Skip to main content

CSNK1A1L Antibody

Novus Biologicals, part of Bio-Techne | Catalog # NBP2-16020

Novus Biologicals, part of Bio-Techne
Catalog #
Availability
Size / Price
Qty
Loading...
NBP2-16020

Key Product Details

Species Reactivity

Human, Rat

Applications

Immunohistochemistry, Immunohistochemistry-Paraffin, Western Blot, Immunocytochemistry/ Immunofluorescence

Label

Unconjugated

Antibody Source

Polyclonal Rabbit IgG

Concentration

Concentrations vary lot to lot. See vial label for concentration. If unlisted please contact technical services.

Product Specifications

Immunogen

Recombinant protein encompassing a sequence within the center region of human CSNK1A1L. The exact sequence is proprietary.

Localization

Cytoplasm

Clonality

Polyclonal

Host

Rabbit

Isotype

IgG

Theoretical MW

39 kDa.
Disclaimer note: The observed molecular weight of the protein may vary from the listed predicted molecular weight due to post translational modifications, post translation cleavages, relative charges, and other experimental factors.

Description

Novus Biologicals Rabbit CSNK1A1L Antibody (NBP2-16020) is a polyclonal antibody validated for use in IHC, WB and ICC/IF. All Novus Biologicals antibodies are covered by our 100% guarantee.

Scientific Data Images for CSNK1A1L Antibody

Western Blot: CSNK1A1L Antibody [NBP2-16020]

Western Blot: CSNK1A1L Antibody [NBP2-16020]

Western Blot: CSNK1A1L Antibody [NBP2-16020] - CSNK1A1L Antibody detects CSNK1A1L protein by Western blot analysis. A. 50 ug rat thymus lysate/extract. 10 % SDS-PAGE. CSNK1A1L Antibody dilution: 1:500
Immunocytochemistry/ Immunofluorescence: CSNK1A1L Antibody [NBP2-16020]

Immunocytochemistry/ Immunofluorescence: CSNK1A1L Antibody [NBP2-16020]

Immunocytochemistry/Immunofluorescence: CSNK1A1L Antibody [NBP2-16020] - Detection of CSNK1A1L protein at cytoplasm by immunofluorescent analysis. Sample: HeLa cells were fixed in iced-cold MeOH for 5 min. Green: CSNK1A1L protein stained by Casein Kinase 1 alpha 1L antibody diluted at 1:500. Blue: Hoechst 33342 staining.
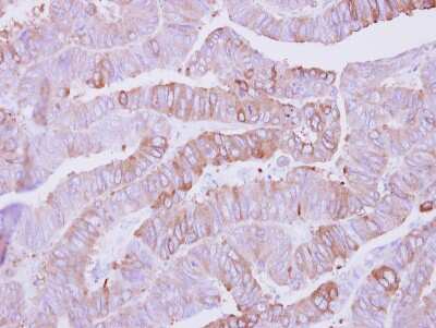
Immunohistochemistry-Paraffin: CSNK1A1L Antibody [NBP2-16020]

Immunohistochemistry-Paraffin: CSNK1A1L Antibody [NBP2-16020]

Immunohistochemistry-Paraffin: CSNK1A1L Antibody [NBP2-16020] - Immunohistochemical analysis of paraffin-embedded Colon ca, using antibody at 1:500 dilution.

Applications for CSNK1A1L Antibody

Application
Recommended Usage

Immunocytochemistry/ Immunofluorescence

1:100-1:1000

Immunohistochemistry

10 - 1:500

Immunohistochemistry-Paraffin

1:100-1:1000

Western Blot

1:500-1:3000

Formulation, Preparation, and Storage

Purification

Antigen Affinity-purified

Formulation

PBS, 1% BSA, 20% Glycerol

Preservative

0.01% Thimerosal

Concentration

Concentrations vary lot to lot. See vial label for concentration. If unlisted please contact technical services.

Shipping

The product is shipped with polar packs. Upon receipt, store it immediately at the temperature recommended below.

Stability & Storage

Aliquot and store at -20C or -80C. Avoid freeze-thaw cycles.

Background: CSNK1A1L

Casein kinases are operationally defined by their preferential utilization of acidic proteins such as caseins as substrates. It can phosphorylate a large number of proteins. Participates in Wnt signaling.

Alternate Names

casein kinase 1, alpha 1-like, casein kinase I alpha S-like, casein kinase I isoform alpha-like, CK1, CKI-alpha-like, EC 2.7.11, EC 2.7.11.1, MGC33182

Gene Symbol

CSNK1A1L

UniProt

Additional CSNK1A1L Products

Product Documents for CSNK1A1L Antibody

Certificate of Analysis

To download a Certificate of Analysis, please enter a lot number in the search box below.

Product Specific Notices for CSNK1A1L Antibody

This product is for research use only and is not approved for use in humans or in clinical diagnosis. Primary Antibodies are guaranteed for 1 year from date of receipt.

Loading...
Loading...
Loading...
Loading...

⚠ WARNING: This product can expose you to chemicals including mercury, which is known to the State of California to cause reproductive toxicity with developmental effects.  For more information go to www.P65Warnings.ca.gov.