Skip to main content

Cyclin E2 Antibody (40-89-R)

Novus Biologicals, part of Bio-Techne | Catalog # NBP3-32237

Recombinant Monoclonal Antibody
Novus Biologicals, part of Bio-Techne
Catalog #
Availability
Size / Price
Qty
Loading...
NBP3-32237

Key Product Details

Species Reactivity

Human

Applications

Immunohistochemistry, Immunohistochemistry-Paraffin, Western Blot, Immunocytochemistry/ Immunofluorescence

Label

Unconjugated

Antibody Source

Recombinant Monoclonal Mouse IgG Clone # 40-89-R expressed in HEK293

Concentration

1 mg/ml

Product Specifications

Immunogen

Synthetic peptide within Human Cyclin E2 aa 1-50 / 404. (Uniprot: O96020)

Localization

Nucleus.

Clonality

Monoclonal

Host

Mouse

Isotype

IgG

Theoretical MW

47 kDa.
Disclaimer note: The observed molecular weight of the protein may vary from the listed predicted molecular weight due to post translational modifications, post translation cleavages, relative charges, and other experimental factors.

Description

Novus Biologicals Mouse Cyclin E2 Antibody (40-89-R) (NBP3-32237) is a recombinant monoclonal antibody validated for use in IHC, WB and ICC/IF. All Novus Biologicals antibodies are covered by our 100% guarantee.

Scientific Data Images for Cyclin E2 Antibody (40-89-R)

Cyclin E2 Antibody (40-89-R)

Western Blot: Cyclin E2 Antibody (40-89-R) [NBP3-32237]

Western Blot: Cyclin E2 Antibody (40-89-R) [NBP3-32237] - Western blot analysis of Cyclin E2 on different lysates with Mouse anti-Cyclin E2 antibody (NBP3-32237) at 1/1,000 dilution.

Lane 1: HeLa cell lysate
Lane 2: Jurkat cell lysate
Lane 3: K-562 cell lysate
Lane 4: A549 cell lysate
Lane 5: MCF7 cell lysate
Lane 6: HEK-293 cell lysate
Lane 7: HepG2 cell lysate

Lysates/proteins at 20 ug/Lane.

Predicted band size: 47 kDa
Observed band size: 51/47 kDa

Exposure time: 2 minutes;

4-20% SDS-PAGE gel.

Proteins were transferred to a PVDF membrane and blocked with 5% NFDM/TBST for 1 hour at room temperature. The primary antibody (NBP3-32237) at 1/1,000 dilution was used in 5% NFDM/TBST at room temperature for 2 hours. Goat Anti-Mouse IgG - HRP Secondary Antibody at 1:150,000 dilution was used for 1 hour at room temperature.
Cyclin E2 Antibody (40-89-R)

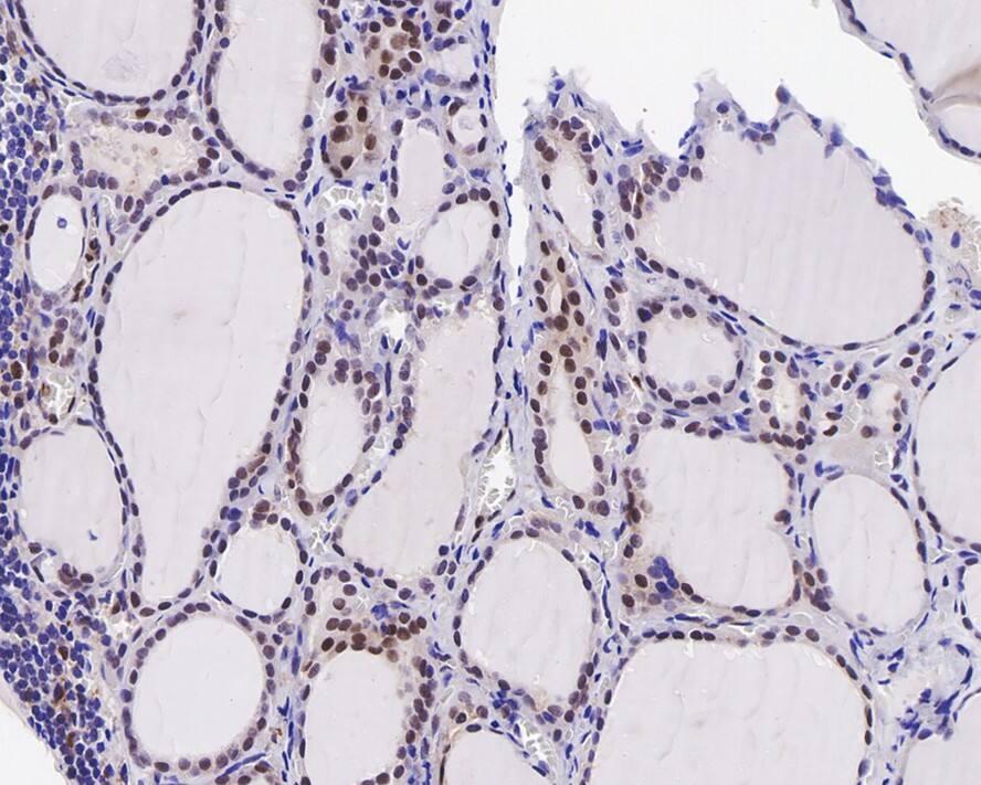
Immunohistochemistry: Cyclin E2 Antibody (40-89-R) [NBP3-32237]

