Skip to main content

CoREST3/RCOR3 Antibody

Novus Biologicals, part of Bio-Techne | Catalog # NB100-60637

Novus Biologicals, part of Bio-Techne
Catalog #
Availability
Size / Price
Qty
Loading...
NB100-60637

Key Product Details

Validated by

Independent Antibodies, Biological Validation

Species Reactivity

Human, Mouse

Applications

Immunohistochemistry, Immunohistochemistry-Paraffin, Western Blot, Immunocytochemistry/ Immunofluorescence, Immunoprecipitation

Label

Unconjugated

Antibody Source

Polyclonal Rabbit IgG

Concentration

0.2 mg/ml

Product Specifications

Immunogen

The immunogen recognized by this antibody maps to a region between residue 445 and 495 of human REST corepressor 3 using the numbering given in entry NP_060724.1 (GeneID 55758).

Clonality

Polyclonal

Host

Rabbit

Isotype

IgG

Description

Novus Biologicals Rabbit CoREST3/RCOR3 Antibody (NB100-60637) is a polyclonal antibody validated for use in IHC, WB, ICC/IF and IP. All Novus Biologicals antibodies are covered by our 100% guarantee.

Scientific Data Images for CoREST3/RCOR3 Antibody

Western Blot: CoREST3/RCOR3 Antibody [NB100-60637]

Western Blot: CoREST3/RCOR3 Antibody [NB100-60637]

Western Blot: CoREST3/RCOR3 Antibody [NB100-60637] - Whole cell lysate from HeLa (5, 15 and 50 ug for WB; 1 mg for IP, 20% of IP loaded), 293T (T; 50 ug) and mouse NIH3T3 (M; 50 ug) cells. NB100-60637 used for WB at 0.04 ug/ml (A) and 1 ug/ml (B) and used for IP at 3 ug/mg lysate. RCOR3 was also immunoprecipitated by rabbit anti-RCOR3 antibody NB100-60636, which recognizes an upstream epitope.
Immunocytochemistry/ Immunofluorescence: CoREST3/RCOR3 Antibody [NB100-60637]

Immunocytochemistry/ Immunofluorescence: CoREST3/RCOR3 Antibody [NB100-60637]

Immunocytochemistry/Immunofluorescence: CoREST3/RCOR3 Antibody [NB100-60637] - FFPE section of NBF-fixed HeLa Cells Antibody: Affinity purified rabbit anti- RCOR3 used at a dilution of 1:80 (2.5 ug/ml). Detection: Green-fluorescent goat anti-rabbit IgG-heavy and light chain cross-adsorbed Antibody DyLight (R) 488 Conjugatedused at a dilution of 1:100.
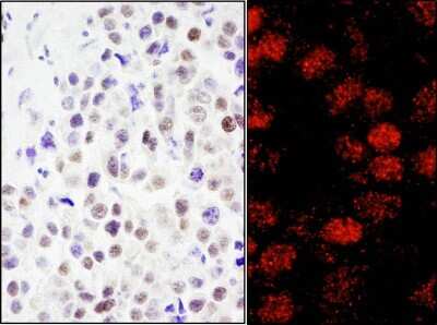
Immunohistochemistry: CoREST3/RCOR3 Antibody [NB100-60637]

Immunohistochemistry: CoREST3/RCOR3 Antibody [NB100-60637]

Immunohistochemistry: CoREST3/RCOR3 Antibody [NB100-60637] - Sample: FFPE sections of human testicular seminoma (left) and breast carcinoma (right). Antibody: Affinity purified rabbit anti- RCOR3 used at a dilution of 1:200 (1ug/ml) and 1:80 (2.5 ug/ml). Detection: DAB and Red-fluorescent Goat anti-Rabbit IgG-heavy

Applications for CoREST3/RCOR3 Antibody

Application
Recommended Usage

Immunocytochemistry/ Immunofluorescence

1:100 - 1:500

Immunohistochemistry

1:100-1:500

Immunohistochemistry-Paraffin

1:100-1:500

Immunoprecipitation

2-5 ug/mg lysate

Western Blot

1:2000-1:10000
Application Notes
Epitope retrieval with citrate buffer pH 6.0 is recommended for FFPE tissue sections.

Formulation, Preparation, and Storage

Purification

Immunogen affinity purified

Formulation

TBS and 0.1% BSA

Preservative

0.09% Sodium Azide

Concentration

0.2 mg/ml

Shipping

The product is shipped with polar packs. Upon receipt, store it immediately at the temperature recommended below.

Stability & Storage

Store at 4C. Do not freeze.

Background: CoREST3/RCOR3

RCOR3 is a member of the coREST family that functions as a co-repressor for REST (RE1-silencing transcription factor) to regulate neuronal gene expression and neuronal stem cell fate. The coREST family includes RCOR1, also known as coREST, RCOR2, and RCOR3. REST complexes regulate gene expression by modifying chromatin to create a repressive epigenetic environment.

Alternate Names

FLJ10876, FLJ16298, KIAA1343, REST corepressor 3, RP11-318L16.1

Entrez Gene IDs

55758 (Human); 214742 (Mouse)

Gene Symbol

RCOR3

Additional CoREST3/RCOR3 Products

Product Documents for CoREST3/RCOR3 Antibody

Certificate of Analysis

To download a Certificate of Analysis, please enter a lot number in the search box below.

Product Specific Notices for CoREST3/RCOR3 Antibody

This product is for research use only and is not approved for use in humans or in clinical diagnosis. Primary Antibodies are guaranteed for 1 year from date of receipt.

Loading...
Loading...
Loading...
Loading...