Skip to main content

CSTF2T Antibody - BSA Free

Novus Biologicals, part of Bio-Techne | Catalog # NB100-74614

Novus Biologicals, part of Bio-Techne

Key Product Details

Validated by

Independent Antibodies, Biological Validation

Species Reactivity

Human

Applications

Immunohistochemistry, Immunohistochemistry-Paraffin, Western Blot, Immunoprecipitation

Label

Unconjugated

Antibody Source

Polyclonal Rabbit IgG

Format

BSA Free

Concentration

1.0 mg/ml

Product Specifications

Immunogen

The immunogen recognized by this antibody maps to a region between residue 566 and 616 of human cleavage stimulation factor 64 kDa subunit, tau variant using the numbering given in entry NP_056050.1 (GeneID 23283).

Clonality

Polyclonal

Host

Rabbit

Isotype

IgG

Scientific Data Images for CSTF2T Antibody - BSA Free

Western Blot: CSTF2T Antibody [NB100-74614]

Western Blot: CSTF2T Antibody [NB100-74614]

Western Blot: CSTF2T Antibody [NB100-74614] - Detection of Human CSTF2T by Western Blot. Samples: Whole cell lysate from HeLa (15 and 50 ug), 293T (50ug), and Jurkat (50ug) cells. Antibodies: Affinity purified rabbit anti-CSTF2T antibody NB100-74614 used for WB at 0.4 ug/ml. Detection: Chemiluminescence with an exposure time of 30 seconds.
Immunohistochemistry: CSTF2T Antibody [NB100-74614]

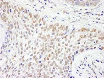
Immunohistochemistry: CSTF2T Antibody [NB100-74614]

Immunohistochemistry: CSTF2T Antibody [NB100-74614] - Sample: FFPE section of human colon carcinoma. Antibody: Affinity purified rabbit anti-CSTF2T/TauCSTF64 used at a dilution of 1:1,000 (1ug/ml). Detection: DAB
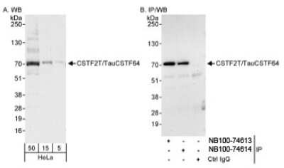
Western Blot: CSTF2T Antibody [NB100-74614]

Western Blot: CSTF2T Antibody [NB100-74614]

Western Blot: CSTF2T Antibody [NB100-74614] - Whole cell lysate (5, 15 and 50 mcg for WB; 1 mg for IP, 20% of IP loaded) from HeLa cells. NB100-74614 used for WB at 0.4 mcg/ml (A) and 1 mcg/ml (B) and used for IP at 3 mcg/mg lysate. CSTF2T/TauCSTF64 was also immunoprecipitated by rabbit anti-CSTF2T/TauCSTF64 antibody NB100-74613, which recognizes an upstream epitope.

Applications for CSTF2T Antibody - BSA Free

Application
Recommended Usage

Immunohistochemistry

1:10-1:500

Immunohistochemistry-Paraffin

1:10-1:500

Immunoprecipitation

1:10-1:500

Western Blot

1:2000-1:10000

Formulation, Preparation, and Storage

Purification

Immunogen affinity purified

Formulation

Tris-Citrate/Phosphate (pH 7.0 - 8.0)

Format

BSA Free

Preservative

0.09% Sodium Azide

Concentration

1.0 mg/ml

Shipping

The product is shipped with polar packs. Upon receipt, store it immediately at the temperature recommended below.

Stability & Storage

Store at 4C. Do not freeze.

Background: CSTF2T

CSTF2T, also known as tauCSTF-64, is a paralog of CstF-64, a component of the cleavage stimulation factor (CstF) that processes 3'-end formation and polyadenylation of mRNAs. The human CSTF2T/TauCSTF64 gene is located at 10q22-23, a site associated with neurological problems and male infertility. CSTF2T is expressed in all tissues and throughout meiosis in male germ cells. CstF-64 is also expressed ubiquitously; however because it is located on the X chromosome, its expression is temporarily silenced in germ cells by meiotic sex chromosome inactivation. During this inactivation, it is hypothesized that CSTF2T/TauCSTF64 can compensate for the loss of CstfF-64 expression. Recently, targeted disruption of CSTF2T/TauCSTF64 in mice has been shown to cause aberrant spermatogenesis and infertility providing more evidence for its importance in spermatogenesis.

Alternate Names

CF-1 64 kDa subunit tau, CF-1 64 kDa subunit tau variant, cleavage stimulation factor 64 kDa subunit tau, Cleavage stimulation factor 64 kDa subunit tau variant, cleavage stimulation factor subunit 2 tau, cleavage stimulation factor subunit 2 tau variant, cleavage stimulation factor, 3' pre-RNA, subunit 2, 64kDa, tau variant, CSTF 64 kDa subunit tau variant, CstF-64T, DKFZp434C1013, KIAA0689CSTF 64 kDa subunit tau, TauCstF-64

Entrez Gene IDs

23283 (Human)

Gene Symbol

CSTF2T

Additional CSTF2T Products

Product Documents for CSTF2T Antibody - BSA Free

Certificate of Analysis

To download a Certificate of Analysis, please enter a lot number in the search box below.

Product Specific Notices for CSTF2T Antibody - BSA Free

This product is for research use only and is not approved for use in humans or in clinical diagnosis. Primary Antibodies are guaranteed for 1 year from date of receipt.

Loading...
Loading...
Loading...
Loading...