CWF19L1 Antibody - BSA Free
Novus Biologicals, part of Bio-Techne | Catalog # NBP1-83794
Key Product Details
Species Reactivity
Human
Applications
Immunohistochemistry, Immunohistochemistry-Paraffin
Label
Unconjugated
Antibody Source
Polyclonal Rabbit IgG
Format
BSA Free
Concentration
Concentrations vary lot to lot. See vial label for concentration. If unlisted please contact technical services.
Product Specifications
Immunogen
This antibody was developed against Recombinant Protein corresponding to amino acids: KDVSSLRMMLCTTSQFKGVDILLTSPWPKCVGNFGNSSGEVDTKKCGSALVSSLATGLKPRYHFAALEKTYYERLPYRNHIILQENAQHATRF
Clonality
Polyclonal
Host
Rabbit
Isotype
IgG
Description
Novus Biologicals Rabbit CWF19L1 Antibody - BSA Free (NBP1-83794) is a polyclonal antibody validated for use in IHC. All Novus Biologicals antibodies are covered by our 100% guarantee.
Scientific Data Images for CWF19L1 Antibody - BSA Free
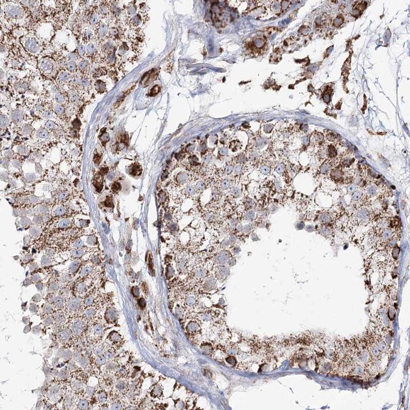
Immunohistochemistry-Paraffin: CWF19L1 Antibody - BSA Free [NBP1-83794]
Staining of human cerebral cortex shows strong cytoplasmic granular positivity in neuropil.Immunohistochemistry-Paraffin: CWF19L1 Antibody - BSA Free [NBP1-83794]
Staining of human duodenum shows weak to moderate cytoplasmic granular positivity in glandular cells.Immunohistochemistry-Paraffin: CWF19L1 Antibody - BSA Free [NBP1-83794]
Staining of human testis shows moderate cytoplasmic granular positivity in cells in seminiferous ducts and leydig cells.Applications for CWF19L1 Antibody - BSA Free
Application
Recommended Usage
Immunohistochemistry
1:50 - 1:200
Immunohistochemistry-Paraffin
1:50 - 1:200
Application Notes
For IHC-Paraffin, HIER pH 6 retrieval is recommended.
Formulation, Preparation, and Storage
Purification
Immunogen affinity purified
Formulation
PBS (pH 7.2) and 40% Glycerol
Format
BSA Free
Preservative
0.02% Sodium Azide
Concentration
Concentrations vary lot to lot. See vial label for concentration. If unlisted please contact technical services.
Shipping
The product is shipped with polar packs. Upon receipt, store it immediately at the temperature recommended below.
Stability & Storage
Store at 4C short term. Aliquot and store at -20C long term. Avoid freeze-thaw cycles.
Background: CWF19L1
Alternate Names
CWF19-like 1, cell cycle control (S. pombe), CWF19-like protein 1, FLJ10998
Gene Symbol
CWF19L1
Additional CWF19L1 Products
Product Documents for CWF19L1 Antibody - BSA Free
Product Specific Notices for CWF19L1 Antibody - BSA Free
This product is for research use only and is not approved for use in humans or in clinical diagnosis. Primary Antibodies are guaranteed for 1 year from date of receipt.
Loading...
Loading...
Loading...
Loading...