Immunohistochemistry: Cyclin E2 Antibody (40-89-R) [NBP3-32237] - Immunohistochemical analysis of paraffin-embedded human thyroid tissue with Mouse anti-Cyclin E2 antibody (NBP3-32237) at 1/1,000 dilution.

The section was pre-treated using heat mediated antigen retrieval with sodium citrate buffer (pH 6.0) for 2 minutes. The tissues were blocked in 1% BSA for 20 minutes at room temperature, washed with ddH2O and PBS, and then probed with the primary antibody (NBP3-32237) at 1/1,000 dilution for 1 hour at room temperature. The detection was performed using an HRP conjugated compact polymer system. DAB was used as the chromogen. Tissues were counterstained with hematoxylin and mounted with DPX.
Cyclin E2 Antibody (40-89-R)

Immunocytochemistry/ Immunofluorescence: Cyclin E2 Antibody (40-89-R) [NBP3-32237]

Immunocytochemistry/ Immunofluorescence: Cyclin E2 Antibody (40-89-R) [NBP3-32237] - Immunocytochemistry analysis of HeLa cells labeling Cyclin E2 with Mouse anti-Cyclin E2 antibody (NBP3-32237) at 1/100 dilution.

Cells were fixed in 4% paraformaldehyde for 30 minutes, permeabilized with 0.05% Triton X-100 in PBS for 20 minutes, and then blocked with 2% negative goat serum for 30 minutes at room temperature. Cells were then incubated with Mouse anti-Cyclin E2 antibody (NBP3-32237) at 1/100 dilution in 2% negative goat serum overnight at 4 ℃. Goat Anti-Mouse IgG H&L (iFluor™ 488) was used as the secondary antibody at 1/1,000 dilution. Nuclear DNA was labelled in blue with DAPI.

beta Tubulin (red) was stained at 1/100 dilution overnight at +4℃. Goat Anti-Rabbit IgG H&L (iFluor™ 594) were used as the secondary antibody at 1/1,000 dilution.

Applications for Cyclin E2 Antibody (40-89-R)

Application
Recommended Usage

Immunocytochemistry/ Immunofluorescence

1:100

Immunohistochemistry-Paraffin

1:200-1:1000

Western Blot

1:1000

Formulation, Preparation, and Storage

Purification

Protein A purified

Formulation

PBS (pH7.4), 0.1% BSA and 40% Glycerol

Preservative

0.05% Sodium Azide

Concentration

1 mg/ml

Shipping

The product is shipped with polar packs. Upon receipt, store it immediately at the temperature recommended below.

Stability & Storage

Store at 4C short term. Aliquot and store at -20C long term. Avoid freeze-thaw cycles.

Background: Cyclin E2

Cyclin E2 (CCNE2) is an approximately 45-50 kDa protein that associates with the kinase Cdk2. This complex phosphorylates multiple substrates involved in regulation of cell cycle progression and the initiation of DNA replication. Cyclin E2 is required for G1/S phase progression and cell cycle reentry from G0 phase. Cyclin E2 most highly expressed in testis, thymus, and brain and is frequently upregulated in cancer. Cyclin E2 contains two cyclin box folds (aa 141-231 and aa 241-361). An alternate splice form lacks 45 amino acids within the first cyclin box fold.

Alternate Names

CCNE2, CYCE2

Gene Symbol

CCNE2

Additional Cyclin E2 Products

Product Documents for Cyclin E2 Antibody (40-89-R)

Certificate of Analysis

To download a Certificate of Analysis, please enter a lot number in the search box below.

Product Specific Notices for Cyclin E2 Antibody (40-89-R)

This product is for research use only and is not approved for use in humans or in clinical diagnosis. Primary Antibodies are guaranteed for 1 year from date of receipt.

Loading...
Loading...
Loading...
Loading...