Skip to main content

CYB5R3 Antibody (8H0) - BSA Free

Novus Biologicals, part of Bio-Techne | Catalog # NBP3-42953

Novus Biologicals, part of Bio-Techne
Catalog #
Availability
Size / Price
Qty
Loading...
NBP3-42953

Key Product Details

Species Reactivity

Human

Applications

ELISA, Immunocytochemistry/ Immunofluorescence, Immunohistochemistry, Western Blot

Label

Unconjugated

Antibody Source

Monoclonal Mouse IgG2A Clone # 8H0

Format

BSA Free

Concentration

Please see the vial label for concentration. If unlisted please contact technical services.

Product Specifications

Immunogen

cytochrome b5 reductase 3 - (Uniprot# P00387)

Clonality

Monoclonal

Host

Mouse

Isotype

IgG2A

Theoretical MW

35 kDa.
Disclaimer note: The observed molecular weight of the protein may vary from the listed predicted molecular weight due to post translational modifications, post translation cleavages, relative charges, and other experimental factors.

Description

Novus Biologicals Mouse CYB5R3 Antibody (8H0) - BSA Free (NBP3-42953) is a monoclonal antibody validated for use in IHC, WB, ELISA and ICC/IF. All Novus Biologicals antibodies are covered by our 100% guarantee.

Scientific Data Images for CYB5R3 Antibody (8H0) - BSA Free

CYB5R3 Antibody (8H0)

Western Blot: CYB5R3 Antibody (8H0) [NBP3-42953] -

Western Blot: CYB5R3 Antibody (8H0) [NBP3-42953] - HepG2 cells were subjected to SDS PAGE followed by western blot with (CYB5R3 antibody) at dilution of 1:1000
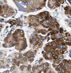
CYB5R3 Antibody (8H0)

Immunohistochemistry: CYB5R3 Antibody (8H0) [NBP3-42953] -

Immunohistochemistry: CYB5R3 Antibody (8H0) [NBP3-42953] - Immunohistochemistry of paraffin-embedded human liver using (CYB5R3 antibody) at dilution of 1:50

Applications for CYB5R3 Antibody (8H0) - BSA Free

Application
Recommended Usage

Immunocytochemistry/ Immunofluorescence

1:50 - 1:500

Immunohistochemistry

1:500 - 1:2000

Western Blot

1:1000 - 1:20000

Formulation, Preparation, and Storage

Purification

Protein A or G purified

Formulation

PBS (pH 7.3), 50% glycerol

Format

BSA Free

Preservative

0.02% Sodium Azide

Concentration

Please see the vial label for concentration. If unlisted please contact technical services.

Shipping

The product is shipped with polar packs. Upon receipt, store it immediately at the temperature recommended below.

Stability & Storage

Store at -20C. Avoid freeze-thaw cycles.

Background: CYB5R3

Alternate Names

B5RNADH-cytochrome b5 reductase 3, Cytochrome b5 reductase, cytochrome b5 reductase 3, DIA1NADH-cytochrome b5 reductase 3 membrane-bound form, diaphorase (NADH) (cytochrome b-5 reductase), diaphorase-1, EC 1.6.2.2, NADH-cytochrome b5 reductase 3 soluble form

Gene Symbol

CYB5R3

Additional CYB5R3 Products

Product Documents for CYB5R3 Antibody (8H0) - BSA Free

Certificate of Analysis

To download a Certificate of Analysis, please enter a lot number in the search box below.

Product Specific Notices for CYB5R3 Antibody (8H0) - BSA Free

This product is for research use only and is not approved for use in humans or in clinical diagnosis. Primary Antibodies are guaranteed for 1 year from date of receipt.

Loading...
Loading...
Loading...
Loading...