Skip to main content

CREM Antibody - BSA Free

Novus Biologicals, part of Bio-Techne | Catalog # NBP1-81760

Novus Biologicals, part of Bio-Techne
Catalog #
Availability
Size / Price
Qty
Loading...
NBP1-81760-25ul
NBP1-81760

Key Product Details

Validated by

Orthogonal Validation

Species Reactivity

Human, Mouse, Rat

Applications

Immunohistochemistry, Immunohistochemistry-Paraffin, Western Blot, Chromatin Immunoprecipitation-exo-Seq

Label

Unconjugated

Antibody Source

Polyclonal Rabbit IgG

Format

BSA Free

Concentration

Concentrations vary lot to lot. See vial label for concentration. If unlisted please contact technical services.

Product Specifications

Immunogen

This antibody was developed against Recombinant Protein corresponding to amino acids: QHDGSITASLTESKSAHVQTQTGQNSIPALAQVAAIAETDESAESEGVIDSHKRREILSRRPSYRKILNELSSDVPGVPKIEEERSEEEGTPPSIATMAVPTSIYQTSTGQYIAIAQGGTIQISNPGSD

Clonality

Polyclonal

Host

Rabbit

Isotype

IgG

Description

Novus Biologicals Rabbit CREM Antibody - BSA Free (NBP1-81760) is a polyclonal antibody validated for use in IHC and WB. All Novus Biologicals antibodies are covered by our 100% guarantee.

Scientific Data Images for CREM Antibody - BSA Free

CREM Antibody

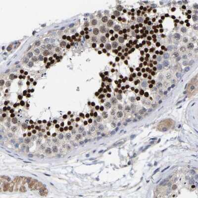
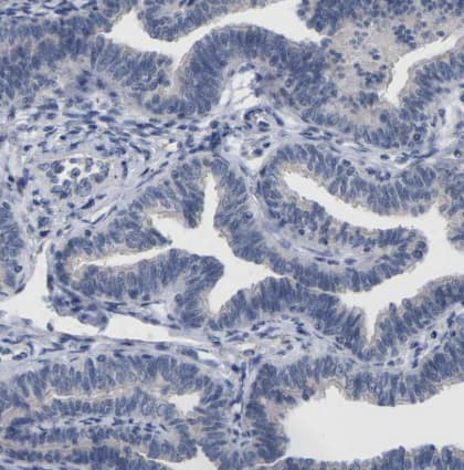
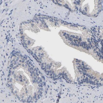
Immunohistochemistry-Paraffin: CREM Antibody [NBP1-81760] -

Immunohistochemistry-Paraffin: CREM Antibody [NBP1-81760] - Analysis in human testis and fallopian tube tissues using NBP1-81760 antibody. Corresponding CREM RNA-seq data are presented for the same tissues.
Western Blot: CREM Antibody [NBP1-81760]

Western Blot: CREM Antibody [NBP1-81760]

Western Blot: CREM Antibody [NBP1-81760] - Analysis in human cell lines PC-3 and Caco-2 using Anti-CREM antibody. Corresponding CREM RNA-seq data are presented for the same cell lines. Loading control: Anti-COX4I1.
Western Blot: CREM Antibody [NBP1-81760]

Western Blot: CREM Antibody [NBP1-81760]

Western Blot: CREM Antibody [NBP1-81760] - Analysis in mouse cell line NIH-3T3, rat cell line NBT-II and rat cell line pC12.

Applications for CREM Antibody - BSA Free

Application
Recommended Usage

Chromatin Immunoprecipitation-exo-Seq

1-10ug per reaction

Immunohistochemistry

1:500 - 1:1000

Immunohistochemistry-Paraffin

1:500 -1:1000

Western Blot

0.04-0.4 ug/ml
Application Notes
For IHC-Paraffin, HIER pH 6 retrieval is recommended.

Formulation, Preparation, and Storage

Purification

Affinity purified

Formulation

PBS (pH 7.2) and 40% Glycerol

Format

BSA Free

Preservative

0.02% Sodium Azide

Concentration

Concentrations vary lot to lot. See vial label for concentration. If unlisted please contact technical services.

Shipping

The product is shipped with polar packs. Upon receipt, store it immediately at the temperature recommended below.

Stability & Storage

Store at 4C short term. Aliquot and store at -20C long term. Avoid freeze-thaw cycles.

Background: CREM

Alternate Names

cAMP response element modulator, cAMP responsive element modulator, cAMP-responsive element modulator, hCREM 2alpha-b protein, hCREM 2beta-a protein, hCREM-2, ICER, Inducible cAMP early repressor, inducible cAMP early repressor ICER, MGC111110, MGC17881, MGC41893

Gene Symbol

CREM

Additional CREM Products

Product Documents for CREM Antibody - BSA Free

Certificate of Analysis

To download a Certificate of Analysis, please enter a lot number in the search box below.

Product Specific Notices for CREM Antibody - BSA Free

This product is for research use only and is not approved for use in humans or in clinical diagnosis. Primary Antibodies are guaranteed for 1 year from date of receipt.

Loading...
Loading...
Loading...
Loading...