Skip to main content

Cyclophilin-F Antibody (1F5) - BSA Free

Novus Biologicals, part of Bio-Techne | Catalog # NBP1-28608

Novus Biologicals, part of Bio-Techne

Key Product Details

Species Reactivity

Human

Applications

Immunohistochemistry, Immunohistochemistry-Paraffin, Western Blot, ELISA, Immunocytochemistry/ Immunofluorescence

Label

Unconjugated

Antibody Source

Monoclonal Mouse IgG2b Kappa Clone # 1F5

Format

BSA Free

Concentration

1.0 mg/ml

Product Specifications

Immunogen

Recombinant human Cyclophilin-F (30-207aa) purified from E. coli (NP_005720).

Clonality

Monoclonal

Host

Mouse

Isotype

IgG2b Kappa

Theoretical MW

22 kDa.
Disclaimer note: The observed molecular weight of the protein may vary from the listed predicted molecular weight due to post translational modifications, post translation cleavages, relative charges, and other experimental factors.

Scientific Data Images for Cyclophilin-F Antibody (1F5) - BSA Free

Western Blot: Cyclophilin-F Antibody (1F5)BSA Free [NBP1-28608]

Western Blot: Cyclophilin-F Antibody (1F5)BSA Free [NBP1-28608]

Western Blot: Cyclophilin-F Antibody (1F5) [NBP1-28608] - The cell lysates(40ug) were resolved by SDS-PAGE, transferred to PVDF membrane and probed with anti-human PPIF antibody at a dilution of (1:1000). Proteins were visualized using a goat anti-mouse secondary antibody conjugated to HRP and an ECL detection system.Lane 1.: 293T cell lysateLane 2.: HepG2 cell lysateLane 3.: MCF7 cell lysateLane 4.: PC3 cell lysate
Immunocytochemistry/ Immunofluorescence: Cyclophilin-F Antibody (1F5) - BSA Free [NBP1-28608]

Immunocytochemistry/ Immunofluorescence: Cyclophilin-F Antibody (1F5) - BSA Free [NBP1-28608]

Immunocytochemistry/Immunofluorescence: Cyclophilin-F Antibody (1F5) [NBP1-28608] - Analysis of PPIF in HeLa cells. The cell was stained at (1:100). The secondary antibody (green) was used Alexa Fluor 488. DAPI was stained the cell nucleus (blue).
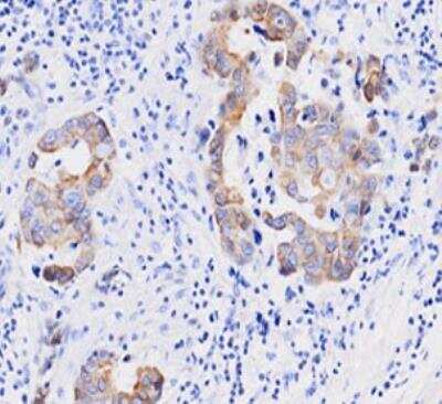
Immunohistochemistry-Paraffin: Cyclophilin-F Antibody (1F5) - BSA Free [NBP1-28608]

Immunohistochemistry-Paraffin: Cyclophilin-F Antibody (1F5) - BSA Free [NBP1-28608]

Immunohistochemistry-Paraffin: Cyclophilin-F Antibody (1F5) [NBP1-28608] - Paraffin embedded sections of human breast cancer tissue were incubated with anti-human PPIF (1:50) for 2 hours at room temperature. Antigen retrieval was performed in 0.1M sodium citrate buffer and detected using Diaminobenzidine (DAB).

Applications for Cyclophilin-F Antibody (1F5) - BSA Free

Application
Recommended Usage

ELISA

1:100-1:2000

Immunocytochemistry/ Immunofluorescence

1:100

Immunohistochemistry

1:50-1:100

Immunohistochemistry-Paraffin

1:50-1:100

Western Blot

1:500-1:1000

Formulation, Preparation, and Storage

Purification

Protein G purified

Formulation

PBS (pH 7.4), 10% Glycerol

Format

BSA Free

Preservative

0.02% Sodium Azide

Concentration

1.0 mg/ml

Shipping

The product is shipped with polar packs. Upon receipt, store it immediately at the temperature recommended below.

Stability & Storage

Store at 4C short term. Aliquot and store at -20C long term. Avoid freeze-thaw cycles.

Background: Cyclophilin-F

The protein encoded by this gene is a member of the peptidyl-prolyl cis-trans isomerase (PPIase) family. PPIases catalyze the cis-trans isomerization of proline imidic peptide bonds in oligopeptides and accelerate the folding of proteins. This protein is part of the mitochondrial permeability transition pore in the inner mitochondrial membrane. Activation of this pore is thought to be involved in the induction of apoptotic and necrotic cell death.

Alternate Names

Cyclophilin F, CYP3FLJ90798, Cyp-D, hCyP3, MGC117207, mitochondrial, peptidyl-prolyl cis-trans isomerase, mitochondrial, peptidylprolyl isomerase F, peptidylprolyl isomerase F (cyclophilin F)

Entrez Gene IDs

10105 (Human)

Gene Symbol

PPIF

UniProt

Additional Cyclophilin-F Products

Product Documents for Cyclophilin-F Antibody (1F5) - BSA Free

Certificate of Analysis

To download a Certificate of Analysis, please enter a lot number in the search box below.

Product Specific Notices for Cyclophilin-F Antibody (1F5) - BSA Free

This product is for research use only and is not approved for use in humans or in clinical diagnosis. Primary Antibodies are guaranteed for 1 year from date of receipt.

Loading...
Loading...
Loading...
Loading...