Skip to main content

CTU2 Antibody - BSA Free

Novus Biologicals, part of Bio-Techne | Catalog # NBP3-47809

Novus Biologicals, part of Bio-Techne
Catalog #
Availability
Size / Price
Qty
Loading...
NBP3-47809

Key Product Details

Species Reactivity

Human, Mouse

Applications

ELISA, Immunocytochemistry/ Immunofluorescence, Immunohistochemistry, Western Blot

Label

Unconjugated

Antibody Source

Polyclonal Rabbit IgG

Format

BSA Free

Concentration

Please see the vial label for concentration. If unlisted please contact technical services.

Product Specifications

Immunogen

Chromosome 16 open reading frame 84. (Uniprot# Q2VPK5)

Clonality

Polyclonal

Host

Rabbit

Isotype

IgG

Theoretical MW

66 kDa.
Disclaimer note: The observed molecular weight of the protein may vary from the listed predicted molecular weight due to post translational modifications, post translation cleavages, relative charges, and other experimental factors.

Description

Novus Biologicals Rabbit CTU2 Antibody - BSA Free (NBP3-47809) is a polyclonal antibody validated for use in IHC, WB, ELISA and ICC/IF. All Novus Biologicals antibodies are covered by our 100% guarantee.

Scientific Data Images for CTU2 Antibody - BSA Free

CTU2 Antibody - BSA Free

Western Blot: CTU2 Antibody - BSA Free [NBP3-47809] -

Western Blot: CTU2 Antibody - BSA Free [NBP3-47809] - HepG2 cells were subjected to SDS PAGE followed by western blot with (CTU2 Antibody) at dilution of 1:600
CTU2 Antibody - BSA Free

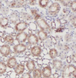
Immunohistochemistry: CTU2 Antibody - BSA Free [NBP3-47809] -

Immunohistochemistry: CTU2 Antibody - BSA Free [NBP3-47809] - Immunohistochemistry of paraffin-embedded human kidney tissue slide using (CTU2 Antibody) at dilution of 1:50

Applications for CTU2 Antibody - BSA Free

Application
Recommended Usage

Immunocytochemistry/ Immunofluorescence

1:20-1:200

Immunohistochemistry

1:20-1:200

Western Blot

1:500-1:1000

Formulation, Preparation, and Storage

Purification

Immunogen affinity purified

Formulation

PBS, 50% Glycerol, pH (7.3)

Format

BSA Free

Preservative

0.1% Sodium Azide

Concentration

Please see the vial label for concentration. If unlisted please contact technical services.

Shipping

The product is shipped with polar packs. Upon receipt, store it immediately at the temperature recommended below.

Stability & Storage

Store at -20C. Avoid freeze-thaw cycles.

Background: CTU2

Alternate Names

C16orf84, chromosome 16 open reading frame 84, cytoplasmic tRNA 2-thiolation protein 2, cytosolic thiouridylase subunit 2 homolog (S. pombe), MGC131681, MGC148063, NCS2MGC148064, UPF0432

Gene Symbol

CTU2

Additional CTU2 Products

Product Documents for CTU2 Antibody - BSA Free

Certificate of Analysis

To download a Certificate of Analysis, please enter a lot number in the search box below.

Product Specific Notices for CTU2 Antibody - BSA Free

This product is for research use only and is not approved for use in humans or in clinical diagnosis. Primary Antibodies are guaranteed for 1 year from date of receipt.

Loading...
Loading...
Loading...
Loading...