Skip to main content

CSRP3 Antibody - BSA Free

Novus Biologicals, part of Bio-Techne | Catalog # NBP2-92797

Novus Biologicals, part of Bio-Techne
Catalog #
Availability
Size / Price
Qty
Loading...
NBP2-92797-0.02ml
NBP2-92797-0.1ml

Key Product Details

Species Reactivity

Human, Mouse, Rat

Applications

Immunohistochemistry, Immunohistochemistry-Paraffin, Western Blot

Label

Unconjugated

Antibody Source

Polyclonal Rabbit IgG

Format

BSA Free

Concentration

Please see the vial label for concentration. If unlisted please contact technical services.

Product Specifications

Immunogen

Recombinant fusion protein containing a sequence corresponding to amino acids 1-194 of human CSRP3 (NP_003467.1). MPNWGGGAKCGACEKTVYHAEEIQCNGRSFHKTCFHCMACRKALDSTTVAAHESEIYCKVCYGRRYGPKGIGYGQGAGCLSTDTGEHLGLQFQQSPKPARSVTTSNPSKFTAKFGESEKCPRCGKSVYAAEKVMGGGKPWHKTCFRCAICGKSLESTNVTDKDGELYCKVCYAKNFGPTGIGFGGLTQQVEKKE

Clonality

Polyclonal

Host

Rabbit

Isotype

IgG

Description

Novus Biologicals Rabbit CSRP3 Antibody - BSA Free (NBP2-92797) is a polyclonal antibody validated for use in IHC and WB. All Novus Biologicals antibodies are covered by our 100% guarantee.

Scientific Data Images for CSRP3 Antibody - BSA Free

Western Blot: CSRP3 AntibodyBSA Free [NBP2-92797]

Western Blot: CSRP3 AntibodyBSA Free [NBP2-92797]

Western Blot: CSRP3 Antibody [NBP2-92797] - Analysis of extracts of various cell lines, using CSRP3 .Exposure time: 90s.
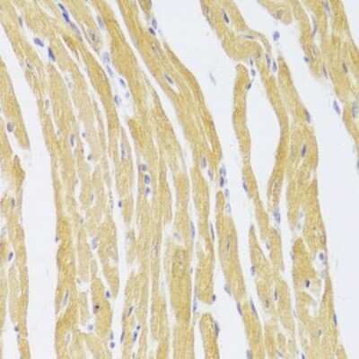
Immunohistochemistry-Paraffin: CSRP3 Antibody - BSA Free [NBP2-92797]

Immunohistochemistry-Paraffin: CSRP3 Antibody - BSA Free [NBP2-92797]

Immunohistochemistry-Paraffin: CSRP3 Antibody [NBP2-92797] - Mouse heart using CSRP3 Antibody at dilution of 1:100 (40x lens).
CSRP3 Antibody - BSA Free

Immunocytochemistry/ Immunofluorescence: CSRP3 Antibody - BSA Free [NBP2-92797] -

Immunocytochemistry/ Immunofluorescence: CSRP3 Antibody - BSA Free [NBP2-92797] - Immunofluorescence analysis of HeLa cells using CSRP3 Rabbit pAb . Secondary antibody: Cy3-conjugated Goat anti-Rabbit IgG (H+L) at 1:500 dilution. Blue: DAPI for nuclear staining.

Applications for CSRP3 Antibody - BSA Free

Application
Recommended Usage

Immunohistochemistry

1:50-1:200

Western Blot

1:500-1:2000

Formulation, Preparation, and Storage

Purification

Affinity purified

Formulation

PBS (pH 7.3), 50% glycerol

Format

BSA Free

Preservative

0.02% Sodium Azide

Concentration

Please see the vial label for concentration. If unlisted please contact technical services.

Shipping

The product is shipped with polar packs. Upon receipt, store it immediately at the temperature recommended below.

Stability & Storage

Store at -20C. Avoid freeze-thaw cycles.

Background: CSRP3

Alternate Names

Cardiac LIM protein, CLPMGC14488, CMD1Mcardiac LIM domain protein, CMH12, CRP3cysteine and glycine-rich protein 3, cysteine and glycine-rich protein 3 (cardiac LIM protein), Cysteine-rich protein 3, LIM domain only 4, LIM domain protein, cardiac, LMO4, MLPMGC61993, Muscle LIM protein

Gene Symbol

CSRP3

Additional CSRP3 Products

Product Documents for CSRP3 Antibody - BSA Free

Certificate of Analysis

To download a Certificate of Analysis, please enter a lot number in the search box below.

Product Specific Notices for CSRP3 Antibody - BSA Free

This product is for research use only and is not approved for use in humans or in clinical diagnosis. Primary Antibodies are guaranteed for 1 year from date of receipt.

Loading...
Loading...
Loading...
Loading...