Skip to main content

CRM1 Antibody - BSA Free

Novus Biologicals, part of Bio-Techne | Catalog # NB100-79802

Novus Biologicals, part of Bio-Techne

Key Product Details

Validated by

Independent Antibodies, Biological Validation

Species Reactivity

Validated:

Human, Mouse, Rat

Cited:

Human, Mouse, Rat

Applications

Validated:

Immunohistochemistry, Immunohistochemistry-Paraffin, Western Blot, Immunocytochemistry/ Immunofluorescence, Simple Western, Immunoprecipitation

Cited:

Western Blot, Immunocytochemistry/ Immunofluorescence, Simple Western, Immunoprecipitation

Label

Unconjugated

Antibody Source

Polyclonal Rabbit IgG

Format

BSA Free

Concentration

1.0 mg/ml

Product Specifications

Immunogen

The immunogen recognized by this antibody maps to a region between residue 1025 and the C-terminus (residue 1071) of human Chromosome Region Maintenance 1 (Exportin 1) (NP_003391.1).

Reactivity Notes

Rat reactivity reported in scientific literature (PMID:33188200).

Clonality

Polyclonal

Host

Rabbit

Isotype

IgG

Theoretical MW

123 kDa.
Disclaimer note: The observed molecular weight of the protein may vary from the listed predicted molecular weight due to post translational modifications, post translation cleavages, relative charges, and other experimental factors.

Description

Novus Biologicals Rabbit CRM1 Antibody - BSA Free (NB100-79802) is a polyclonal antibody validated for use in IHC, WB, ICC/IF, Simple Western and IP. Anti-CRM1 Antibody: Cited in 16 publications. All Novus Biologicals antibodies are covered by our 100% guarantee.

Scientific Data Images for CRM1 Antibody - BSA Free

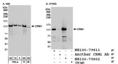
Western Blot: CRM1 Antibody [NB100-79802]

Western Blot: CRM1 Antibody [NB100-79802]

Western Blot: CRM1 Antibody [NB100-79802] - Detection of Human and Mouse CRM1 by Western Blot. Samples: Whole cell lysate (50 ug) prepared using NETN buffer from HeLa, 293T, Jurkat, and mouse TCMK-1 cells. Antibodies: Affinity purified rabbit anti-CRM1 antibody NB100-79802 used for WB at 0.1 ug/ml. Detection: Chemiluminescence with an exposure time of 30 seconds.
Immunocytochemistry/ Immunofluorescence: CRM1 Antibody [NB100-79802]

Immunocytochemistry/ Immunofluorescence: CRM1 Antibody [NB100-79802]

CRM1-Antibody-Immunocytochemistry-Immunofluorescence-NB100-79802-img0028.jpg
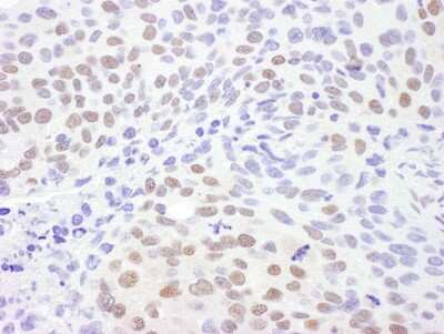
Immunohistochemistry-Paraffin: CRM1 Antibody [NB100-79802]

Immunohistochemistry-Paraffin: CRM1 Antibody [NB100-79802]

Immunohistochemistry-Paraffin: CRM1 Antibody [NB100-79802] - Mouse teratoma. Antibody: Affinity purified rabbit anti-CRM1 used at a dilution of 1:1,000 (1ug/ml). Detection: DAB

Applications for CRM1 Antibody - BSA Free

Application
Recommended Usage

Immunocytochemistry/ Immunofluorescence

1:1000 to 1:10000

Immunohistochemistry

1:1000-1:5000

Immunohistochemistry-Paraffin

1:1000-1:5000

Immunoprecipitation

2-10 ug/mg lysate

Simple Western

1:500

Western Blot

1:2000-1:10000
Application Notes
Epitope retrieval with citrate buffer pH 6.0 is recommended for FFPE tissue sections.
See Simple Western Antibody Database for Simple Western validation: Tested in NIH-3T3 lysate 0.5 mg/mL, separated by Size, antibody dilution of 1:500, apparent MW was 110 kDa

Formulation, Preparation, and Storage

Purification

Immunogen affinity purified

Formulation

Tris-Citrate/Phosphate (pH 7.0 - 8.0)

Format

BSA Free

Preservative

0.09% Sodium Azide

Concentration

1.0 mg/ml

Shipping

The product is shipped with polar packs. Upon receipt, store it immediately at the temperature recommended below.

Stability & Storage

Store at 4C. Do not freeze.

Background: CRM1

CRM1 mediates the nuclear export of cellular proteins (cargoes) bearing a leucine-rich nuclear export signal (NES) and of RNAs. In the nucleus, in association with RANBP3, CRM1 binds cooperatively to the NES on its target protein and to the GTPase Ran in its active GTP-bound form. Docking of this complex to the nuclear pore complex (NPC) is mediated through binding to nucleoporins. Upon transit of a nuclear export complex into the cytoplasm, disassembling of the complex and hydrolysis of Ran-GTP to Ran-GDP (induced by RANBP1 and RANGAP1, respectively) cause release of the cargo from the export receptor. The direction of nuclear export is thought to be conferred by an asymmetric distribution of the GTP- and GDP-bound forms of Ran between the cytoplasm and nucleus. CRM1 also mediates the nuclear export of the Rev protein of HIV-1 and Rex protein of HTLV-1. It is involved in Rex dimerization, U3 snoRNA transport from Cajal bodies to nucleoli. CRM1 is also involved in the control of several cellular processes by controlling the localization of cyclin B, MPAK, and MAPKAP kinase 2. CRM1 is also involved in the regulation NFAT and AP-1. Diffusion of metabolites and small non-nuclear molecules as well as active, mediated import of protein and export of protein and RNA through the nuclear envelope occurs through nuclear pore complexes or NPC's. NPC's contain up to 100 different polypeptides which have a combined mass of about 125 megadaltons. The channel available for passive transport through the NPC is about 9-10 nm in diameter while carrier mediated changes in the NPC result in a ~25 nm channel used for larger, actively transported molecules. Active transport of molecules through the NPC is a signal mediated process that is not well understood. Proteins to be exported from the nucleus to cytoplasm contain leucine-rich nuclear export signals (NESs). NESs are recognized by transport receptors belonging to the importin-beta family of proteins. It has been shown that NES export is mediated by CRM 1 (Chromosome Region Maintenance 1), an importin-beta family member that binds NESs, Ran:GTP, and Ran binding protein (RanBP). CRM 1 mediates the nuclear exportation of numerous proteins, including histone deacetylases (HDACs), viral proteins, immunophilins, and STAT 1.

Long Name

Chromosome Region Maintenence 1 Homolog

Alternate Names

CRM-1, Exp1, Exportin 1, XPO1

Entrez Gene IDs

7514 (Human); 103573 (Mouse)

Gene Symbol

XPO1

UniProt

Additional CRM1 Products

Product Documents for CRM1 Antibody - BSA Free

Certificate of Analysis

To download a Certificate of Analysis, please enter a lot number in the search box below.

Product Specific Notices for CRM1 Antibody - BSA Free

This product is for research use only and is not approved for use in humans or in clinical diagnosis. Primary Antibodies are guaranteed for 1 year from date of receipt.

Loading...
Loading...
Loading...
Loading...