Skip to main content

Cyclin D1 Antibody (CCND1/3370R) - Azide and BSA Free

Novus Biologicals, part of Bio-Techne | Catalog # NBP3-08955

Recombinant Monoclonal Antibody
Catalog #
Availability
Size / Price
Qty
Loading...
NBP3-08955
Conjugate
Catalog #

Key Product Details

Species Reactivity

Human

Applications

Immunohistochemistry-Paraffin

Label

Unconjugated

Antibody Source

Recombinant Monoclonal Rabbit IgG Clone # CCND1/3370R

Format

Azide and BSA Free

Concentration

1 mg/ml

Product Specifications

Immunogen

A synthetic peptide corresponding to residues within aa 270-295 of Cyclin D1 (Uniprot: P24385 )

Localization

Nuclear

Specificity

Recognizes a protein of 36kDa, identified as cyclin D1. Cyclin D1, one of the key cell cycle regulators, is a putative proto-oncogene overexpressed in a wide variety of human neoplasms. This antibody neutralizes the activity of cyclin D1 in vivo. About 60% of mantle cell lymphomas (MCL) contain a t(11; 14)(q13; q32) translocation resulting in over-expression of cyclin D1. This antibody is useful in identifying mantle cell lymphomas (cyclin D1 positive) from CLL/SLL and follicular lymphomas (cyclin D1 negative). Occasionally, hairy cell leukemia and plasma cell myeloma weakly express Cyclin D1.

Marker

G1-Cyclin & Mantle Cell Lymphoma Marker

Clonality

Monoclonal

Host

Rabbit

Isotype

IgG

Theoretical MW

36 kDa.
Disclaimer note: The observed molecular weight of the protein may vary from the listed predicted molecular weight due to post translational modifications, post translation cleavages, relative charges, and other experimental factors.

Description

1.0 mg/ml of antibody purified from Bioreactor Concentrate by Protein A/G. Prepared in 10mM PBS WITHOUT BSA & azide. Also available at 200 ug/ml WITH BSA & azide (NBP3-07209).

Antibody with azide - store at 2 to 8C. Antibody without azide - store at -20 to -80 C.

Scientific Data Images for Cyclin D1 Antibody (CCND1/3370R) - Azide and BSA Free

Immunohistochemistry-Paraffin: Cyclin D1 Antibody (CCND1/3370R) - Azide and BSA Free [NBP3-08955]

Immunohistochemistry-Paraffin: Cyclin D1 Antibody (CCND1/3370R) - Azide and BSA Free [NBP3-08955]

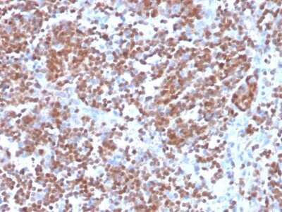
Immunohistochemistry-Paraffin: Cyclin D1 Antibody (CCND1/3370R) - Azide and BSA Free [NBP3-08955] - Formalin-fixed, paraffin-embedded human mantle cell lymphoma stained Cyclin D1 Recombinant Rabbit Monoclonal Antibody (CCND1/3370R).
Immunohistochemistry-Paraffin: Cyclin D1 Antibody (CCND1/3370R) - Azide and BSA Free [NBP3-08955]

Immunohistochemistry-Paraffin: Cyclin D1 Antibody (CCND1/3370R) - Azide and BSA Free [NBP3-08955]

Immunohistochemistry-Paraffin: Cyclin D1 Antibody (CCND1/3370R) - Azide and BSA Free [NBP3-08955] - Formalin-fixed, paraffin-embedded human mantle cell lymphoma stained Cyclin D1 Recombinant Rabbit Monoclonal Antibody (CCND1/3370R).
Cyclin D1 Antibody (CCND1/3370R) - Azide and BSA Free Western Blot: Cyclin D1 Antibody (CCND1/3370R) - Azide and BSA Free [NBP3-08955] -

Western Blot: Cyclin D1 Antibody (CCND1/3370R) - Azide and BSA Free [NBP3-08955] -

Western Blot Analysis of RAW 264.7 lysate using Cyclin D1 Antibody (CCND1/3370R) - Azide and BSA Free.

Applications for Cyclin D1 Antibody (CCND1/3370R) - Azide and BSA Free

Application
Recommended Usage

Immunohistochemistry-Paraffin

1-2 ug/ml
Application Notes
Immunohistochemistry Formalin-fixed: 1-2ug/ml for 30 minutes at RT. Staining of formalin-fixed tissues requires heating tissue sections in 10mM Tris with 1mM EDTA, pH 9.0, for 45 min at 95C followed by cooling at RT for 20 minutes. Optimal dilution for a specific application should be determined.

