Skip to main content

CPSF6 Antibody - BSA Free

Novus Biologicals, part of Bio-Techne | Catalog # NBP3-38219

Novus Biologicals, part of Bio-Techne
Catalog #
Availability
Size / Price
Qty
Loading...
NBP3-38219-20ul
NBP3-38219-100ul

Key Product Details

Species Reactivity

Human, Mouse, Rat

Applications

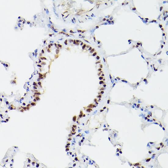
Immunohistochemistry, Immunohistochemistry-Paraffin, Western Blot, ELISA, Immunocytochemistry/ Immunofluorescence, Immunoprecipitation

Label

Unconjugated

Antibody Source

Polyclonal Rabbit IgG

Format

BSA Free

Concentration

Please see the vial label for concentration. If unlisted please contact technical services.

Product Specifications

Immunogen

Recombinant fusion protein containing a sequence corresponding to amino acids 1-330 of human CPSF6 (NP_008938.2).

Sequence:
MADGVDHIDIYADVGEEFNQEAEYGGHDQIDLYDDVISPSANNGDAPEDRDYMDTLPPTVGDDVGKGAAPNVVYTYTGKRIALYIGNLTWWTTDEDLTEAVHSLGVNDILEIKFFENRANGQSKGFALVGVGSEASSKKLMDLLPKRELHGQNPVVTPCNKQFLSQFEMQSRKTTQSGQMSGEGKAGPPGGSSRAAFPQGGRGRGRFPGAVPGGDRFPGPAGPGGPPPPFPAGQTPPRPPLGPPGPPGPPGPPPPGQVLPPPLAGPPNRGDRPPPPVLFPGQPFGQPPLGPLPPGPPPPVPGYGPPPGPPPPQQGPPPPPGPFPPRPPGP

Clonality

Polyclonal

Host

Rabbit

Isotype

IgG

Theoretical MW

59 kDa.
Disclaimer note: The observed molecular weight of the protein may vary from the listed predicted molecular weight due to post translational modifications, post translation cleavages, relative charges, and other experimental factors.

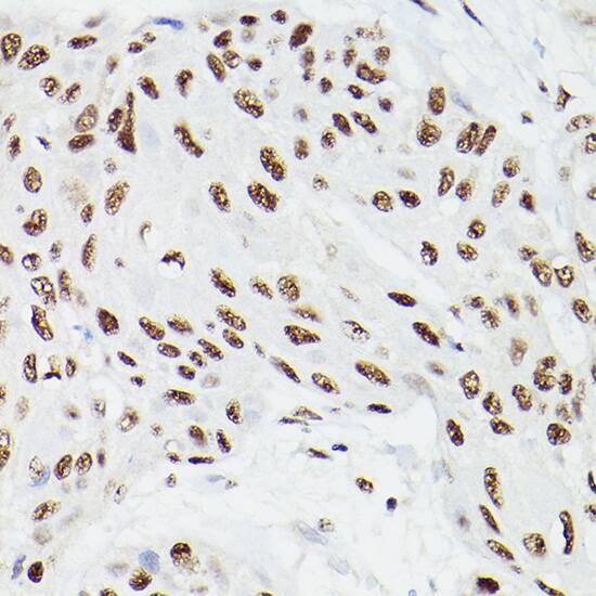
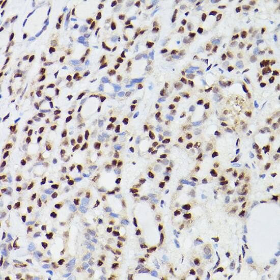
Scientific Data Images for CPSF6 Antibody - BSA Free

CPSF6 Antibody

Immunoprecipitation: CPSF6 Antibody [NBP3-38219] -

Immunoprecipitation: CPSF6 Antibody [NBP3-38219] - Immunoprecipitation analysis of 300 ug extracts of 293T cells using 3 ug CPSF6 antibody. Western blot was performed from the immunoprecipitate using CPSF6 antibody at a dilution of 1:1000.
CPSF6 Antibody

Immunocytochemistry/ Immunofluorescence: CPSF6 Antibody [NBP3-38219] -

Immunocytochemistry/ Immunofluorescence: CPSF6 Antibody [NBP3-38219] - Confocal immunofluorescence analysis of U2OS cells using CPSF6 Rabbit pAb at dilution of 1:100. Blue: DAPI for nuclear staining.
CPSF6 Antibody

Western Blot: CPSF6 Antibody [NBP3-38219] -

Western Blot: CPSF6 Antibody [NBP3-38219] - Western blot analysis of various lysates using CPSF6 Rabbit pAb at 1:1000 dilution.
Secondary antibody: HRP-conjugated Goat anti-Rabbit IgG (H+L) at 1:10000 dilution.
Lysates/proteins: 25ug per lane.
Blocking buffer: 3% nonfat dry milk in TBST.
Detection: ECL Basic Kit.
Exposure time: 1s.

Applications for CPSF6 Antibody - BSA Free

Application
Recommended Usage

Immunocytochemistry/ Immunofluorescence

1:50 - 1:200

Immunohistochemistry-Paraffin

1:50 - 1:200

Immunoprecipitation

0.5ug - 4ug antibody for 200ug - 400ug extracts of whole cells

Western Blot

1:1000 - 1:3000

Formulation, Preparation, and Storage

Purification

Affinity purified

Formulation

PBS (pH 7.3), 50% glycerol

Format

BSA Free

Preservative

0.02% Sodium Azide

Concentration

Please see the vial label for concentration. If unlisted please contact technical services.

Shipping

The product is shipped with polar packs. Upon receipt, store it immediately at the temperature recommended below.

Stability & Storage

Store at -20C. Avoid freeze-thaw cycles.

Background: CPSF6

Alternate Names

CFIM, CFIm68, CFIM68CPSF 68 kDa subunit, CFIMcleavage and polyadenylation specific factor 6, 68kD subunit, cleavage and polyadenylation specific factor 6, 68kDa, Cleavage and polyadenylation specificity factor 68 kDa subunit, cleavage and polyadenylation specificity factor subunit 6, HPBRII-4, HPBRII-7, pre-mRNA cleavage factor I, 68kD subunit, pre-mRNA cleavage factor Im (68kD), Pre-mRNA cleavage factor Im 68 kDa subunit, Protein HPBRII-4/7

Gene Symbol

CPSF6

Additional CPSF6 Products

Product Documents for CPSF6 Antibody - BSA Free

Certificate of Analysis

To download a Certificate of Analysis, please enter a lot number in the search box below.

Product Specific Notices for CPSF6 Antibody - BSA Free

This product is for research use only and is not approved for use in humans or in clinical diagnosis. Primary Antibodies are guaranteed for 1 year from date of receipt.

Loading...
Loading...
Loading...
Loading...