Skip to main content

CSDE1 Antibody - BSA Free

Novus Biologicals, part of Bio-Techne | Catalog # NBP2-38665

Novus Biologicals, part of Bio-Techne
Catalog #
Availability
Size / Price
Qty
Loading...
NBP2-38665-25ul
NBP2-38665

Key Product Details

Species Reactivity

Validated:

Human

Predicted:

Mouse (99%), Rat (99%). Backed by our 100% Guarantee.

Applications

Immunohistochemistry, Immunohistochemistry-Paraffin, Immunocytochemistry/ Immunofluorescence

Label

Unconjugated

Antibody Source

Polyclonal Rabbit IgG

Format

BSA Free

Concentration

Concentrations vary lot to lot. See vial label for concentration. If unlisted please contact technical services.

Product Specifications

Immunogen

This antibody was developed against a recombinant protein corresponding to amino acids: VSFHSHSDHRFLGTVEKEATFSNPKTTSPNKGKEKEAEDGIIAYDDCGVKLTIAFQAKDVEGSTSPQIGDKVEFSISDKQRPGQQVATCVRLLGRNSNSKRLLGYVATLKDNFGFIETANHDKEIFFHYSEFSGDVD

Clonality

Polyclonal

Host

Rabbit

Isotype

IgG

Description

Novus Biologicals Rabbit CSDE1 Antibody - BSA Free (NBP2-38665) is a polyclonal antibody validated for use in IHC and ICC/IF. All Novus Biologicals antibodies are covered by our 100% guarantee.

Scientific Data Images for CSDE1 Antibody - BSA Free

Immunocytochemistry/ Immunofluorescence: CSDE1 Antibody [NBP2-38665]

Immunocytochemistry/ Immunofluorescence: CSDE1 Antibody [NBP2-38665]

Immunocytochemistry/Immunofluorescence: CSDE1 Antibody [NBP2-38665] - Staining of human cell line MCF7 shows localization to cytosol. Antibody staining is shown in green.
Immunohistochemistry-Paraffin: CSDE1 Antibody [NBP2-38665]

Immunohistochemistry-Paraffin: CSDE1 Antibody [NBP2-38665]

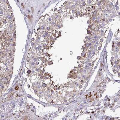
Immunohistochemistry-Paraffin: CSDE1 Antibody [NBP2-38665] - Staining of human testis shows moderate granular positivity in cytoplasm in cells in seminiferous ducts.
Immunohistochemistry-Paraffin: CSDE1 Antibody [NBP2-38665]

Immunohistochemistry-Paraffin: CSDE1 Antibody [NBP2-38665]

Immunohistochemistry-Paraffin: CSDE1 Antibody [NBP2-38665] - Staining of human endometrium shows strong granular positivity in cytoplasm in glandular cells.

Applications for CSDE1 Antibody - BSA Free

Application
Recommended Usage

Immunocytochemistry/ Immunofluorescence

0.25-2 ug/ml

Immunohistochemistry

1:50 - 1:200

Immunohistochemistry-Paraffin

1:50 - 1:200
Application Notes
For IHC-Paraffin, HIER pH 6 retrieval is recommended. ICC/IF Fixation Permeabilization: Use PFA/Triton X-100.

Formulation, Preparation, and Storage

Purification

Affinity purified

Formulation

PBS (pH 7.2) and 40% Glycerol

Format

BSA Free

Preservative

0.02% Sodium Azide

Concentration

Concentrations vary lot to lot. See vial label for concentration. If unlisted please contact technical services.

Shipping

The product is shipped with polar packs. Upon receipt, store it immediately at the temperature recommended below.

Stability & Storage

Store at 4C short term. Aliquot and store at -20C long term. Avoid freeze-thaw cycles.

Background: CSDE1

CSDE1, also known as Cold shock domain-containing protein E1, is a 798 amino acid long isoform that is 89 kDa and a short 767 amino acid isoform that is approx. 86 kDa, which is directly related to the translation of the human rhinovirus RNA as an RNA binding protein. Studies are being performed on the relationship of this protein to chronic lymphocytic leukemia, diamond-blackfan anemia, lymphocytic leukemia, breast cancer, and shock. CSDE1 protein involvement has been observed with relation to PCSK7, SYNCRIP, PABPC1, HNRNPD, PIK3R1 in the regulation of transcription DNA-dependent and male gonad development pathways.

Alternate Names

cold shock domain containing E1, RNA-binding, cold shock domain-containing protein E1, D1S155EUNRRP5-1000E10.3, DKFZp779B0247, DKFZp779J1455, FLJ26882, KIAA0885, N-ras upstream gene protein, NRAS-related, NRU, Protein UNR, upstream of NRAS

Gene Symbol

CSDE1

UniProt

Additional CSDE1 Products

Product Documents for CSDE1 Antibody - BSA Free

Certificate of Analysis

To download a Certificate of Analysis, please enter a lot number in the search box below.

Product Specific Notices for CSDE1 Antibody - BSA Free

This product is for research use only and is not approved for use in humans or in clinical diagnosis. Primary Antibodies are guaranteed for 1 year from date of receipt.

Loading...
Loading...
Loading...
Loading...