Skip to main content

Cortactin Antibody (4C6)

Novus Biologicals, part of Bio-Techne | Catalog # NBP2-37621

Novus Biologicals, part of Bio-Techne
Catalog #
Availability
Size / Price
Qty
Loading...
NBP2-37621-0.025ml
NBP2-37621

Key Product Details

Species Reactivity

Human, Mouse

Applications

Immunohistochemistry, Immunohistochemistry-Paraffin, Western Blot, ELISA

Label

Unconjugated

Antibody Source

Monoclonal Mouse IgG1 Clone # 4C6

Concentration

This product is unpurified. The exact concentration of antibody is not quantifiable.

Product Specifications

Immunogen

Purified recombinant fragment of human Cortactin expressed in E. Coli.

Reactivity Notes

Please note that this antibody is reactive to Mouse and derived from the same host, Mouse. Additional Mouse on Mouse blocking steps may be required for IHC and ICC experiments. Please contact Technical Support for more information.

Clonality

Monoclonal

Host

Mouse

Isotype

IgG1

Theoretical MW

80 kDa.
Disclaimer note: The observed molecular weight of the protein may vary from the listed predicted molecular weight due to post translational modifications, post translation cleavages, relative charges, and other experimental factors.

Description

Novus Biologicals Mouse Cortactin Antibody (4C6) (NBP2-37621) is a monoclonal antibody validated for use in IHC, WB and ELISA. All Novus Biologicals antibodies are covered by our 100% guarantee.

Scientific Data Images for Cortactin Antibody (4C6)

Western Blot: Cortactin Antibody (4C6)BSA Free [NBP2-37621]

Western Blot: Cortactin Antibody (4C6)BSA Free [NBP2-37621]

Western Blot: Cortactin Antibody (4C6) [NBP2-37621] - Western blot analysis using CTTN mouse mAb against Hela (1), A431 (2), MCF-7 (3), SR-BR-3 (4), HepG2 (5) and NIH/3T3 (6) cell lysate.
Immunohistochemistry: Cortactin Antibody (4C6) - BSA Free [NBP2-37621]

Immunohistochemistry: Cortactin Antibody (4C6) - BSA Free [NBP2-37621]

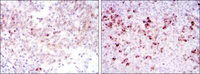
Immunohistochemistry: Cortactin Antibody (4C6) [NBP2-37621] - Immunohistochemical analysis of paraffin-embedded cervical cancer tissues (left) and tonsil tissues (right) using CTTN mouse mAb with DAB staining.
ELISA: Cortactin Antibody (4C6) - BSA Free [NBP2-37621]

ELISA: Cortactin Antibody (4C6) - BSA Free [NBP2-37621]

ELISA: Cortactin Antibody (4C6) [NBP2-37621] - Red: Control Antigen (100ng); Purple: Antigen (10ng); Green: Antigen (50ng); Blue: Antigen (100ng);

Applications for Cortactin Antibody (4C6)

Application
Recommended Usage

ELISA

1:10000

Immunohistochemistry

1:200 - 1:1000

Immunohistochemistry-Paraffin

1:200 - 1:1000

Western Blot

1:500 - 1:2000

Formulation, Preparation, and Storage

Purification

Ascites

Formulation

Ascites

Preservative

0.03% Sodium Azide

Concentration

This product is unpurified. The exact concentration of antibody is not quantifiable.

Shipping

The product is shipped with polar packs. Upon receipt, store it immediately at the temperature recommended below.

Stability & Storage

Store at 4C short term. Aliquot and store at -20C long term. Avoid freeze-thaw cycles.

Background: Cortactin

Immunocytochemistry reveals that in epithelial cells, the human cortactin protein is localized mainly in the cytoplasm and, to a very low extent, in protruding leading lamellae of the cell. However, in carcinoma cells that constitutively overexpress cortactin accumulates in the podosome-like adherens junctions associated with the cell-substratum contact sites. Overexpression and concomitant accumulation of the Cortactin protein in the cell-substratum contact sites might, therefore, contribute to the invasive potential of these tumor cells (1). In cells derived from breast carcinomas and squamous carcinomas of the head and neck, DNA amplification of a particular tyrosine kinase substrate region results in overexpression of cortactin. Overexpression is accompanied by a partial redistribution of cortactin from the cytoplasm into cell-matrix contact sites (2).

Alternate Names

Amplaxin, CTTN, EMS1

Gene Symbol

CTTN

Additional Cortactin Products

Product Documents for Cortactin Antibody (4C6)

Certificate of Analysis

To download a Certificate of Analysis, please enter a lot number in the search box below.

Product Specific Notices for Cortactin Antibody (4C6)

This product is for research use only and is not approved for use in humans or in clinical diagnosis. Primary Antibodies are guaranteed for 1 year from date of receipt.

Loading...
Loading...
Loading...
Loading...