Formulation, Preparation, and Storage

Purification

Protein A or G purified

Formulation

10 mM PBS

Format

Azide and BSA Free

Preservative

No Preservative

Concentration

1 mg/ml

Shipping

The product is shipped with polar packs. Upon receipt, store it immediately at the temperature recommended below.

Stability & Storage

Store at -20 to -80C. Avoid freeze-thaw cycles.

Background: Cyclin D1

During the cell cycle of most somatic cells, DNA synthesis (S-phase) and mitosis (M-phase) are separated by two gap phases (G1 and G2) of varying duration. Thus, a typical eukaryotic cell sequentially passes through G1, S, G2, and M and back into G1 during a single cycle.12 Regulation of cell cycle progression in eukaryotic cells depends on the expression of cyclin proteins.13 These proteins are the regulatory subunits of the cyclin dependent kinases (CDKs), which are responsible for the phosphorylation of several cellular targets. Complexes of cyclins and CDKs play a key role in cell cycle control. Within the complexes, the cyclin subunit serves a regulatory role, whereas CDKs have a catalytic protein kinase activity.14 Members of the cyclin family of proteins combine with a CDK subunit to form the active kinase, which initiates G2 to M and G1 to S transition. The latter are controlled by cyclins termed G1 cyclins, which commit the cell to DNA replication. Therefore, the cell cycle can be considered as a cyclin cycle which is controlled by biochemical modifications and formation of complex(es) with CDKs.15 At least five candidate G1-phase cyclins, termed cyclins C, D1 , D2 , D3 , and E have been identified in mammalian cells. Each of these cyclins can associate with one or more of the CDK family members. D-type cyclins are induced during the G1 phase of the mammalian cell cycle in response to a variety of mitogenic growth factors. The three distinct members of the D-type cyclin family are differentially and combinatorially xpressed in various cell lineages. Once induced, the D-type cyclins accumulate in complexes with CDKs, whose kinase activity is thought to be necessary for driving cells into S phase. The major catalytic partners of the D-type cyclins are CDK4 and CDK6, but at least some D-type cyclins also interat with other CDKs, including CDK2 and CDK5. Cyclin D1- and D2-associated CDK4 and/or CDK6 kinase activities have been detected in mid-G1, prior to the activation of any other known CDK, and they culminate in late G1 phase. The cyclin D3-associated CDK4 and/or CDK6 exhibit kinase activities at the G1/S transition. Cyclins D1 , D2 and D3 can be distinguished by their slightly different mobilities on denaturing gels. Under these conditions, the apparent masses are 36, 33-35 and 31-34 kD for cyclins D1 , D2 and D3 , respectively. Because D-type cyclins probably serve as integrators of growth factor-induced signals with the cell cycle clock, aberrant expression of these proteins might play a role in disrupting the normal timing of events governing G1 progression and, in so doing, contribute to oncogenesis. Indeed, a link between tumor formation and inappropriate expression of cyclins has been established.16,17 Overexpression of this protein as a result of chromosomal rearrangement, occurs in parathyroid tumors and centrocytic lymphomas, and amplification of the cyclin D1 gene has been observed in a significant percentage of other cancers, including breast, squamous, and esophageal arcinomas. Immunochemical techniques provide a convenient and sensitive method for detection of these cyclins in human tumor tissues. Such assays facilitate studies directed toward correlating the phenotypic subtypes and aggressiveness of particular human tumors known to exhibit cyclin D1 overexpression and enable studies with other types in which cyclins D2 and D3 are similarly implicated in pathogenesis. The availability of monoclonal antibody reacting specifically with cyclin D1 enables the subcellular detection and localization of cyclin D1 and the measurement of relative differences in cyclin D1 levels as a function of cell cycle phase.

Alternate Names

Bcl-1, CCND1, Cyl-1, PRAD1

Gene Symbol

CCND1

Additional Cyclin D1 Products

Product Documents for Cyclin D1 Antibody (CCND1/3370R) - Azide and BSA Free

Certificate of Analysis

To download a Certificate of Analysis, please enter a lot number in the search box below.

Product Specific Notices for Cyclin D1 Antibody (CCND1/3370R) - Azide and BSA Free

This product is for research use only and is not approved for use in humans or in clinical diagnosis. Primary Antibodies are guaranteed for 1 year from date of receipt.

Loading...
Loading...
Loading...
Loading...