Skip to main content

CSTP1 Antibody - BSA Free

Novus Biologicals, part of Bio-Techne | Catalog # NBP1-88048

Novus Biologicals, part of Bio-Techne
Catalog #
Availability
Size / Price
Qty
Loading...
NBP1-88048
NBP1-88048-25ul

Key Product Details

Validated by

Orthogonal Validation

Species Reactivity

Human

Applications

Immunohistochemistry, Immunohistochemistry-Paraffin, Western Blot

Label

Unconjugated

Antibody Source

Polyclonal Rabbit IgG

Format

BSA Free

Concentration

Concentrations vary lot to lot. See vial label for concentration. If unlisted please contact technical services.

Product Specifications

Immunogen

This antibody was developed against Recombinant Protein corresponding to amino acids: MSDAEAGGVFHRARGRTLAAFPAEKESEWKGPFYFILGADPQFGLIKAWSTGDCDNGGDEWEQEIRLTEQAVQAINKLNPKPKFFVLCGDLIHAMP

Reactivity Notes

Immunogen displays the following percentage of sequence identity for non-tested species: Mouse (82%), Rat (83%)

Clonality

Polyclonal

Host

Rabbit

Isotype

IgG

Scientific Data Images for CSTP1 Antibody - BSA Free

CSTP1 Antibody - BSA Free Immunohistochemistry-Paraffin: CSTP1 Antibody - BSA Free [NBP1-88048]

Immunohistochemistry-Paraffin: CSTP1 Antibody - BSA Free [NBP1-88048]

Staining of human pancreas shows no positivity in exocrine glandular cells as expected.
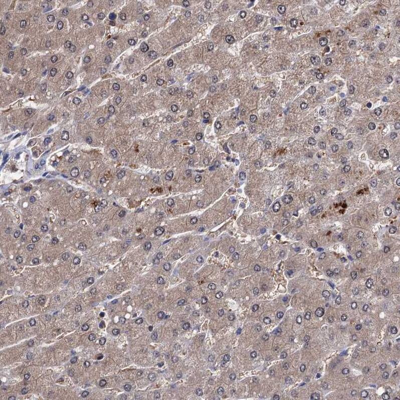
CSTP1 Antibody - BSA Free Immunohistochemistry-Paraffin: CSTP1 Antibody - BSA Free [NBP1-88048]

Immunohistochemistry-Paraffin: CSTP1 Antibody - BSA Free [NBP1-88048]

Staining of human liver shows weak cytoplasmic positivity in hepatocytes.
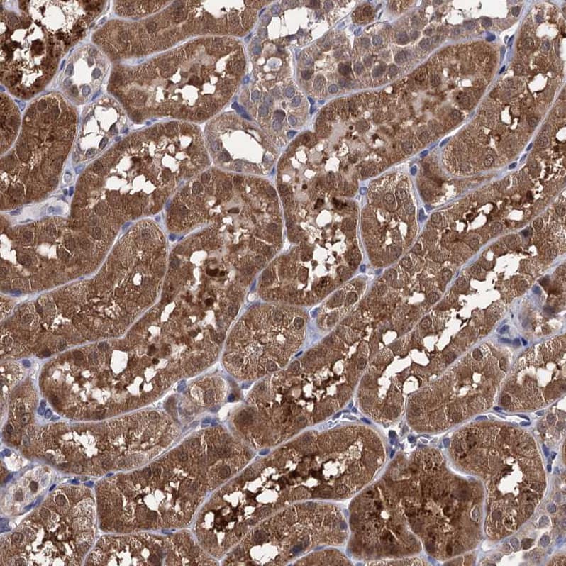
CSTP1 Antibody - BSA Free Immunohistochemistry-Paraffin: CSTP1 Antibody - BSA Free [NBP1-88048]

Immunohistochemistry-Paraffin: CSTP1 Antibody - BSA Free [NBP1-88048]

Staining of human kidney shows moderate cytoplasmic positivity in cells in tubules.

Applications for CSTP1 Antibody - BSA Free

Application
Recommended Usage

Immunohistochemistry

1:50 - 1:200

Immunohistochemistry-Paraffin

1:50 - 1:200

Western Blot

0.04-0.4 ug/ml
Application Notes
For IHC-Paraffin, HIER pH 6 retrieval is recommended.

Formulation, Preparation, and Storage

Purification

Affinity purified

Formulation

PBS (pH 7.2) and 40% Glycerol

Format

BSA Free

Preservative

0.02% Sodium Azide

Concentration

Concentrations vary lot to lot. See vial label for concentration. If unlisted please contact technical services.

Shipping

The product is shipped with polar packs. Upon receipt, store it immediately at the temperature recommended below.

Stability & Storage

Store at 4C short term. Aliquot and store at -20C long term. Avoid freeze-thaw cycles.

Background: CSTP1

Alternate Names

calcineurin-like phosphoesterase domain containing 1, calcineurin-like phosphoesterase domain-containing protein 1, Complete S-transactivated protein 1, CSTP1complete S transactivated protein 1, EC 3.1, FLJ11151

Gene Symbol

CPPED1

Additional CSTP1 Products

Product Documents for CSTP1 Antibody - BSA Free

Certificate of Analysis

To download a Certificate of Analysis, please enter a lot number in the search box below.

Product Specific Notices for CSTP1 Antibody - BSA Free

This product is for research use only and is not approved for use in humans or in clinical diagnosis. Primary Antibodies are guaranteed for 1 year from date of receipt.

Loading...
Loading...
Loading...
Loading...