CRTH-2/GPR44 Antibody (54N3F8) - Azide and BSA Free
Novus Biologicals, part of Bio-Techne | Catalog # NBP2-80682
Conjugate
Catalog #
Forumulation
Catalog #
Key Product Details
Species Reactivity
Human
Applications
Immunohistochemistry, Immunohistochemistry-Paraffin, Western Blot
Label
Unconjugated
Antibody Source
Monoclonal Mouse IgG2b Kappa Clone # 54N3F8
Format
Azide and BSA Free
Concentration
1 mg/ml
Product Specifications
Immunogen
A recombinant protein containing multiple external domains of GPR44 (CRTH2) was used as immunogen for the antibody. NP_004769
Clonality
Monoclonal
Host
Mouse
Isotype
IgG2b Kappa
Scientific Data Images for CRTH-2/GPR44 Antibody (54N3F8) - Azide and BSA Free
Western Blot: CRTH-2/GPR44 Antibody (54N3F8)Azide and BSA Free [NBP2-80682]
Western Blot: CRTH-2/GPR44 Antibody (54N3F8) - Azide and BSA Free [NBP2-80682] - Analysis of recombinant CRTH2 (GPR44) probed with CRTH2 antibody at 1 ug/ml. Image from the standard format of this antibody.Immunohistochemistry: CRTH-2/GPR44 Antibody (54N3F8) - Azide and BSA Free [NBP2-80682]
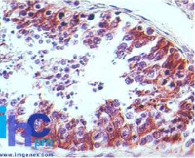
Immunohistochemistry: CRTH-2/GPR44 Antibody (54N3F8) - Azide and BSA Free [NBP2-80682] - Human testis stained with CRTH2 antibody at 5 ug/ml using peroxidase-conjugate and DAB chromogen. Image from the standard format of this antibody.Applications for CRTH-2/GPR44 Antibody (54N3F8) - Azide and BSA Free
Application
Recommended Usage
Immunohistochemistry
1:20-1:1000
Immunohistochemistry-Paraffin
5 ug/ml
Western Blot
1-5 ug/ml
Application Notes
Staining of formalin-fixed tissues is enhanced by boiling tissue sections in 10 mM sodium citrate buffer, pH 6.0 for 10-20 min followed by cooling at RT for 20 min.
Formulation, Preparation, and Storage
Purification
Protein G purified
Formulation
PBS
Format
Azide and BSA Free
Preservative
No Preservative
Concentration
1 mg/ml
Shipping
The product is shipped with polar packs. Upon receipt, store it immediately at the temperature recommended below.
Stability & Storage
Store at 4C short term. Aliquot and store at -20C long term. Avoid freeze-thaw cycles.
Background: CRTH-2
Long Name
Chemoattractant Receptor-homologous Molecule Expressed on Th2 Cells
Alternate Names
CD294, CRTH2, GPR44, PGD2R, PTGDR2
Gene Symbol
PTGDR2
Additional CRTH-2 Products
Product Documents for CRTH-2/GPR44 Antibody (54N3F8) - Azide and BSA Free
Product Specific Notices for CRTH-2/GPR44 Antibody (54N3F8) - Azide and BSA Free
This product is for research use only and is not approved for use in humans or in clinical diagnosis. Primary Antibodies are guaranteed for 1 year from date of receipt.
Loading...
Loading...
Loading...
Loading...