Skip to main content

CRYBA1 Antibody - BSA Free

Novus Biologicals, part of Bio-Techne | Catalog # NBP3-41519

Novus Biologicals, part of Bio-Techne
Catalog #
Availability
Size / Price
Qty
Loading...
NBP3-41519

Key Product Details

Species Reactivity

Mouse, Rat, Porcine

Applications

Immunohistochemistry, Immunohistochemistry-Paraffin, Western Blot

Label

Unconjugated

Antibody Source

Polyclonal Rabbit

Format

BSA Free

Concentration

0.5 mg/ml

Product Specifications

Immunogen

Immunized with recombinant Mouse CRYBA1 (Uniprot#: P02525; Met1-Gln215 (Uniprot#: P02525)

Clonality

Polyclonal

Host

Rabbit

Description

Novus Biologicals Rabbit CRYBA1 Antibody - BSA Free (NBP3-41519) is a polyclonal antibody validated for use in IHC and WB. All Novus Biologicals antibodies are covered by our 100% guarantee.

Scientific Data Images for CRYBA1 Antibody - BSA Free

CRYBA1 Antibody

Western Blot: CRYBA1 Antibody [NBP3-41519] -

Western Blot: CRYBA1 Antibody [NBP3-41519] - Sample: Porcine Eye lysate; Primary Ab: 1ug/ml NBP3-41519; Second Ab: 0.2ug/mL HRP-Linked Caprine Anti-Rabbit IgG Polyclonal Antibody
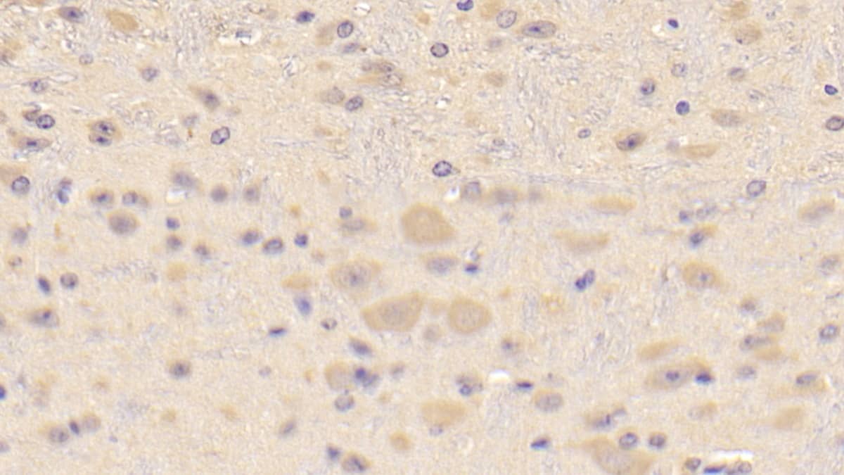
CRYBA1 Antibody

Immunohistochemistry-Paraffin: CRYBA1 Antibody [NBP3-41519] -

Immunohistochemistry-Paraffin: CRYBA1 Antibody [NBP3-41519] - DAB staining on IHC-P; Samples: Mouse Cerebellum Tissue; Primary Ab: 20ug/ml NBP3-41519; Second Ab: 2ug/mL HRP-Linked Caprine Anti-Rabbit IgG Polyclonal Antibody
CRYBA1 Antibody

Western Blot: CRYBA1 Antibody [NBP3-41519] -

Western Blot: CRYBA1 Antibody [NBP3-41519] - Sample: Mouse Eye lysate; Primary Ab: 1ug/ml NBP3-41519; Second Ab: 0.2ug/mL HRP-Linked Caprine Anti-Rabbit IgG Polyclonal Antibody;

Applications for CRYBA1 Antibody - BSA Free

Application
Recommended Usage

Immunohistochemistry

5-20ug/mL

Immunohistochemistry-Paraffin

5-20ug/mL

Western Blot

0.2-2ug/mL

Formulation, Preparation, and Storage

Purification

Antigen and protein A Affinity-purified

Formulation

PBS, pH7.4, 50% glycerol

Format

BSA Free

Preservative

0.02% Sodium Azide

Concentration

0.5 mg/ml

Shipping

The product is shipped with polar packs. Upon receipt, store it immediately at the temperature recommended below.

Stability & Storage

Store at 4C short term. Aliquot and store at -20C long term. Avoid freeze-thaw cycles.

Background: CRYBA1

Alternate Names

CRYB1beta-crystallin A3, crystallin, beta A1, crystallin, beta A3, eye lens structural protein

Gene Symbol

CRYBA1

Additional CRYBA1 Products

Product Documents for CRYBA1 Antibody - BSA Free

Certificate of Analysis

To download a Certificate of Analysis, please enter a lot number in the search box below.

Product Specific Notices for CRYBA1 Antibody - BSA Free

This product is for research use only and is not approved for use in humans or in clinical diagnosis. Primary Antibodies are guaranteed for 1 year from date of receipt.

Loading...
Loading...
Loading...
Loading...