Skip to main content

CXCR5 Antibody (JB11-40)

Novus Biologicals, part of Bio-Techne | Catalog # NBP2-75460

Recombinant Monoclonal Antibody.
Novus Biologicals, part of Bio-Techne
Catalog #
Availability
Size / Price
Qty
Loading...
NBP2-75460

Key Product Details

Species Reactivity

Human, Mouse, Rat

Applications

Immunohistochemistry, Immunohistochemistry-Paraffin, Western Blot, Flow Cytometry

Label

Unconjugated

Antibody Source

Recombinant Monoclonal Rabbit IgG Clone # JB11-40 expressed in HEK293

Concentration

1 mg/ml

Product Specifications

Immunogen

Synthetic peptide within C-terminal human CXCR5. (SwissProt: P32302 Human; SwissProt: Q04683 Mouse; SwissProt: P34997 Rat)

Localization

Cell membrane.

Clonality

Monoclonal

Host

Rabbit

Isotype

IgG

Theoretical MW

42 kDa.
Disclaimer note: The observed molecular weight of the protein may vary from the listed predicted molecular weight due to post translational modifications, post translation cleavages, relative charges, and other experimental factors.

Description

Novus Biologicals Rabbit CXCR5 Antibody (JB11-40) (NBP2-75460) is a recombinant monoclonal antibody validated for use in IHC, WB and Flow. All Novus Biologicals antibodies are covered by our 100% guarantee.

Scientific Data Images for CXCR5 Antibody (JB11-40)

Western Blot: CXCR5 Antibody (JB11-40) [NBP2-75460]

Western Blot: CXCR5 Antibody (JB11-40) [NBP2-75460]

Western Blot: CXCR5 Antibody (JB11-40) [NBP2-75460] - Western blot analysis of CXCR5 on different lysates. Proteins were transferred to a PVDF membrane and blocked with 5% BSA in PBS for 1 hour at room temperature. The primary antibody (1/500) was used in 5% BSA at room temperature for 2 hours. Goat Anti-Rabbit IgG - HRP Secondary Antibody (HA1001) at 1:5,000 dilution was used for 1 hour at room temperature. Positive control: Lane 1: Daudi cell lysate Lane 2: Raji cell lysate
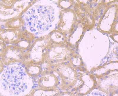
Immunohistochemistry-Paraffin: CXCR5 Antibody (JB11-40) [NBP2-75460]

Immunohistochemistry-Paraffin: CXCR5 Antibody (JB11-40) [NBP2-75460]

Immunohistochemistry-Paraffin: CXCR5 Antibody (JB11-40) [NBP2-75460] - Analysis of paraffin-embedded rat kidney tissue using anti-CXCR5 antibody. Counter stained with hematoxylin.
Flow Cytometry: CXCR5 Antibody (JB11-40) [NBP2-75460]

Flow Cytometry: CXCR5 Antibody (JB11-40) [NBP2-75460]

Flow Cytometry: CXCR5 Antibody (JB11-40) [NBP2-75460] - Analysis of Daudi cells with CXCR5 antibody at 1/100 dilution (red) compared with an unlabelled control (cells without incubation with primary antibody; black). Alexa Fluor 488-conjugated goat anti-rabbit IgG was used as the secondary antibody.

Applications for CXCR5 Antibody (JB11-40)

Application
Recommended Usage

Flow Cytometry

1:50-1:100

Immunohistochemistry-Paraffin

1:50-1:200

Western Blot

1:500-1:1000

Formulation, Preparation, and Storage

Purification

Protein A purified

Formulation

TBS (pH7.4), 0.05% BSA, 40% Glycerol

Preservative

0.05% Sodium Azide

Concentration

1 mg/ml

Shipping

The product is shipped with polar packs. Upon receipt, store it immediately at the temperature recommended below.

Stability & Storage

Store at 4C short term. Aliquot and store at -20C long term. Avoid freeze-thaw cycles.

Background: CXCR5

Chemokines play important roles in inflammation and critical for the recruitment of effector immune cells to sites of infection. Chemokines activate leukocytes by binding to G protein coupled receptors (1). The ever-growing chemokine receptor subtypes can be divided into 2 major groups, CXCR and CCR, based on the 2 major classes of chemokines. One of the CCR receptors, CCR1, is expressed on neutrophils, monocytes, lymphocytes, and eosinophils and binds the leukocyte chemoattractant and hemopoiesis regulator macrophage-inflammatory protein (MIP-1 ), eotaxin, as well as several other related chemokines (2-4). Mice lacking the chemokine receptor CCR1 have defects in neutrophil trafficking and proliferation (5,6).

Alternate Names

BLR1, CD185, CXCR5

Gene Symbol

CXCR5

Additional CXCR5 Products

Product Documents for CXCR5 Antibody (JB11-40)

Certificate of Analysis

To download a Certificate of Analysis, please enter a lot number in the search box below.

Product Specific Notices for CXCR5 Antibody (JB11-40)

This product is for research use only and is not approved for use in humans or in clinical diagnosis. Primary Antibodies are guaranteed for 1 year from date of receipt.

Loading...
Loading...
Loading...
Loading...
Loading...