CRISP-2 Antibody - BSA Free
Novus Biologicals, part of Bio-Techne | Catalog # NBP1-76277
Conjugate
Catalog #
Key Product Details
Species Reactivity
Human
Applications
Immunohistochemistry, Immunohistochemistry-Paraffin, Western Blot, ELISA, Immunocytochemistry/ Immunofluorescence
Label
Unconjugated
Antibody Source
Polyclonal Rabbit IgG
Format
BSA Free
Concentration
1 mg/ml
Product Specifications
Immunogen
Antibody was raised against a 15 amino acid synthetic peptide near the amino terminus of human CRISP2. The immunogen is located within the first 50 amino acids of CRISP2. Amino Acid Squence: CPSLPAEGKDPAFTAL
Clonality
Polyclonal
Host
Rabbit
Isotype
IgG
Scientific Data Images for CRISP-2 Antibody - BSA Free
Western Blot: CRISP-2 AntibodyBSA Free [NBP1-76277]
Western Blot: CRISP-2 Antibody [NBP1-76277] - Human testis tissue lysate with CRISP2 antibody at (A) 0.5 and (B) 1 ug/mL.Immunohistochemistry: CRISP-2 Antibody - BSA Free [NBP1-76277] -
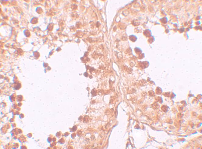
Immunohistochemistry: CRISP-2 Antibody - BSA Free [NBP1-76277] - Immunohistochemistry of CRISP-2 in human testis tissue with CRISP-2 antibody at 10 u/mL.Immunocytochemistry/ Immunofluorescence: CRISP-2 Antibody - BSA Free [NBP1-76277] -
Immunocytochemistry/ Immunofluorescence: CRISP-2 Antibody - BSA Free [NBP1-76277] - Immunofluorescence of CRISP in human testis tissue with CRISP antibody at 20 u/mL.Applications for CRISP-2 Antibody - BSA Free
Application
Recommended Usage
ELISA
1:100-1:2000
Immunocytochemistry/ Immunofluorescence
20 ug/ml
Immunohistochemistry
10 ug/ml
Immunohistochemistry-Paraffin
10 ug/ml
Western Blot
0.5-1 ug/ml
Formulation, Preparation, and Storage
Purification
Peptide affinity purified
Formulation
PBS
Format
BSA Free
Preservative
0.02% Sodium Azide
Concentration
1 mg/ml
Shipping
The product is shipped with polar packs. Upon receipt, store it immediately at the temperature recommended below.
Stability & Storage
Store at 4C short term. Aliquot and store at -20C long term. Avoid freeze-thaw cycles.
Background: CRISP-2
Long Name
Cysteine-rich Secretory Protein 2
Alternate Names
CRISP2, GAPDL5, TPX1, TSP1
Gene Symbol
CRISP2
UniProt
Additional CRISP-2 Products
Product Documents for CRISP-2 Antibody - BSA Free
Product Specific Notices for CRISP-2 Antibody - BSA Free
This product is for research use only and is not approved for use in humans or in clinical diagnosis. Primary Antibodies are guaranteed for 1 year from date of receipt.
Loading...
Loading...
Loading...
Loading...