Skip to main content

CT45A1 Antibody - BSA Free

Novus Biologicals, part of Bio-Techne | Catalog # NBP2-46702

Novus Biologicals, part of Bio-Techne
Catalog #
Availability
Size / Price
Qty
Loading...
NBP2-46702
NBP2-46702-25ul

Key Product Details

Validated by

Orthogonal Validation, Independent Antibodies

Species Reactivity

Human

Applications

Immunohistochemistry, Immunohistochemistry-Paraffin, Western Blot, Immunocytochemistry/ Immunofluorescence

Label

Unconjugated

Antibody Source

Polyclonal Rabbit IgG

Format

BSA Free

Concentration

Concentrations vary lot to lot. See vial label for concentration. If unlisted please contact technical services.

Product Specifications

Immunogen

This antibody was developed against Recombinant Protein corresponding to amino acids: TEKVAVDPETVFKRPRECDSPSYQKRQRMALLARKQGAGDSLIAGSAMSK

Clonality

Polyclonal

Host

Rabbit

Isotype

IgG

Description

Novus Biologicals Rabbit CT45A1 Antibody - BSA Free (NBP2-46702) is a polyclonal antibody validated for use in IHC, WB and ICC/IF. All Novus Biologicals antibodies are covered by our 100% guarantee.

Scientific Data Images for CT45A1 Antibody - BSA Free

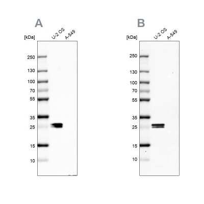
Western Blot: CT45A1 Antibody [NBP2-46702]

Western Blot: CT45A1 Antibody [NBP2-46702]

Western Blot: CT45A1 Antibody [NBP2-46702] - Analysis in human cell line U-2 OS and human cell line A-549.
Immunocytochemistry/ Immunofluorescence: CT45A1 Antibody [NBP2-46702]

Immunocytochemistry/ Immunofluorescence: CT45A1 Antibody [NBP2-46702]

Immunocytochemistry/Immunofluorescence: CT45A1 Antibody [NBP2-46702] - Staining of human cell line U-2 OS shows localization to nucleus and nucleoli. Antibody staining is shown in green.
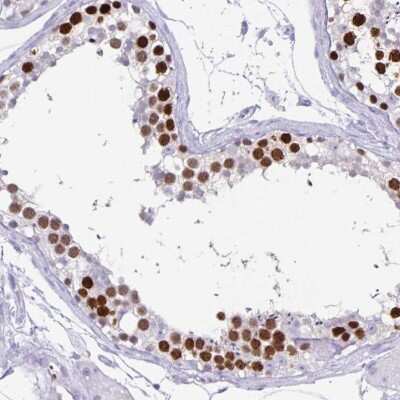
Immunohistochemistry-Paraffin: CT45A1 Antibody [NBP2-46702]

Immunohistochemistry-Paraffin: CT45A1 Antibody [NBP2-46702]

Immunohistochemistry-Paraffin: CT45A1 Antibody [NBP2-46702] - Staining in human testis and liver tissues . Corresponding CT45A1 RNA-seq data are presented for the same tissues.

Applications for CT45A1 Antibody - BSA Free

Application
Recommended Usage

Immunocytochemistry/ Immunofluorescence

0.25-2 ug/ml

Immunohistochemistry

1:2500 - 1:5000

Immunohistochemistry-Paraffin

1:1000 - 1:2500

Western Blot

0.04-0.4 ug/ml
Application Notes
For IHC-Paraffin, HIER pH 6 retrieval is recommended. Immunocytochemistry/Immunofluorescence Fixation Permeabilization: Use PFA/Triton X-100.

Formulation, Preparation, and Storage

Purification

Affinity purified

Formulation

PBS (pH 7.2) and 40% Glycerol

Format

BSA Free

Preservative

0.02% Sodium Azide

Concentration

Concentrations vary lot to lot. See vial label for concentration. If unlisted please contact technical services.

Shipping

The product is shipped with polar packs. Upon receipt, store it immediately at the temperature recommended below.

Stability & Storage

Store at 4C short term. Aliquot and store at -20C long term. Avoid freeze-thaw cycles.

Background: CT45A1

Alternate Names

Cancer/testis antigen 45-1, Cancer/testis antigen 45A1, cancer/testis antigen CT45-1, cancer/testis antigen family 45 member A1, cancer/testis antigen family 45, member A1, CT45, CT45.1, CT45-1XX-FW88277B6.1

Entrez Gene IDs

441520 (Human)

Gene Symbol

CT45A1

UniProt

Additional CT45A1 Products

Product Documents for CT45A1 Antibody - BSA Free

Certificate of Analysis

To download a Certificate of Analysis, please enter a lot number in the search box below.

Product Specific Notices for CT45A1 Antibody - BSA Free

This product is for research use only and is not approved for use in humans or in clinical diagnosis. Primary Antibodies are guaranteed for 1 year from date of receipt.

Loading...
Loading...
Loading...
Loading...