CSTF2T Antibody (PCRP-CSTF2T-1A3) - Azide and BSA Free
Novus Biologicals, part of Bio-Techne | Catalog # NBP3-08807
Conjugate
Catalog #
Key Product Details
Species Reactivity
Human
Applications
Immunohistochemistry, Immunohistochemistry-Paraffin, Western Blot, Flow Cytometry, Immunocytochemistry/ Immunofluorescence, Protein Array
Label
Unconjugated
Antibody Source
Monoclonal Mouse IgG2b Kappa Clone # PCRP-CSTF2T-1A3
Format
Azide and BSA Free
Concentration
1 mg/ml
Product Specifications
Immunogen
Recombinant full-length human CSTF2T protein (Uniprot: Q9H0L4)
Localization
Nucleus.
Specificity
This gene encodes a nuclear protein with an RRM (RNA recognition motif) domain. The protein is a member of the cleavage stimulation factor (CSTF) complex that is involved in the 3-untranslated region of mRNAs.
Clonality
Monoclonal
Host
Mouse
Isotype
IgG2b Kappa
Theoretical MW
64 kDa.
Disclaimer note: The observed molecular weight of the protein may vary from the listed predicted molecular weight due to post translational modifications, post translation cleavages, relative charges, and other experimental factors.
Disclaimer note: The observed molecular weight of the protein may vary from the listed predicted molecular weight due to post translational modifications, post translation cleavages, relative charges, and other experimental factors.
Description
1.0 mg/ml of antibody purified from Bioreactor Concentrate by Protein A/G. Prepared in 10mM PBS WITHOUT BSA & azide. Also available at 200 ug/ml WITH BSA & azide (NBP3-07486).
Antibody with azide - store at 2 to 8C. Antibody without azide - store at -20 to -80 C.
Antibody with azide - store at 2 to 8C. Antibody without azide - store at -20 to -80 C.
Scientific Data Images for CSTF2T Antibody (PCRP-CSTF2T-1A3) - Azide and BSA Free
Western Blot: CSTF2T Antibody (PCRP-CSTF2T-1A3)Azide and BSA Free [NBP3-08807]
Western Blot: CSTF2T Antibody (PCRP-CSTF2T-1A3) [NBP3-08807] - Western Blot Analysis of human T47D, SK-Br3 & A375 cell lysates using CSTF2T Mouse Monoclonal Antibody (PCRP-CSTF2T-1A3).Immunohistochemistry-Paraffin: CSTF2T Antibody (PCRP-CSTF2T-1A3) - Azide and BSA Free [NBP3-08807]
Immunohistochemistry-Paraffin: CSTF2T Antibody (PCRP-CSTF2T-1A3) [NBP3-08807] - Formalin-fixed, paraffin-embedded human colon adenocarcinoma stained with CSTF2T Mouse Monoclonal Antibody (PCRP-CSTF2T-1A3).Immunohistochemistry-Paraffin: CSTF2T Antibody (PCRP-CSTF2T-1A3) - Azide and BSA Free [NBP3-08807]
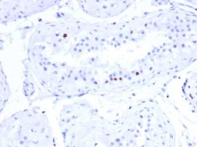
Immunohistochemistry-Paraffin: CSTF2T Antibody (PCRP-CSTF2T-1A3) [NBP3-08807] - Formalin-fixed, paraffin-embedded human testis stained with CSTF2T Mouse Monoclonal Antibody (PCRP-CSTF2T-1A3).Applications for CSTF2T Antibody (PCRP-CSTF2T-1A3) - Azide and BSA Free
Application
Recommended Usage
Flow Cytometry
1-2 ug/million cells
Immunocytochemistry/ Immunofluorescence
1-2 ug/ml
Western Blot
1-2 ug/ml
Application Notes
Immunohistochemistry Formalin-fixed: 1-2ug/ml for 30 minutes at RT. Staining of formalin-fixed tissues requires heating tissue sections in 10mM Tris with 1mM EDTA, pH 9.0, for 45 min at 95C followed by cooling at RT for 20 minutes. Optimal dilution for a specific application should be determined.
Formulation, Preparation, and Storage
Purification
Protein A or G purified
Formulation
10 mM PBS
Format
Azide and BSA Free
Preservative
No Preservative
Concentration
1 mg/ml
Shipping
The product is shipped with polar packs. Upon receipt, store it immediately at the temperature recommended below.
Stability & Storage
Store at -20 to -80C. Avoid freeze-thaw cycles.
Background: CSTF2T
Alternate Names
CF-1 64 kDa subunit tau, CF-1 64 kDa subunit tau variant, cleavage stimulation factor 64 kDa subunit tau, Cleavage stimulation factor 64 kDa subunit tau variant, cleavage stimulation factor subunit 2 tau, cleavage stimulation factor subunit 2 tau variant, cleavage stimulation factor, 3' pre-RNA, subunit 2, 64kDa, tau variant, CSTF 64 kDa subunit tau variant, CstF-64T, DKFZp434C1013, KIAA0689CSTF 64 kDa subunit tau, TauCstF-64
Gene Symbol
CSTF2T
Additional CSTF2T Products
Product Documents for CSTF2T Antibody (PCRP-CSTF2T-1A3) - Azide and BSA Free
Product Specific Notices for CSTF2T Antibody (PCRP-CSTF2T-1A3) - Azide and BSA Free
This product is for research use only and is not approved for use in humans or in clinical diagnosis. Primary Antibodies are guaranteed for 1 year from date of receipt.
Loading...
Loading...
Loading...
Loading...
Loading...