Skip to main content

Ctip1 Antibody - BSA Free

Novus Biologicals, part of Bio-Techne | Catalog # NBP3-17030

Novus Biologicals, part of Bio-Techne
Catalog #
Availability
Size / Price
Qty
Loading...
NBP3-17030-100ul
NBP3-17030-25ul

Key Product Details

Species Reactivity

Validated:

Human

Predicted:

Mouse (98%), Rat (98%). Backed by our 100% Guarantee.

Applications

Immunohistochemistry, Immunohistochemistry-Paraffin

Label

Unconjugated

Antibody Source

Polyclonal Rabbit IgG

Format

BSA Free

Concentration

Concentrations vary lot to lot. See vial label for concentration. If unlisted please contact technical services.

Product Specifications

Immunogen

This antibody was developed against Recombinant Protein corresponding to amino acids: HENSSRGAVVGVGDESRALPDVMQGMVLSSMQHFSEAFHQVLGEKHKRGHLAEAEGHRDTCDEDSVAGESDRIDDGTVNGRGC

Clonality

Polyclonal

Host

Rabbit

Isotype

IgG

Description

Novus Biologicals Rabbit Ctip1 Antibody - BSA Free (NBP3-17030) is a polyclonal antibody validated for use in IHC. All Novus Biologicals antibodies are covered by our 100% guarantee.

Scientific Data Images for Ctip1 Antibody - BSA Free

Immunocytochemistry/ Immunofluorescence: Ctip1 Antibody [NBP3-17030]

Immunocytochemistry/ Immunofluorescence: Ctip1 Antibody [NBP3-17030]

Immunocytochemistry/Immunofluorescence: Ctip1 Antibody [NBP3-17030] - Analysis in human tonsil and placenta tissues using Anti-BCL11A antibody. Corresponding BCL11A RNA-seq data are presented for the same tissues.
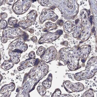
Immunohistochemistry-Paraffin: Ctip1 Antibody [NBP3-17030]

Immunohistochemistry-Paraffin: Ctip1 Antibody [NBP3-17030]

Immunohistochemistry-Paraffin: Ctip1 Antibody [NBP3-17030] - Staining of human placenta shows low expression as expected.
Immunohistochemistry-Paraffin: Ctip1 Antibody [NBP3-17030]

Immunohistochemistry-Paraffin: Ctip1 Antibody [NBP3-17030]

Immunohistochemistry-Paraffin: Ctip1 Antibody [NBP3-17030] - Staining of human cerebral cortex shows nuclear positivity in neuronal cells.

Applications for Ctip1 Antibody - BSA Free

Application
Recommended Usage

Immunohistochemistry

1:50 - 1:200

Immunohistochemistry-Paraffin

1:50 - 1:200
Application Notes
For IHC-Paraffin, HIER pH 6 retrieval is recommended.

Formulation, Preparation, and Storage

Purification

Affinity purified

Formulation

PBS, pH 7.2, 40% glycerol

Format

BSA Free

Preservative

0.02% Sodium Azide

Concentration

Concentrations vary lot to lot. See vial label for concentration. If unlisted please contact technical services.

Shipping

The product is shipped with polar packs. Upon receipt, store it immediately at the temperature recommended below.

Stability & Storage

Store at 4C short term. Aliquot and store at -20C long term. Avoid freeze-thaw cycles.

Background: Ctip1

The Ctip1 gene encodes a C2H2 type zinc-finger protein by its similarity to the mouse Bcl11a/Evi9 protein. The corresponding mouse gene is a common site of retroviral integration in myeloid leukemia, and may function as a leukemia disease gene, in part, throug

Alternate Names

B-cell CLL/lymphoma 11A, B-cell CLL/lymphoma 11A (zinc finger protein), B-cell CLL/lymphoma 11A (zinc finger protein) isoform 2, B-cell lymphoma/leukemia 11A, BCL-11A, BCL11A B-cell CLL/lymphoma 11A (zinc finger protein) isoform 1, BCL11A-S, BCL11A-XL, C2H2-type zinc finger protein, COUP-TF-interacting protein 1, CTIP1ecotropic viral integration site 9, ecotropic viral integration site 9 homolog, Ecotropic viral integration site 9 protein homolog, EVI-9, EVI9FLJ34997, HBFQTL5, KIAA1809BCL11A-L, Zinc finger protein 856, ZNF856FLJ10173

Gene Symbol

BCL11A

Additional Ctip1 Products

Product Documents for Ctip1 Antibody - BSA Free

Certificate of Analysis

To download a Certificate of Analysis, please enter a lot number in the search box below.

Product Specific Notices for Ctip1 Antibody - BSA Free

This product is for research use only and is not approved for use in humans or in clinical diagnosis. Primary Antibodies are guaranteed for 1 year from date of receipt.

Loading...
Loading...
Loading...
Loading...