Skip to main content

CYBB/NOX2 Antibody (2Y8W3)

Novus Biologicals, part of Bio-Techne | Catalog # NBP3-15866

Recombinant Monoclonal Antibody
Novus Biologicals, part of Bio-Techne
Catalog #
Availability
Size / Price
Qty
Loading...
NBP3-15866-100ul
NBP3-15866-20ul

Key Product Details

Species Reactivity

Human, Mouse, Rat

Applications

ELISA, Simple Western, Western Blot

Label

Unconjugated

Antibody Source

Recombinant Monoclonal Rabbit IgG Clone # 2Y8W3 expressed in HEK293

Concentration

Please see the vial label for concentration. If unlisted please contact technical services.

Product Specifications

Immunogen

A synthetic peptide corresponding to a sequence within amino acids 100-200 of human CYBB/NOX2 (P04839). FHKMVAWMIALHSAIHTIAHLFNVEWCVNARVNNSDPYSVALSELGDRQNESYLNFARKRIKNPEGGLYLAVTLLAGITGVVITLCLILIITSSTKTIRRS

Clonality

Monoclonal

Host

Rabbit

Isotype

IgG

Theoretical MW

65 kDa.
Disclaimer note: The observed molecular weight of the protein may vary from the listed predicted molecular weight due to post translational modifications, post translation cleavages, relative charges, and other experimental factors.

Description

Novus Biologicals Rabbit CYBB/NOX2 Antibody (2Y8W3) (NBP3-15866) is a recombinant monoclonal antibody validated for use in WB, ELISA and Simple Western. All Novus Biologicals antibodies are covered by our 100% guarantee.

Scientific Data Images for CYBB/NOX2 Antibody (2Y8W3)

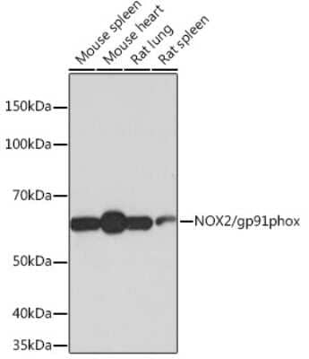
Western Blot: CYBB/NOX2 Antibody (2Y8W3) [NBP3-15866]

Western Blot: CYBB/NOX2 Antibody (2Y8W3) [NBP3-15866]

Western Blot: CYBB/NOX2 Antibody (2Y8W3) [NBP3-15866] - Western blot analysis of extracts of various cell lines, using CYBB/NOX2 antibody (NBP3-15866) at 1:1000 dilution. Secondary antibody: HRP Goat Anti-Rabbit IgG (H+L) at 1:10000 dilution. Lysates/proteins: 25ug per lane. Blocking buffer: 3% nonfat dry milk in TBST. Detection: ECL Basic Kit. Exposure time: 1min.
Western Blot: CYBB/NOX2 Antibody (2Y8W3) [NBP3-15866]

Western Blot: CYBB/NOX2 Antibody (2Y8W3) [NBP3-15866]

Western Blot: CYBB/NOX2 Antibody (2Y8W3) [NBP3-15866] - Western blot analysis of extracts of various cell lines, using CYBB/NOX2 antibody (NBP3-15866) at 1:1000 dilution. Secondary antibody: HRP Goat Anti-Rabbit IgG (H+L) at 1:10000 dilution. Lysates/proteins: 25ug per lane. Blocking buffer: 3% nonfat dry milk in TBST. Detection: ECL Basic Kit. Exposure time: 3min.

Applications for CYBB/NOX2 Antibody (2Y8W3)

Application
Recommended Usage

ELISA

Recommended starting concentration is 1 μg/mL.

Western Blot

1:1000 - 1:2000

Formulation, Preparation, and Storage

Purification

Affinity purified

Formulation

PBS (pH 7.3), 50% glycerol, 0.05% BSA

Preservative

0.02% Sodium Azide

Concentration

Please see the vial label for concentration. If unlisted please contact technical services.

Shipping

The product is shipped with polar packs. Upon receipt, store it immediately at the temperature recommended below.

Stability & Storage

Store at -20C. Avoid freeze-thaw cycles.

Background: CYBB/NOX2

Long Name

Cytochrome b-245 heavy chain

Alternate Names

CGD91-phox, CYBB, EC 1.-.-.-, gp91-1, gp91-phox, NADPH oxidase 2, NOX2

Gene Symbol

CYBB

Additional CYBB/NOX2 Products

Product Documents for CYBB/NOX2 Antibody (2Y8W3)

Certificate of Analysis

To download a Certificate of Analysis, please enter a lot number in the search box below.

Product Specific Notices for CYBB/NOX2 Antibody (2Y8W3)

This product is for research use only and is not approved for use in humans or in clinical diagnosis. Primary Antibodies are guaranteed for 1 year from date of receipt.

Loading...
Loading...
Loading...
Loading...