Skip to main content

CTU2 Antibody - BSA Free

Novus Biologicals, part of Bio-Techne | Catalog # NBP1-88457

Novus Biologicals, part of Bio-Techne
Catalog #
Availability
Size / Price
Qty
Loading...
NBP1-88457
NBP1-88457-25ul

Key Product Details

Species Reactivity

Human

Applications

Validated:

Immunohistochemistry, Immunohistochemistry-Paraffin, Immunocytochemistry/ Immunofluorescence, Simple Western

Cited:

Simple Western

Label

Unconjugated

Antibody Source

Polyclonal Rabbit IgG

Format

BSA Free

Concentration

Concentrations vary lot to lot. See vial label for concentration. If unlisted please contact technical services.

Product Specifications

Immunogen

This antibody was developed against Recombinant Protein corresponding to amino acids: LSPDSFCLGFSEGAACGQSLEERSKTLAEVKPILQATGFPWHVVALEEVFSLPPSVLWCSAQELVGSEGAYKAAVDSFLQQQH

Clonality

Polyclonal

Host

Rabbit

Isotype

IgG

Description

Novus Biologicals Rabbit CTU2 Antibody - BSA Free (NBP1-88457) is a polyclonal antibody validated for use in IHC, ICC/IF and Simple Western. Anti-CTU2 Antibody: Cited in 1 publication. All Novus Biologicals antibodies are covered by our 100% guarantee.

Scientific Data Images for CTU2 Antibody - BSA Free

CTU2 Antibody - BSA Free Immunohistochemistry-Paraffin: CTU2 Antibody - BSA Free [NBP1-88457]

Immunohistochemistry-Paraffin: CTU2 Antibody - BSA Free [NBP1-88457]

Staining of human cerebral cortex shows cytoplasmic positivity in neuronal cells.
CTU2 Antibody - BSA Free Immunocytochemistry/ Immunofluorescence: CTU2 Antibody - BSA Free [NBP1-88457]

Immunocytochemistry/ Immunofluorescence: CTU2 Antibody - BSA Free [NBP1-88457]

Staining of human cell line U-2 OS shows positivity in cytoplasm & mitochondria.
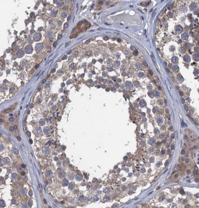
CTU2 Antibody - BSA Free

CTU2 Antibody - BSA Free-NBP1-88457

Staining of human testis shows moderate cytoplasmic positivity in cells in seminiferous ducts and leydig cells.

Applications for CTU2 Antibody - BSA Free

Application
Recommended Usage

Immunocytochemistry/ Immunofluorescence

0.25-2 ug/ml

Immunohistochemistry

1:50 - 1:200

Immunohistochemistry-Paraffin

1:50 - 1:200

Simple Western

1:10
Application Notes
For IHC-Paraffin, HIER pH 6 retrieval is recommended. ICC/IF Fixation Permeabilization: Use PFA/Triton X-100. See Simple Western Antibody Database for Simple Western validation: Tested in TP1, Bone marrow, separated by Size, antibody dilution of 1:10, apparent MW was 60 kDa

Formulation, Preparation, and Storage

Purification

Immunogen affinity purified

Formulation

PBS (pH 7.2) and 40% Glycerol

Format

BSA Free

Preservative

0.02% Sodium Azide

Concentration

Concentrations vary lot to lot. See vial label for concentration. If unlisted please contact technical services.

Shipping

The product is shipped with polar packs. Upon receipt, store it immediately at the temperature recommended below.

Stability & Storage

Store at 4C short term. Aliquot and store at -20C long term. Avoid freeze-thaw cycles.

Background: CTU2

Alternate Names

C16orf84, chromosome 16 open reading frame 84, cytoplasmic tRNA 2-thiolation protein 2, cytosolic thiouridylase subunit 2 homolog (S. pombe), MGC131681, MGC148063, NCS2MGC148064, UPF0432

Gene Symbol

CTU2

Additional CTU2 Products

Product Documents for CTU2 Antibody - BSA Free

Certificate of Analysis

To download a Certificate of Analysis, please enter a lot number in the search box below.

Product Specific Notices for CTU2 Antibody - BSA Free

This product is for research use only and is not approved for use in humans or in clinical diagnosis. Primary Antibodies are guaranteed for 1 year from date of receipt.

Loading...
Loading...
Loading...
Loading...