Skip to main content

Connexin 43/GJA1 Antibody - BSA Free

Novus Biologicals, part of Bio-Techne | Catalog # NB100-81867

Novus Biologicals, part of Bio-Techne
Catalog #
Availability
Size / Price
Qty
Loading...
NB100-81867
NB100-81867-0.025ml

Key Product Details

Species Reactivity

Human, Mouse, Rat

Applications

Immunohistochemistry, Immunohistochemistry-Paraffin, Western Blot

Label

Unconjugated

Antibody Source

Polyclonal Rabbit IgG

Format

BSA Free

Concentration

1.0 mg/ml

Product Specifications

Immunogen

Peptide sequence around amino acids 366~370 (R-A-S-S-R) derived from Human Connexin 43/GJA1.

Specificity

Detects endogenous level of total Connexin 43/GJA1 protein

Marker

Gap Junctions Marker

Clonality

Polyclonal

Host

Rabbit

Isotype

IgG

Theoretical MW

43 kDa.
Disclaimer note: The observed molecular weight of the protein may vary from the listed predicted molecular weight due to post translational modifications, post translation cleavages, relative charges, and other experimental factors.

Description

Novus Biologicals Rabbit Connexin 43/GJA1 Antibody - BSA Free (NB100-81867) is a polyclonal antibody validated for use in IHC and WB. All Novus Biologicals antibodies are covered by our 100% guarantee.

Scientific Data Images for Connexin 43/GJA1 Antibody - BSA Free

Western Blot: Connexin 43/GJA1 Antibody [NB100-81867]

Western Blot: Connexin 43/GJA1 Antibody [NB100-81867]

Western Blot: Connexin 43/GJA1 Antibody [NB100-81867] - Extracts from HT29 and HepG2 cells using Connexin 43 (Ab-367) antibody
Connexin 43/GJA1 Antibody - BSA Free

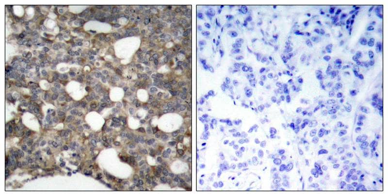
Immunohistochemistry-Paraffin: Connexin 43/GJA1 Antibody [NB100-81867] -

Immunohistochemistry-Paraffin: Connexin 43/GJA1 Antibody [NB100-81867] - Paraffin-embedded human breast carcinoma tissue, using NB100-81867(left) or the same antibody preincubated with blocking peptide (right).

Applications for Connexin 43/GJA1 Antibody - BSA Free

Application
Recommended Usage

Immunohistochemistry

1:50-1:100

Immunohistochemistry-Paraffin

1:50-1:100

Western Blot

1:500-1:1000

Formulation, Preparation, and Storage

Purification

Immunogen affinity purified

Formulation

PBS (without Mg2+ and Ca2+), pH 7.4, 150 mM NaCl, 50% glycerol

Format

BSA Free

Preservative

0.02% Sodium Azide

Concentration

1.0 mg/ml

Shipping

The product is shipped with polar packs. Upon receipt, store it immediately at the temperature recommended below.

Stability & Storage

Store at 4C short term. Aliquot and store at -20C long term. Avoid freeze-thaw cycles.

Background: Connexin 43/GJA1

Connexin 43 aka GJA1 is a member of the connexin gene family and a component of gap junctions. Gap junctions are composed of arrays of intercellular channels and provide a route for the diffusion of materials of low molecular weight from cell to cell. GJA1 is the major protein of gap junctions in the heart, and gap junctions are thought to have a crucial role in the synchronized contraction of the heart and in embryonic development. GJA1 is targeted by several protein kinases that regulate myocardial cell cell coupling. A related intronless GJA1 pseudogene, GJA1P, has been mapped to chromosome 5.

Alternate Names

CX43, GJA1, GJAL, ODDD, ODOD, SDTY3

Entrez Gene IDs

2697 (Human); 14609 (Mouse); 24392 (Rat)

Gene Symbol

GJA1

UniProt

Additional Connexin 43/GJA1 Products

Product Documents for Connexin 43/GJA1 Antibody - BSA Free

Certificate of Analysis

To download a Certificate of Analysis, please enter a lot number in the search box below.

Product Specific Notices for Connexin 43/GJA1 Antibody - BSA Free

This product is for research use only and is not approved for use in humans or in clinical diagnosis. Primary Antibodies are guaranteed for 1 year from date of receipt.

Loading...
Loading...
Loading...
Loading...