

Western Blot

0.04-0.4 ug/ml
Application Notes
IHC reported in scientific literature (PMID: 25284583). For IHC-Paraffin, HIER pH 6 retrieval is recommended.

Formulation, Preparation, and Storage

Purification

Affinity purified

Formulation

PBS (pH 7.2) and 40% Glycerol

Format

BSA Free

Preservative

0.02% Sodium Azide

Concentration

Concentrations vary lot to lot. See vial label for concentration. If unlisted please contact technical services.

Shipping

The product is shipped with polar packs. Upon receipt, store it immediately at the temperature recommended below.

Stability & Storage

Store at 4C short term. Aliquot and store at -20C long term. Avoid freeze-thaw cycles.

Background: CYLN2

Alternate Names

CAP-GLY domain containing linker protein 2, CAP-Gly domain-containing linker protein 2, CLIP, CLIP-115Williams-Beuren syndrome chromosomal region 3 protein, CYLN2WBSCR3, cytoplasmic linker 2, Cytoplasmic linker protein 115, KIAA0291Williams-Beuren syndrome chromosomal region 4 protein, WBSCR4MGC11333, Williams-Beuren syndrome chromosome region 3, Williams-Beuren syndrome chromosome region 4, WSCR3, WSCR4Cytoplasmic linker protein 2

Gene Symbol

CLIP2

Additional CYLN2 Products

Product Documents for CYLN2 Antibody - BSA Free

Certificate of Analysis

To download a Certificate of Analysis, please enter a lot number in the search box below.

Product Specific Notices for CYLN2 Antibody - BSA Free

This product is for research use only and is not approved for use in humans or in clinical diagnosis. Primary Antibodies are guaranteed for 1 year from date of receipt.

Loading...
Loading...
Loading...
Loading...