Skip to main content

CROCC Antibody - BSA Free

Novus Biologicals, part of Bio-Techne | Catalog # NBP1-80821

Novus Biologicals, part of Bio-Techne
Catalog #
Availability
Size / Price
Qty
Loading...
NBP1-80821
NBP1-80821-25ul

Key Product Details

Validated by

Orthogonal Validation, Independent Antibodies

Species Reactivity

Validated:

Human

Cited:

Mouse

Predicted:

Mouse (95%), Rat (97%). Backed by our 100% Guarantee.

Applications

Validated:

Immunohistochemistry, Immunohistochemistry-Paraffin

Cited:

Western Blot

Label

Unconjugated

Antibody Source

Polyclonal Rabbit IgG

Format

BSA Free

Concentration

Concentrations vary lot to lot. See vial label for concentration. If unlisted please contact technical services.

Product Specifications

Immunogen

This antibody was developed against Recombinant Protein corresponding to amino acids: LEAEKEELSEEIAALQQERDEGLLLAESEKQQALSLKESEKTALSEKLMGTRHSLATISLEMERQKRDAQSRQEQDRSTVNALTSELRDLR

Clonality

Polyclonal

Host

Rabbit

Isotype

IgG

Description

Novus Biologicals Rabbit CROCC Antibody - BSA Free (NBP1-80821) is a polyclonal antibody validated for use in IHC and WB. Anti-CROCC Antibody: Cited in 2 publications. All Novus Biologicals antibodies are covered by our 100% guarantee.

Scientific Data Images for CROCC Antibody - BSA Free

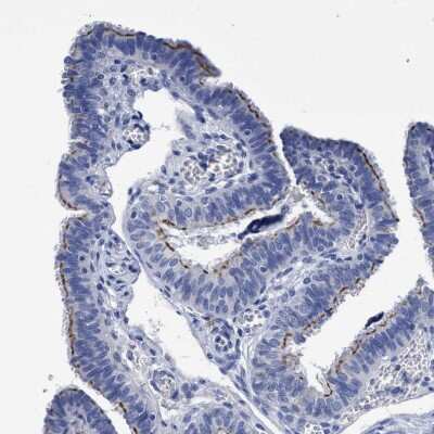
Immunohistochemistry-Paraffin: CROCC Antibody [NBP1-80821]

Immunohistochemistry-Paraffin: CROCC Antibody [NBP1-80821]

Immunohistochemistry-Paraffin: CROCC Antibody [NBP1-80821] - Staining in human fallopian tube and liver tissues using NBP1-80821 antibody. Corresponding CROCC RNA-seq data are presented for the same tissues.
Immunohistochemistry-Paraffin: CROCC Antibody [NBP1-80821]

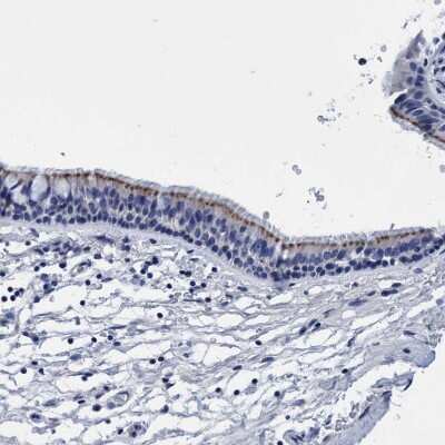
Immunohistochemistry-Paraffin: CROCC Antibody [NBP1-80821]

Immunohistochemistry-Paraffin: CROCC Antibody [NBP1-80821] - Staining of human bronchus shows moderate membranous positivity in respiratory epithelial cells.
Immunohistochemistry-Paraffin: CROCC Antibody [NBP1-80821]

Immunohistochemistry-Paraffin: CROCC Antibody [NBP1-80821]

Immunohistochemistry-Paraffin: CROCC Antibody [NBP1-80821] - Staining of human bronchus, fallopian tube, liver and testis using Anti-CROCC antibody NBP1-80821 (A) shows similar protein distribution across tissues to independent antibody NBP1-80820 (B).

Applications for CROCC Antibody - BSA Free

Application
Recommended Usage

Immunohistochemistry

1:2500 - 1:5000

Immunohistochemistry-Paraffin

1:2500 - 1:5000
Application Notes
For IHC-Paraffin, HIER pH 6 retrieval is recommended.

Formulation, Preparation, and Storage

Purification

Affinity purified

Formulation

PBS (pH 7.2) and 40% Glycerol

Format

BSA Free

Preservative

0.02% Sodium Azide

Concentration

Concentrations vary lot to lot. See vial label for concentration. If unlisted please contact technical services.

Shipping

The product is shipped with polar packs. Upon receipt, store it immediately at the temperature recommended below.

Stability & Storage

Store at 4C short term. Aliquot and store at -20C long term. Avoid freeze-thaw cycles.

Background: CROCC

Long Name

Ciliary Rootlet Coiled-Coil, Rootletin

Alternate Names

CROCC1, KIAA0445, ROLT, TAX1BP2

Entrez Gene IDs

9696 (Human)

Gene Symbol

CROCC

Additional CROCC Products

Product Documents for CROCC Antibody - BSA Free

Certificate of Analysis

To download a Certificate of Analysis, please enter a lot number in the search box below.

Product Specific Notices for CROCC Antibody - BSA Free

This product is for research use only and is not approved for use in humans or in clinical diagnosis. Primary Antibodies are guaranteed for 1 year from date of receipt.

Loading...
Loading...
Loading...
Loading...