Skip to main content

CTRP7 Antibody - BSA Free

Novus Biologicals, part of Bio-Techne | Catalog # NBP1-76672

Novus Biologicals, part of Bio-Techne

Key Product Details

Species Reactivity

Human, Mouse, Rat

Applications

Western Blot, ELISA, Immunocytochemistry/ Immunofluorescence

Label

Unconjugated

Antibody Source

Polyclonal Rabbit IgG

Format

BSA Free

Concentration

1 mg/ml

Product Specifications

Immunogen

Antibody was raised against recombinant human CTRP7.

Specificity

These proteins are often highly modified post-translationally and migrate in SDS-PAGE at positions other than their predicted size.

Clonality

Polyclonal

Host

Rabbit

Isotype

IgG

Description

Novus Biologicals Rabbit CTRP7 Antibody - BSA Free (NBP1-76672) is a polyclonal antibody validated for use in WB, ELISA and ICC/IF. All Novus Biologicals antibodies are covered by our 100% guarantee.

Scientific Data Images for CTRP7 Antibody - BSA Free

Western Blot: CTRP7 AntibodyBSA Free [NBP1-76672]

Western Blot: CTRP7 AntibodyBSA Free [NBP1-76672]

Western Blot: CTRP7 Antibody [NBP1-76672] - Recombinant CTRP7: (A) 5 ng, (B) 25 ng, and (C) 50 ng with CTRP2 antibody at 1 ug/ml.
CTRP7 Antibody - BSA Free

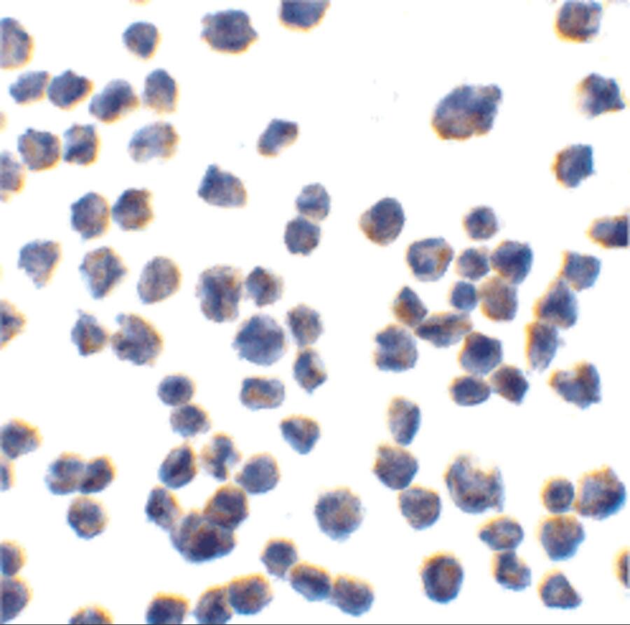
Immunocytochemistry/ Immunofluorescence: CTRP7 Antibody - BSA Free [NBP1-76672] -

Immunocytochemistry/ Immunofluorescence: CTRP7 Antibody - BSA Free [NBP1-76672] - Immunocytochemistry of CTRP7 in 293 cells with CTRP7 antibody at 10 ug/mL.

Applications for CTRP7 Antibody - BSA Free

Application
Recommended Usage

ELISA

1:100-1:2000

Immunocytochemistry/ Immunofluorescence

10 ug/ml

Western Blot

1 ug/ml

Formulation, Preparation, and Storage

Purification

Ion exchange chromatography

Formulation

PBS

Format

BSA Free

Preservative

0.02% Sodium Azide

Concentration

1 mg/ml

Shipping

The product is shipped with polar packs. Upon receipt, store it immediately at the temperature recommended below.

Stability & Storage

Store at 4C short term. Aliquot and store at -20C long term. Avoid freeze-thaw cycles.

Background: CTRP7/C1qTNF7

Adipose tissue of an organism plays a major role in regulating physiologic and pathologic processes such as metabolism and immunity by producing and secreting a variety of bioactive molecules termed adipokines. One highly conserved family of adipokines is adiponectin/ACRP30 and its structural and functional paralogs, the C1q/tumor necrosis factor-alpha-related proteins (CTRPs) 1-7. Unlike adiponectin, which is expressed exclusively by differentiated adipocytes, the CTRPs are expressed in a wide variety of tissues. These proteins are thought to act mainly on liver and muscle tissue to control glucose and lipid metabolism. An analysis of the crystal structure of adiponectin revealed a structural and evolutionary link between TNF and C1q-containing proteins, suggesting that these proteins arose from a common ancestral innate immunity gene. Like the other members of the adiponectin and CTRP protein family, the mature CTRP7 is secreted and can be found in the organism's circulatory system.

Long Name

C1q and Tumor Necrosis Factor Related Protein 7

Alternate Names

C1qTNF7, ZACRP7

Gene Symbol

C1QTNF7

Additional CTRP7/C1qTNF7 Products

Product Documents for CTRP7 Antibody - BSA Free

Certificate of Analysis

To download a Certificate of Analysis, please enter a lot number in the search box below.

Product Specific Notices for CTRP7 Antibody - BSA Free

This product is for research use only and is not approved for use in humans or in clinical diagnosis. Primary Antibodies are guaranteed for 1 year from date of receipt.

Loading...
Loading...
Loading...
Loading...